Bluesky Facebook Reddit Email

Prenatal depression alters child's brain connectivity, affects behavior

08.10.20 | Society for Neuroscience

Apple iPhone 17 Pro

Apple iPhone 17 Pro delivers top performance and advanced cameras for field documentation, data collection, and secure research communications.


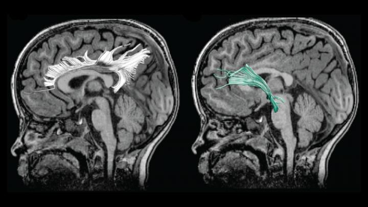
Altered brain connectivity may be one way prenatal depression influences child behavior, according to new research in JNeurosci .

Up to one fifth of women experience depression symptoms during pregnancy, with unknown effects on the fetus. Prenatal depression is correlated with behavioral and developmental issues in the child, as well as an increased risk of developing depression at age 18. But how prenatal depression leads to these changes remains unclear.

Hay et al. studied 54 mother/child pairs. Mothers answered a survey about their depression symptoms at several points during their pregnancy. The research team employed diffusion MRI, an imaging technique that reveals the strength of structural connections between brain regions, to examine the children's white matter.

Greater prenatal depression symptoms were associated with weaker white matter connections between brain regions involved in emotional processing. This change could lead to dysregulated emotional states in the children and may explain why the children of depressed mothers have a higher risk of developing depression themselves. The weakened white matter was associated with increased aggression and hyperactivity in the male children. These findings highlight the need for better prenatal care to recognize and treat prenatal depression in order to support the mother and the child's development.

###

Manuscript title: Amygdala-Prefrontal Structural Connectivity Mediates the Relationship Between Prenatal Depression and Behaviour in Preschool Boys

Please contact media@sfn.org for full-text PDF and to join SfN's journals media list.

About JNeurosci

JNeurosci , the Society for Neuroscience's first journal, was launched in 1981 as a means to communicate the findings of the highest quality neuroscience research to the growing field. Today, the journal remains committed to publishing cutting-edge neuroscience that will have an immediate and lasting scientific impact, while responding to authors' changing publishing needs, representing breadth of the field and diversity in authorship.

About The Society for Neuroscience

The Society for Neuroscience is the world's largest organization of scientists and physicians devoted to understanding the brain and nervous system. The nonprofit organization, founded in 1969, now has nearly 37,000 members in more than 90 countries and over 130 chapters worldwide.

10.1523/JNEUROSCI.0481-20.2020

Keywords

Article Information

Contact Information

Calli McMurray
Society for Neuroscience
media@sfn.org

How to Cite This Article

APA:
Society for Neuroscience. (2020, August 10). Prenatal depression alters child's brain connectivity, affects behavior. Brightsurf News. https://www.brightsurf.com/news/LVD54QXL/prenatal-depression-alters-childs-brain-connectivity-affects-behavior.html
MLA:
"Prenatal depression alters child's brain connectivity, affects behavior." Brightsurf News, Aug. 10 2020, https://www.brightsurf.com/news/LVD54QXL/prenatal-depression-alters-childs-brain-connectivity-affects-behavior.html.