Bluesky Facebook Reddit Email

Discovery gives answers to parents of children with rare disease

08.27.24 | McGill University

Fluke 87V Industrial Digital Multimeter

Fluke 87V Industrial Digital Multimeter is a trusted meter for precise measurements during instrument integration, repairs, and field diagnostics.


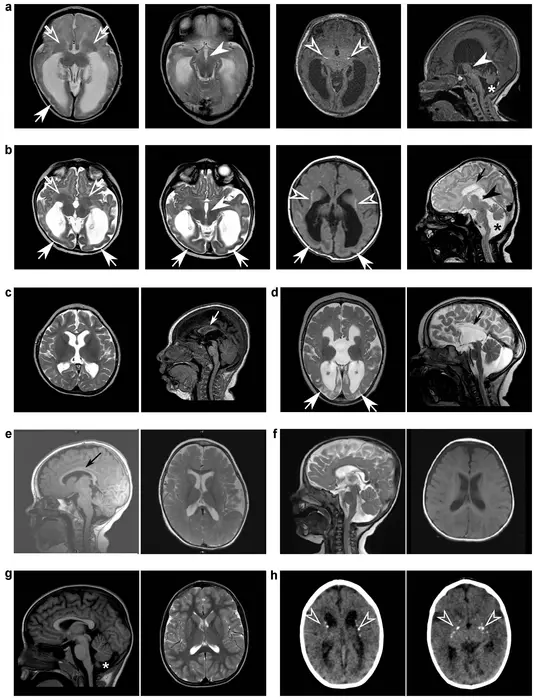
Shortly after Kelly Cervantes’ daughter Adelaide was born, she started having terrible seizures. Doctors were unable to give her a solution, or even a cause.

“We never had an overarching diagnosis for her, which was extraordinarily frustrating and isolating,” she says. “If we did, we could join groups or talk to people who had various symptoms in common. We also had no idea what her prognosis looked like, or if we could have other children.”

Over time her condition worsened and sadly she died five days before her fourth birthday.

“She never really progressed past about a three-to-six-month physical development, and we’re not entirely sure where she was intellectually. She was incredible but her life was really challenging and really hard.”

Cervantes had enrolled her daughter in a research program for people with undiagnosed illnesses. After her daughter’s death she got a call asking if she’d like to participate in a study being conducted at The Neuro. Now the results of that study have been published .

The scientists analyzed samples from Adeliade and 21 other people with the condition. By growing stem cells in a dish using the participants’ genetic code, the scientists found that mutations in a gene called DENND5A create disfunction, and this disfunction stops brain cells from dividing properly during development. The result is a developing brain with less stem cells, shortening the crucial time period that the brain forms as an embryo.

The finding provides answers to family of people with this rare condition. It also allowed family members to be tested for the mutations so they can make informed choices about family planning. For example, for aspiring parents who carry the mutation, genetic counselors can recommend genetic testing for their partners and give the odds of passing on the condition.

With advancements in gene editing technology, one day the mutation might be corrected with the knowledge this study provides. While such a step is years away at best, Cervantes says it would provide comfort knowing her daughter contributed to a cure.

“Maybe someday down the road, the next Adelaide will have a treatment, and there will be an answer for that family. And how incredible is that to think, that my baby girl had a hand in that?”

Nature Communications

10.1038/s41467-024-51310-z

People

Loss of symmetric cell division of apical neural progenitors drives DENND5A-related developmental and epileptic encephalopathy

22-Aug-2024

K.M. and R.P. are employed by GeneDx, LLC. All other authors report no competing interests.

Keywords

Article Information

Contact Information

shawn hayward
McGill University
shawn.hayward@mcgill.ca

Source

How to Cite This Article

APA:
McGill University. (2024, August 27). Discovery gives answers to parents of children with rare disease. Brightsurf News. https://www.brightsurf.com/news/147XDKJ1/discovery-gives-answers-to-parents-of-children-with-rare-disease.html
MLA:
"Discovery gives answers to parents of children with rare disease." Brightsurf News, Aug. 27 2024, https://www.brightsurf.com/news/147XDKJ1/discovery-gives-answers-to-parents-of-children-with-rare-disease.html.