Bluesky Facebook Reddit Email

Healthy kidneys despite hypertension

05.30.23 | Max Delbrück Center for Molecular Medicine in the Helmholtz Association

GQ GMC-500Plus Geiger Counter

GQ GMC-500Plus Geiger Counter logs beta, gamma, and X-ray levels for environmental monitoring, training labs, and safety demonstrations.


A mutation that causes severe hypertension also protects the kidneys from being damaged, reports a team led by Enno Klußmann of the Max Delbrück Center and the DZHK in “Kidney International”. The researchers are now exploring how the effects of the mutated gene can be used therapeutically.

Over time, high blood pressure leads to kidney damage – unless you happen to have a mutated PDE3A gene. “This mutation causes extremely high blood pressure, but the kidneys still work normally even after years of having the condition,” says Dr. Enno Klußmann, head of the Anchored Signalling Lab in Berlin . He and his team at the Max Delbrück Center and at the German Center for Cardiovascular Research (DZHK), have now published their results in “Kidney International.”

Last year, the researchers discovered that the gene mutation responsible for causing extremely high blood pressure and short fingers (hypertension and brachydactyly, or HTNB) also protects the heart from hypertension-induced damage. Only the brain remains vulnerable: “Without treatment, patients with HTNB – a genetic disease that occurs in just 10 to 20 families globally – tend to die relatively young from a stroke,” says Klußmann. “So even children have to take antihypertensive drugs to control their blood pressure.” But with medication, it can still be hard to bring the blood pressure down to a normal level.

After discovering that the mutated PDE3A gene protected the heart, Klußmann and his team began investigating the kidneys of a female patient in Germany and of two HTNB rat models. The patient is receiving treatment from Dr. Stephan Walter at MVZ Nierenzentrum Limburg, a specialist kidney center. The rat models have the same PDE3A mutation as human patients (PDE3A stands for the enzyme phosphodiesterase 3A) and were developed by researchers led by Professor Michael Bader. Bader heads the Molecular Biology of Peptide Hormones Lab at the Max Delbrück Center. He and Walter are also authors of the latest study.

In patients with severe HTNB, the PDE3A gene is mutated in two places and these mutations cause the encoded enzyme to become hyperactive. “We don’t yet fully understand why that happens, or how the mutation damages the vessels and the brain while protecting the heart and the kidneys,” says Klußmann.

He and his team could, however, show that the kidneys of the Limburg patient are working perfectly normally. “We found that the secretion of renin – a hormone-like enzyme that’s produced in the kidneys and heavily involved in controlling blood pressure – is actually suppressed in her case,” says Anastasiia Sholokh, a researcher in Klußmann’s team and lead author of the study. “Her aldosterone levels are normal.” Aldosterone is a hormone made in the adrenal glands. Like renin, it can cause blood pressure to rise. “Conventional parameters of kidney function like glomerular filtration rate and albumin levels in the blood and urine also indicate that her kidneys are healthy,” says Sholokh.

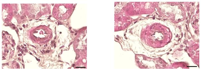
The kidney tissue in the HTNB rats also showed no signs of inflammation or fibrosis (an increased production of connective tissue that causes organs to harden). The transcriptome, which shows what genes are currently active, was also unchanged in the rats’ kidneys. “What we did find is reduced expression of the protein amphiregulin in certain regions of the organ,” says Sholokh. “Since high levels of amphiregulin are likely to damage the kidneys, the suppressed production probably helps to protect them.”

“We showed that hypertension doesn’t always automatically lead to kidney damage,” says Klußmann, summing up. “Now we want to examine the protective effect of the mutated PDE3A gene and see if we can mimic it with appropriate therapeutic agents.” This could eventually help patients with hypertension avoid developing chronic kidney disease.

No heart damage despite hypertension

Overactive enzyme causes hereditary hypertension

The Max Delbrück Center for Molecular Medicine in the Helmholtz Association (Max Delbrück Center) is one of the world’s leading biomedical research institutions. Max Delbrück, a Berlin native, was a Nobel laureate and one of the founders of molecular biology. At the locations in Berlin-Buch and Mitte, researchers from some 70 countries study human biology – investigating the foundations of life from its most elementary building blocks to systems-wide mechanisms. By understanding what regulates or disrupts the dynamic equilibrium of a cell, an organ, or the entire body, we can prevent diseases, diagnose them earlier, and stop their progression with tailored therapies. Patients should benefit as soon as possible from basic research discoveries. The Max Delbrück Center therefore supports spin-off creation and participates in collaborative networks. It works in close partnership with Charité – Universitätsmedizin Berlin in the jointly run Experimental and Clinical Research Center (ECRC), the Berlin Institute of Health (BIH) at Charité, and the German Center for Cardiovascular Research (DZHK). Founded in 1992, the Max Delbrück Center today employs 1,800 people and is funded 90 percent by the German federal government and 10 percent by the State of Berlin.

Kidney International

10.1016/j.kint.2023.04.026

Experimental study

Animals

Mutant PDE3A protects the kidney from hypertension-induced damage

25-May-2023

Keywords

Article Information

Contact Information

Jana Schlütter
Max Delbrück Center
jana.schluetter@mdc-berlin.de

Source

How to Cite This Article

APA:
Max Delbrück Center for Molecular Medicine in the Helmholtz Association. (2023, May 30). Healthy kidneys despite hypertension. Brightsurf News. https://www.brightsurf.com/news/LVD2EONL/healthy-kidneys-despite-hypertension.html
MLA:
"Healthy kidneys despite hypertension." Brightsurf News, May. 30 2023, https://www.brightsurf.com/news/LVD2EONL/healthy-kidneys-despite-hypertension.html.