Bluesky Facebook Reddit Email

Preoperative chest CT improves assessment of postoperative mechanical ventilation

09.02.21 | American Roentgen Ray Society

Sony Alpha a7 IV (Body Only)

Sony Alpha a7 IV (Body Only) delivers reliable low-light performance and rugged build for astrophotography, lab documentation, and field expeditions.


Leesburg, VA, September 2, 2021 According to ARRS’ American Journal of Roentgenology ( AJR ) , preoperative thoracic CT findings can be used to improve risk assessment for the need of postoperative mechanical ventilation in patients undergoing major abdominal or pelvic surgery.

“Many patients undergo thoracic CT before abdominal or pelvic surgery; the CT findings may complement preoperative clinical risk factors,” wrote first author Arzu Canan from the University of Texas Southwestern Medical Center in Dallas.

Canan and colleagues’ single-center retrospective study included patients who underwent preoperative thoracic CT for abdominal or pelvic surgeries requiring general endotracheal tube anesthesia between January 1, 2014 and December 31, 2018. Cases were patients who required postoperative mechanical ventilation, and both control and case patients were matched at a 3:1 ratio based on age, sex, body mass index, chronic obstructive pulmonary disease, smoking status, and surgery type. Two radiologists reviewed the CT scans.

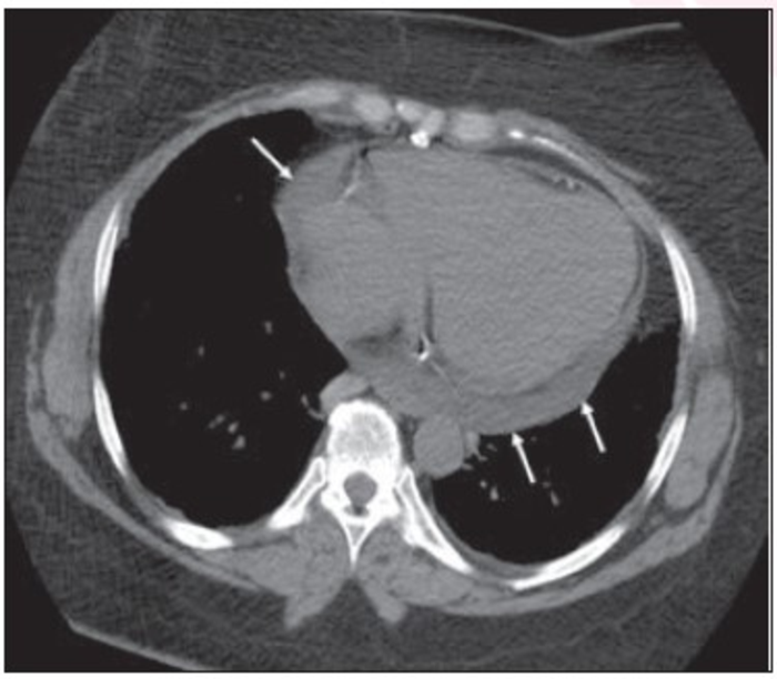
In a matched case-control study of 165 patients (70 female, 95 male; mean age, 67 years; 42 cases, 123 matched controls) who underwent major abdominal or pelvic surgery, independent predictors (p<.05) of postoperative mechanical ventilation using preoperative thoracic CT included bronchial wall thickening (exhibited odds ratio [OR]=4.8), pericardial effusion (OR=5.3), shorter lung height (OR=0.8 per cm increase), and greater anteroposterior chest diameter (OR=1.2 per cm increase).

“Bronchial wall thickening was the only qualitative parameter involving the lung parenchyma that differed between the case and control groups for both readers, with significantly increased need for postoperative mechanical ventilation in patients with bronchial wall thickening,” the authors of this AJR article added .

An electronic supplement to this AJR article is available here .

Founded in 1900, the American Roentgen Ray Society (ARRS) is the first and oldest radiological society in North America, dedicated to the advancement of medicine through the profession of radiology and its allied sciences. An international forum for progress in medical imaging since the discovery of the x-ray, ARRS maintains its mission of improving health through a community committed to advancing knowledge and skills with an annual scientific meeting, monthly publication of the peer-reviewed American Journal of Roentgenology ( AJR ), quarterly issues of InPractice magazine, AJR Live Webinars and Podcasts, topical symposia, print and online educational materials, as well as awarding scholarships via The Roentgen Fund®.

MEDIA CONTACT :

Logan K. Young, Marketing & Communications

44211 Slatestone Court

Leesburg, VA 20176

703-858-4332

lyoung@arrs.org

American Journal of Roentgenology

10.2214/AJR.21.26411

Case study

People

Preoperative Thoracic CT Findings Associated With Postoperative Mechanical Ventilation in Patients Undergoing Major Abdominal or Pelvic Surgery: A Matched Case-Control Study

1-Sep-2021

None

Keywords

Article Information

Contact Information

Logan Young
lyoung@arrs.org

Source

How to Cite This Article

APA:
American Roentgen Ray Society. (2021, September 2). Preoperative chest CT improves assessment of postoperative mechanical ventilation. Brightsurf News. https://www.brightsurf.com/news/LVDDDVEL/preoperative-chest-ct-improves-assessment-of-postoperative-mechanical-ventilation.html
MLA:
"Preoperative chest CT improves assessment of postoperative mechanical ventilation." Brightsurf News, Sep. 2 2021, https://www.brightsurf.com/news/LVDDDVEL/preoperative-chest-ct-improves-assessment-of-postoperative-mechanical-ventilation.html.