Bluesky Facebook Reddit Email

Study pinpoints target for managing inflammation, promoting tissue repair

11.16.20 | Cincinnati Children's Hospital Medical Center

GoPro HERO13 Black

GoPro HERO13 Black records stabilized 5.3K video for instrument deployments, field notes, and outreach, even in harsh weather and underwater conditions.


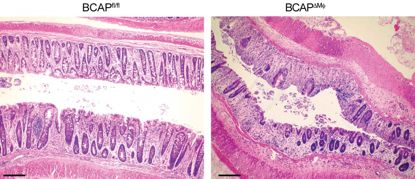
Managing the activity of the BCAP protein could help the body repair intestinal tissue from damage caused by inflammation, according to a new study led by experts at Cincinnati Children's.

The findings, published online Nov. 16, 2020 , in PNAS , suggest that targeting BCAP with new medications could benefit people living with conditions such as inflammatory bowel disease (IBD).

The multi-center research team was led by first author Ricardo Irizarry-Caro, BSc, and senior author Chandrashekhar Pasare, DVM, PhD , at Cincinnati Children's Division of Immunobiology,

"This study provides fundamental understanding of how macrophages regulate their responses to pathogens to provide an effective yet controlled inflammatory response and avoid damage of the host tissue," Pasare says. "More importantly, this study has implications for small-molecule drug discovery targeting BCAP, which could be used to either promote reparative macrophage transition or induce a robust inflammatory response by just altering one single protein."

Dampening inflammation would be helpful for managing inflammatory diseases such as IBD and rheumatoid arthritis. Meanwhile, in cancer treatment, promoting inflammation could help drive immune responses against solid tumors.

Macrophages and Inflammation

When macrophages sense bacterial pathogens such as E.coli , they activate an inflammatory response to get rid of the pathogen. However, this response needs to be kept in check to avoid damaging host tissue.

The new study shows that macrophages employ a molecule called BCAP to transition into a reparative state following clearance of infection. Turning down macrophage-triggered immune response once their task is complete is important because uncontrolled inflammation can lead to diseases such as inflammatory bowel disease (IBD).

Macrophages utilize Toll-Like Receptors (TLRs) to sense various pathogens, and activation of these receptors leads to early inflammation. The authors found that downstream of TLR activation, BCAP simultaneously activates a parallel pathway called the PI3K-AKT pathway, which acts to limit these inflammatory signals.

Specifically, researchers found that BCAP downstream of TLR activation inhibited two key proteins, GSK3b and FOXO1, which places a cap on the inflammation triggered by pathogen sensing. Yet this cap was not enough by itself to make macrophages stand down.

The team also found that BCAP was necessary for promoting a metabolic process called 'histone lactylation,' which leads to macrophage transition and supports intestinal repair after injury.

The co-authors say future research will focus on finding or developing drugs capable of controlling BCAP activity to dampen inflammation and promote tissue repair.

###

About This Study

Cincinnati Children's contributors also include Margaret McDaniel, BSc, and Garrett Overcast, BSc, Division of Immunobiology.

Other co-authors include Viral Jain, MD, Division of Neonatology, University of Alabama at Birmingham; and Ty Dale Troutman, PhD, Department of Cellular and Molecular Medicine, University of California at San Diego.

This work was supported by NIH Grants AI113125, AI123176, and GM120196.

Proceedings of the National Academy of Sciences

10.1073/pnas.2009778117

Keywords

Article Information

Contact Information

Tim Bonfield
Cincinnati Children's Hospital Medical Center
timothy.bonfield@cchmc.org

How to Cite This Article

APA:
Cincinnati Children's Hospital Medical Center. (2020, November 16). Study pinpoints target for managing inflammation, promoting tissue repair. Brightsurf News. https://www.brightsurf.com/news/LRDQX958/study-pinpoints-target-for-managing-inflammation-promoting-tissue-repair.html
MLA:
"Study pinpoints target for managing inflammation, promoting tissue repair." Brightsurf News, Nov. 16 2020, https://www.brightsurf.com/news/LRDQX958/study-pinpoints-target-for-managing-inflammation-promoting-tissue-repair.html.