Bluesky Facebook Reddit Email

Scientists discover high-risk form of endometrial cancer — and how to test for it — using AI

06.26.24 | University of British Columbia

SAMSUNG T9 Portable SSD 2TB

SAMSUNG T9 Portable SSD 2TB transfers large imagery and model outputs quickly between field laptops, lab workstations, and secure archives.


A discovery by researchers at the University of British Columbia promises to improve care for patients with endometrial cancer, the most common gynecologic malignancy.

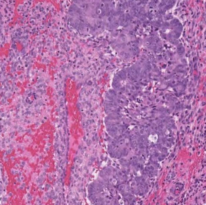
Using artificial intelligence (AI) to spot patterns across thousands of cancer cell images, the researchers have pinpointed a distinct subset of endometrial cancer that puts patients at much greater risk of recurrence and death, but would otherwise go unrecognized by traditional pathology and molecular diagnostics.

The findings, published today in Nature Communications , will help doctors identify patients with high-risk disease who could benefit from more comprehensive treatment.

“Endometrial cancer is a diverse disease, with some patients much more likely to see their cancer return than others,” said Dr. Jessica McAlpine, professor and Dr. Chew Wei Chair in Gynaecologic Oncology at UBC, and surgeon-scientist at BC Cancer and Vancouver General Hospital. “It’s so important that patients with high-risk disease are identified so we can intervene and hopefully prevent recurrence. This AI-based approach will help ensure no patient misses an opportunity for potentially lifesaving interventions.”

AI-powered precision medicine

The discovery builds on work by Dr. McAlpine and colleagues at B.C.’s Gynecologic Cancer Initiative — a multi-institutional collaboration between UBC, BC Cancer, Vancouver Coastal Health and BC Women’s Hospital — who in 2013 helped show that endometrial cancer can be classified into four subtypes based on the molecular characteristics of cancerous cells, with each posing a different level of risk to patients.

Dr. McAlpine and team then went on to develop an innovative molecular diagnostic tool, called ProMiSE , that can accurately discern between the subtypes. The tool is now used across B.C., parts of Canada and internationally to guide treatment decisions.

Yet, challenges remain. The most prevalent molecular subtype, encompassing approximately 50 per cent of all cases, is largely a catch-all category for endometrial cancers lacking discernable molecular features.

“There are patients in this very large category who have extremely good outcomes, and others whose cancer outcomes are highly unfavourable. But until now, we have lacked the tools to identify those at-risk so that we can offer them appropriate treatment,” said Dr. McAlpine.

Dr. McAlpine turned to long-time collaborator and machine learning expert Dr. Ali Bashashati, an assistant professor of biomedical engineering and pathology and laboratory medicine at UBC, to try and further segment the category using advanced AI methods.

Dr. Bashashati and his team developed a deep learning AI model that analyzes images of tissue samples collected from patients. The AI was trained to differentiate between different subtypes, and after analyzing over 2,300 cancer tissue images, pinpointed the new subgroup that exhibited markedly inferior survival rates.

“The power of AI is that it can objectively look at large sets of images and identify patterns that elude human pathologists,” said Dr. Bashashati. “It’s finding the needle in the haystack. It tells us this group of cancers with these characteristics are the worst offenders and represent a higher risk for patients.”

Bringing the discovery to patients

The team is now exploring how the AI tool could be integrated into clinical practice alongside traditional molecular and pathology diagnostics, thanks to a grant from the Terry Fox Research Institute.

“The two work hand-in-hand, with AI providing an additional layer on top of the testing we’re already doing,” said Dr. McAlpine.

One benefit of the AI-based approach is that it’s cost-efficient and easy to deploy across geographies. The AI analyzes images that are routinely gathered by pathologists and healthcare providers, even at smaller hospital sites in rural and remote communities, and shared when seeking second opinions on a diagnosis.

The combined use of molecular and AI-based analysis could allow many patients to remain in their home communities for less intensive surgery, while ensuring those who need treatment at a larger cancer centre can do so.

“What is really compelling to us is the opportunity for greater equity and access,” said Dr. Bashashati. “The AI doesn’t care if you’re in a large urban centre or rural community, it would just be available, so our hope is that this could really transform how we diagnose and treat endometrial cancer for patients everywhere.”

Interview language(s): English

Nature Communications

10.1038/s41467-024-49017-2

Imaging analysis

Cells

AI-based histopathology image analysis reveals a novel subset of endometrial cancers with distinct genomic alterations and unfavourable outcome

26-Jun-2024

Keywords

Article Information

Contact Information

Brett Goldhawk
UBC Faculty of Medicine
brett.goldhawk@ubc.ca

Source

How to Cite This Article

APA:
University of British Columbia. (2024, June 26). Scientists discover high-risk form of endometrial cancer — and how to test for it — using AI. Brightsurf News. https://www.brightsurf.com/news/LVD3465L/scientists-discover-high-risk-form-of-endometrial-cancer-and-how-to-test-for-it-using-ai.html
MLA:
"Scientists discover high-risk form of endometrial cancer — and how to test for it — using AI." Brightsurf News, Jun. 26 2024, https://www.brightsurf.com/news/LVD3465L/scientists-discover-high-risk-form-of-endometrial-cancer-and-how-to-test-for-it-using-ai.html.