Bluesky Facebook Reddit Email

How cancer cells rewire their metabolism to survive

01.31.13 | Sanford Burnham Prebys

Rigol DP832 Triple-Output Bench Power Supply

Rigol DP832 Triple-Output Bench Power Supply powers sensors, microcontrollers, and test circuits with programmable rails and stable outputs.


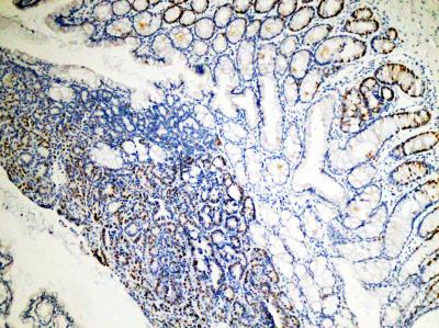
LA JOLLA, Calif., January 31, 2013 – Cancer cells need food to survive and grow. They're very good at getting it, too, even when nutrients are scarce. Many scientists have tried killing cancer cells by taking away their favorite food, a sugar called glucose. Unfortunately, this treatment approach not only fails to work, it backfires—glucose-starved tumors actually get more aggressive. In a study published January 31 in the journal Cell , researchers at Sanford-Burnham Medical Research Institute discovered that a protein called PKCζ is responsible for this paradox. The research suggests that glucose depletion therapies might work against tumors as long as the cancer cells are producing PKCζ.

PKCζ: critical regulator of tumor metabolism

According to this study, when PKCζ is missing from cancer cells, tumors are able to use alternative nutrients. What's more, the lower the PKCζ levels, the more aggressive the tumor.

"We found an interesting correlation in colon cancers—if a patient's tumor doesn't produce PKCζ, he has a poorer prognosis than a similar patient with the protein. We looked specifically at colon cancer in this study, but it's likely also true for other tumor types," said Jorge Moscat, Ph.D., a professor in Sanford-Burnham's National Cancer Institute-designated Cancer Center. Moscat led the study in close collaboration with Sanford-Burnham colleague Maria Diaz-Meco, Ph.D.

PKCζ keeps tumors addicted to glucose, and under control

Although most cancer cells love glucose, tumors lacking PKCζ grow even better in the absence of this nutrient. Using human tumor samples and a mouse model of colon cancer, Moscat and his team determined this growth-without-glucose paradox is because PKCζ-deficient tumors are able to reprogram their metabolism to use glutamine, another nutrient, instead.

Without PKCζ around to keep them addicted to glucose, these tumors kick-start a new metabolic pathway. This altered metabolism helps PKCζ-deficient cancer cells survive in conditions that would otherwise be lethal.

"If we can find an effective way to add PKCζ back to tumors that lack it, we'd make them less suited for survival and more sensitive to current therapies," Moscat said.

This study was funded by the U.S. National Institutes of Health—National Cancer Institute grants R01CA132847, R01CA134530, R21CA147978 and 5P30CA030199-31; National Institute of Allergy and Infectious Diseases grant R01AI072581; and National Institute of Diabetes and Digestive and Kidney Diseases grant R01DK088107.

The study was co-authored by Li Ma, Sanford-Burnham; Yongzhen Tao, Sanford-Burnham; Angeles Duran, Sanford-Burnham; Victoria Llado, Sanford-Burnham; Anita Galvez, University of Cincinnati Medical College; Jennifer F.Barger, University of Cincinnati Medical College; Elias A. Castilla, University of Cincinnati Medical College; Jing Chen, University of Cincinnati Medical College; Tomoko Yajima, Sanford-Burnham; Aleksey Porollo, University of Cincinnati Medical College; Mario Medvedovic, University of Cincinnati Medical College; Laurence M. Brill, Sanford-Burnham; David R. Plas, University of Cincinnati Medical College; Stefan J. Riedl, Sanford-Burnham; Michael Leitges, University of Oslo; Maria T. Diaz-Meco, Sanford-Burnham; Adam D. Richardson, Sanford-Burnham; and Jorge Moscat, Sanford-Burnham.

About Sanford-Burnham Medical Research Institute

Sanford-Burnham Medical Research Institute is dedicated to discovering the fundamental molecular causes of disease and devising the innovative therapies of tomorrow. The Institute consistently ranks among the top five organizations worldwide for its scientific impact in the fields of biology and biochemistry (defined by citations per publication) and currently ranks third in the nation in NIH funding among all laboratory-based research institutes. Sanford-Burnham utilizes a unique, collaborative approach to medical research and has established major research programs in cancer, neurodegeneration, diabetes, and infectious, inflammatory and childhood diseases. The Institute is especially known for its world-class capabilities in stem cell research and drug discovery technologies. Sanford-Burnham is a U.S.-based, nonprofit public benefit corporation, with operations in San Diego (La Jolla), California and Orlando (Lake Nona), Florida. For more information, news and events, please visit us at sanfordburnham.org .

Cell

Keywords

Article Information

Contact Information

Heather Buschman
Sanford Burnham Prebys Medical Discovery Institute
hbuschman@sanfordburnham.org

How to Cite This Article

APA:
Sanford Burnham Prebys. (2013, January 31). How cancer cells rewire their metabolism to survive. Brightsurf News. https://www.brightsurf.com/news/LVW0JGN8/how-cancer-cells-rewire-their-metabolism-to-survive.html
MLA:
"How cancer cells rewire their metabolism to survive." Brightsurf News, Jan. 31 2013, https://www.brightsurf.com/news/LVW0JGN8/how-cancer-cells-rewire-their-metabolism-to-survive.html.