Bluesky Facebook Reddit Email

Scientists develop powerful new animal model for metastatic prostate cancer

01.24.14 | Cold Spring Harbor Laboratory

Davis Instruments Vantage Pro2 Weather Station

Davis Instruments Vantage Pro2 Weather Station offers research-grade local weather data for networked stations, campuses, and community observatories.


Cold Spring Harbor, NY – Prostate cancer is the most common form of cancer in men. Affecting about 1 in 6 men, it is the second deadliest cancer. Research has been stymied by imperfect animal models of the disease, which are costly, take considerable time to develop, and fail to mimic the most lethal aspects of the illness. Now, Cold Spring Harbor Laboratory (CSHL) scientists have developed a new method to rapidly create much better mouse models for metastatic prostate cancer. This discovery allows scientists to investigate the causes of the disease while at the same time testing new therapeutics to treat it.

The most widely used mouse models for prostate cancer rarely develop tumors that metastasize, making it almost impossible to study the terminal, lethal events in cancer progression. In work published today in Cancer Discovery , a CSHL team led by Associate Professor Lloyd Trotman report that they have developed a new mouse model that does generate metastases from primary prostate tumors. To create the model, called RapidCaP, scientists surgically deliver gene mutations directly into the prostate. A luminescent marker is also injected, which enables live monitoring of metastasis, tumor regression after treatment, and disease relapse.

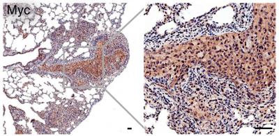
Trotman and his team, which included collaborators from Weill Cornell Medical College, Mt. Sinai School of Medicine and the Dana-Farber Cancer Institute, used RapidCaP to generate mice that developed metastatic prostate cancer with classic hallmarks of this disease, including resistance to hormone therapy. However, PI 3-kinase activity, a well-known driver of prostate cancer, was notably absent from the metastasized tumors. In these deadly dispersed tumors, Trotman and his colleagues were surprised to find that a different cancer gene, called Myc, had taken over.

The team explored Myc's role in metastasis. They found that prostate tumors could be driven to metastasize simply by increasing the amount of Myc protein. Trotman collaborated with Dana-Farber's Professor James Bradner to treat these very sick animals with a newly discovered drug called JQ1 that lowers the amount of Myc in cells. Their approach succeeded in shrinking the metastases, suggesting that the switch to Myc is required for maintenance of tumor cells that have metastasized throughout the body.

"The RapidCaP system has revealed a specific role for Myc as a druggable driver of metastasis in prostate cancer," says Trotman. "So there's hope that our model provides a fast and faithful test-bed for developing new approaches to cure the type of prostate cancer that today is incurable."

This work was supported by grants from the NIH, Department of the Army, STARR foundation, Robertson Research Fund of Cold Spring Harbor Laboratory and by support from the CSHL CTD2 Cancer Target Discovery and Development Network Grant.

"RapidCaP, a novel GEM model for analysis and therapy of metastatic prostate cancer reveals Myc as a driver of Pten-mutant metastasis" appears online in Cancer Discovery on January 21, 2014. The authors are: Hyejin Cho, Tali Herzka, Wu Zheng, Jun Qi, John Wilkinson, James Bradner, Brian Robinson, Mireia Castillo-Martin, Carlos Cordon-Cardo, Lloyd Trotman. The paper can be obtained online at: http://cancerdiscovery.aacrjournals.org/content/early/2014/01/18/2159-8290.CD-13-0346.abstract

About Cold Spring Harbor Laboratory

Founded in 1890, Cold Spring Harbor Laboratory (CSHL) has shaped contemporary biomedical research and education with programs in cancer, neuroscience, plant biology and quantitative biology. CSHL is ranked number one in the world by Thomson Reuters for the impact of its research in molecular biology and genetics. The Laboratory has been home to eight Nobel Prize winners. Today, CSHL's multidisciplinary scientific community is more than 600 researchers and technicians strong and its Meetings & Courses program hosts more than 12,000 scientists from around the world each year to its Long Island campus and its China center. For more information, visit http://www.cshl.edu .

Cancer Discovery

Keywords

Article Information

Contact Information

Jaclyn Jansen
Cold Spring Harbor Laboratory
jjansen@cshl.edu

How to Cite This Article

APA:
Cold Spring Harbor Laboratory. (2014, January 24). Scientists develop powerful new animal model for metastatic prostate cancer. Brightsurf News. https://www.brightsurf.com/news/LVWEV4E8/scientists-develop-powerful-new-animal-model-for-metastatic-prostate-cancer.html
MLA:
"Scientists develop powerful new animal model for metastatic prostate cancer." Brightsurf News, Jan. 24 2014, https://www.brightsurf.com/news/LVWEV4E8/scientists-develop-powerful-new-animal-model-for-metastatic-prostate-cancer.html.