Bluesky Facebook Reddit Email

Tomosynthesis outperforms digital mammography in five-year study

03.10.20 | Radiological Society of North America

Celestron NexStar 8SE Computerized Telescope

Celestron NexStar 8SE Computerized Telescope combines portable Schmidt-Cassegrain optics with GoTo pointing for outreach nights and field campaigns.


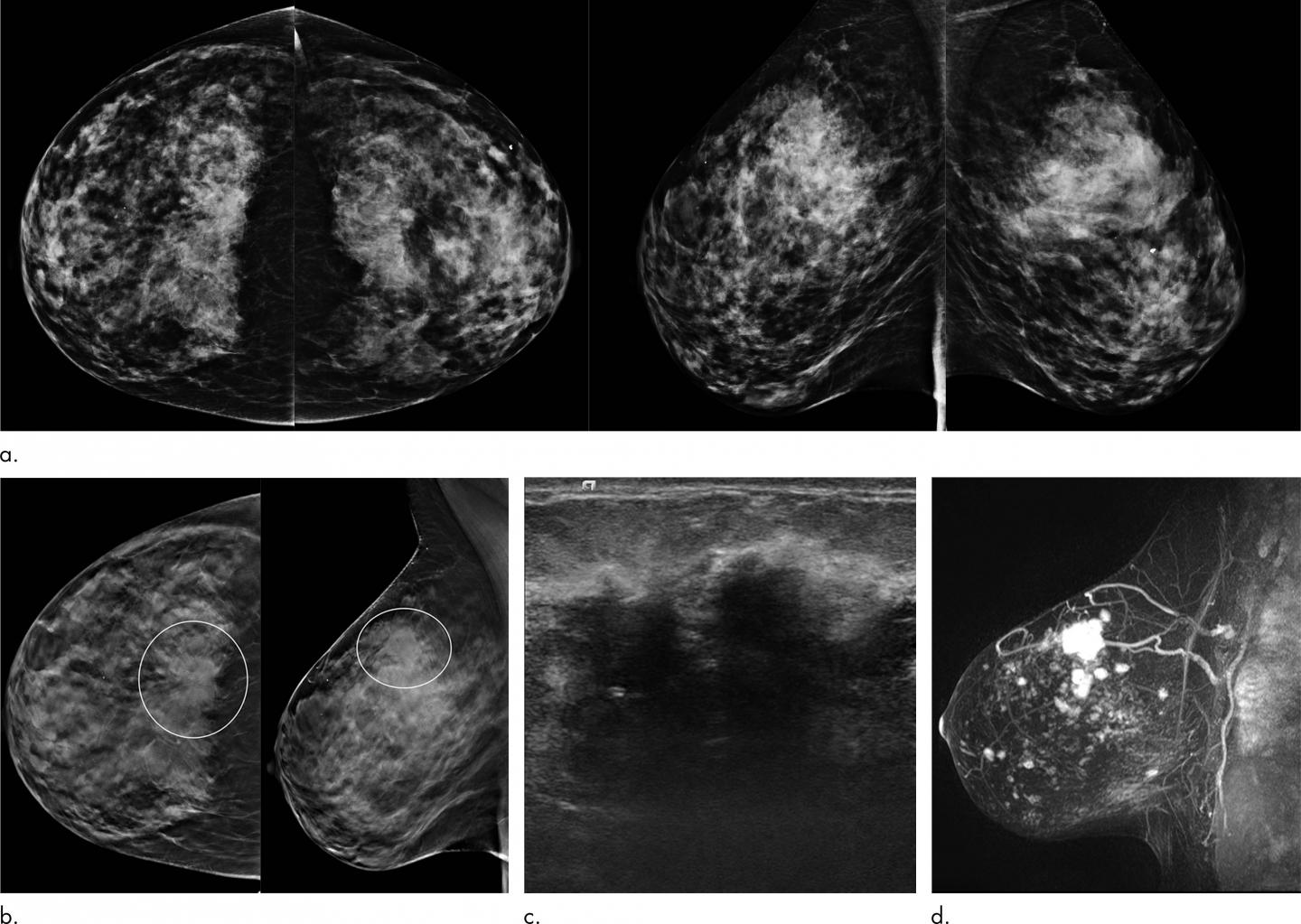
OAK BROOK, Ill. - A new study published in the journal Radiology has found that the advantages of digital breast tomosynthesis (DBT) over digital mammography (DM), including increased cancer detection and fewer false positive findings, are maintained over multiple years and rounds of screening. In addition, research showed that DBT screening helped detect a higher proportion of poor prognosis cancers than DM.

