Bluesky Facebook Reddit Email

Why respiratory infections are more deadly in those with diabetes

10.18.19 | University of Maryland School of Medicine

Anker Laptop Power Bank 25,000mAh (Triple 100W USB-C)

Anker Laptop Power Bank 25,000mAh (Triple 100W USB-C) keeps Macs, tablets, and meters powered during extended observing runs and remote surveys.


Since the Middle East respiratory syndrome coronavirus (MERS-CoV) first emerged in Saudi Arabia in 2012, there have been more than 2,400 confirmed cases of the infection, resulting in greater than 800 deaths - an alarming fatality rate of 35 percent. For this reason, researchers have been eager to identify any risk factors that contribute to the development of severe or lethal disease. Current clinical evidence points to diabetes as a major risk factor in addition to other comorbidities including kidney disease, heart disease, and lung disease.

Researchers from the University of Maryland School of Medicine (UMSOM) and the Johns Hopkins University School of Medicine have demonstrated in a new study, published earlier this week in the Journal of Clinical Investigation Insights , how diabetes contributes to mortality from MERS-CoV infections, and the finding could shed light on why other respiratory illnesses like the flu or pneumonia might strike those with diabetes more severely.

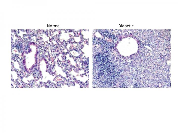
They investigated the connection between diabetes and MERS-CoV in a mouse model and discovered that although the virus did not replicate more readily in the diabetic mice compared to the healthy controls, the diabetic mice exhibited a delayed and prolonged inflammatory response in the lung. Diabetic mice had lower levels of inflammatory cytokines and fewer inflammatory macrophages and T cells. This indicates that the increased severity of MERS-CoV infection in patients with diabetes was likely due to a malfunction in the body's response to infection.

"Understanding how diabetes contributes to disease severity following MERS-CoV infection in this context is critical," said Matthew Frieman, PhD, associate professor of microbiology and immunology who is the corresponding author of the study. "Our next step is to determine what drives the altered immune response in diabetics and how to reverse those effects with therapeutics for treatment of patients."

Follow up research could also explore whether health care providers should double their efforts to manage and stabilize glucose levels in patients with diabetes experiencing a dangerous respiratory infection and whether better management would help mitigate the effects of these infections.

"This is an important finding for patients with diabetes and physicians who treat them," said UMSOM Dean E. Albert Reece, MD, PhD, MBA, who is also the Executive Vice President for Medical Affairs, University of Maryland and the John Z. and Akiko K. Bowers Distinguished Professor. "We have long known that diabetic patients have worse outcomes when they get a serious infectious disease, but this new insight on immune function could pave the way for better treatments."

###

The study was partially funded by the National Institutes of Health.

About the University of Maryland School of Medicine

The University of Maryland School of Medicine was chartered in 1807 and is the first public medical school in the United States and continues today as an innovative leader in accelerating innovation and discovery in medicine. The School of Medicine is the founding school of the University of Maryland and is an integral part of the 11-campus University System of Maryland. Located on the University of Maryland's Baltimore campus, the School of Medicine works closely with the University of Maryland Medical Center and Medical System to provide a research-intensive, academic and clinically based education. With 43 academic departments, centers and institutes, and a faculty of more than 3,000 physicians and research scientists and more than $540 million in extramural funding, the School is regarded as one of the leading biomedical research institutions in the U.S. with top-tier faculty and programs in cancer, brain science, surgery and transplantation, trauma and emergency medicine, vaccine development and human genomics, among other centers of excellence. The School is not only concerned with the health of the citizens of Maryland and the nation, but also has a global presence, with research and treatment facilities in more than 35 countries around the world. medschool.umaryland.edu

10.1172/jci.insight.131774

Keywords

Article Information

Contact Information

Deborah Kotz
University of Maryland School of Medicine
DKotz@som.umaryland.edu

How to Cite This Article

APA:
University of Maryland School of Medicine. (2019, October 18). Why respiratory infections are more deadly in those with diabetes. Brightsurf News. https://www.brightsurf.com/news/12V00WO1/why-respiratory-infections-are-more-deadly-in-those-with-diabetes.html
MLA:
"Why respiratory infections are more deadly in those with diabetes." Brightsurf News, Oct. 18 2019, https://www.brightsurf.com/news/12V00WO1/why-respiratory-infections-are-more-deadly-in-those-with-diabetes.html.