Bluesky Facebook Reddit Email

7.0T NMR assesses changes in hippocampal neurons in animal models of Alzheimer's disease

04.30.14 | Neural Regeneration Research

SAMSUNG T9 Portable SSD 2TB

SAMSUNG T9 Portable SSD 2TB transfers large imagery and model outputs quickly between field laptops, lab workstations, and secure archives.


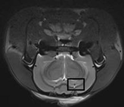
Magnetic resonance spectroscopy can quantitatively analyze in vivo abnormalities of biochemical metabolism within brain tissue in a noninvasive and non-radioactive manner. Compared with 3.0T magnetic resonance spectroscopy, high-field magnetic resonance spectroscopy (≥ 7.0T) exhibits high spatial resolution and density resolution, microscopic imaging of the living body, and obtains both high scanning resolution and result precision within a shorter scan time, thus providing a higher value in clinical diagnosis. In a recent study reported in the Neural Regeneration Research (Vol. 9, No. 4, 2014), 7.0T magnetic resonance spectroscopy showed that in the hippocampus of Alzheimer's disease rats, the N-acetylaspartate wave crest was reduced, and the creatine and choline wave crest was elevated. This finding was further supported by hematoxylin-eosin staining, which showed a loss of hippocampal neurons and more glial cells. Moreover, electron microscopy showed neuronal shrinkage and mitochondrial rupture, and scanning electron microscopy revealed small size hippocampal synaptic vesicles, incomplete synaptic structure, and reduced number. Overall, these findings from Lei Zhang and co-workers from Beijing Tiantan Hospital Affiliated to Capital Medical University in China revealed that 7.0T high-feld nuclear magnetic resonance spectroscopy detected the lesions and functional changes in hippocampal neurons of Alzheimer's disease rats in vivo, allowing the possibility for assessing the success rate and grading of the animal model of Alzheimer's disease.

Article: " 7.0T nuclear magnetic resonance evaluation of the amyloid beta (1) animal model of Alzheimer's disease: comparison of cytology verifcation," by Lei Zhang1, Shuai Dong2, Guixiang Zhao3, Yu Ma4 (1 MR Neuroradiology Room, Beijing Tiantan Hospital Affliated to Capital Medical University, Beijing, China; 2 Department of Neurology, Sixth People's Hospital of Jinan, Jinan, Shandong Province, China; 3 Department of Rehabilitation Medicine, Sixth People's Hospital of Jinan, Jinan, Shandong Province, China; 4 Tsinghua University Yuquan Hospital, Beijing, China) Zhang L, Dong S, Zhao GX, Ma Y. 7.0T nuclear magnetic resonance evaluation of the amyloid beta (1) animal model of Alzheimer's disease: comparison of cytology verification. Neural Regen Res . 2014;9(4):430-435.

Contact: Meng Zhao
eic@nrren.org
86-138-049-98773
Neural Regeneration Research
http://www.nrronline.org/

Neural Regeneration Research

Keywords

Article Information

Contact Information

Meng Zhao
eic@nrren.org

How to Cite This Article

APA:
Neural Regeneration Research. (2014, April 30). 7.0T NMR assesses changes in hippocampal neurons in animal models of Alzheimer's disease. Brightsurf News. https://www.brightsurf.com/news/LP2NNEVL/70t-nmr-assesses-changes-in-hippocampal-neurons-in-animal-models-of-alzheimers-disease.html
MLA:
"7.0T NMR assesses changes in hippocampal neurons in animal models of Alzheimer's disease." Brightsurf News, Apr. 30 2014, https://www.brightsurf.com/news/LP2NNEVL/70t-nmr-assesses-changes-in-hippocampal-neurons-in-animal-models-of-alzheimers-disease.html.