DBT, sometimes called 3D mammography, emerged in the last decade as a powerful tool for breast cancer screening. The procedure uses an X-ray tube that moves in an arc and takes low radiation-dose projections of the breast from different angles. Varying the angle allows for multiple data points that can be reconstructed in different ways.

"As a radiologist, tomosynthesis allows viewing of the breast in multiple layers or slices," said study lead author Emily F. Conant, M.D., professor and chief of breast imaging in the Department of Radiology, Perelman School of Medicine at the University of Pennsylvania in Philadelphia. "This ability to scroll through slices of otherwise overlapping breast tissue helps us not only detect more cancers but also better characterize benign or normal areas of the breast."

Numerous studies have shown that DBT is superior to DM for cancer detection and reducing recall rate, or the rate at which women were called back for additional imaging based on suspicious initial findings. However, most of the published data on DBT screening have been from first round of screening, an instance when cancer detection rates and recall rates are expected to be higher than with subsequent rounds of screening. Less is known about the performance of DBT over time.

For this study, the research team looked at outcomes for patients over a five-year stretch after they began imaging all their screening patients with DBT in the fall of 2011. The study set included more than 56,000 DBT exams, along with 10,500 prior DM exams. The researchers compared imaging findings with results from local cancer registries.

Cancer detection rates were 6 per 1,000 for DBT, compared with 5.1 per 1,000 for DM alone. Screening recall rates were 8% for DBT, compared with 10.4% for DM alone. The numbers held steady across all five years of tomosynthesis screening. Almost a third of cancers detected with DBT screening were associated with a poorer prognosis, compared with a quarter of those detected with digital mammography alone.

"We showed that the improved performance with DBT was maintained over multiple years," Dr. Conant said. "This is the longest follow-up with cancer registry matching that has been published thus far."

Dr. Conant attributed the improved outcomes achieved with tomosynthesis to better visualization of both benign and malignant lesions and a reduction in tissue superimposition.

"With tomosynthesis you can remove some of the overlapping or obscuring breast tissue so that both normal and abnormal findings are better seen," she said. "That provides both improved cancer detection and decreased false positives."

One of the key strengths of the study was its reliance on a diverse population of women. For instance, African American women, who are known to develop more aggressive breast cancer subtypes at an earlier age, made up about half of the study group.

"We found different types of biology in the cancers detected across our diverse population and that's an important takeaway of this paper," Dr. Conant said. "Our results show that we can improve our screening outcomes for younger women with DBT by finding clinically important cancers earlier with fewer false positives."

While more studies with diverse populations and long-term follow-up are needed, the initial findings underscore the strength of tomosynthesis in breast cancer screening.

"This is very promising and important data that certainly can be used to model larger trials," Dr. Conant said.

###

"Five Consecutive Years of Screening with Digital Breast Tomosynthesis: Outcomes by Screening Year and Round." Collaborating with Dr. Conant were Samantha P. Zuckerman, M.D., Elizabeth S. McDonald, M.D., Ph.D., Susan P. Weinstein, M.D., Katrina E. Korhonen, M.D., Julia A. Birnbaum, M.D., Jennifer D. Tobey, M.D., Mitchell D. Schnall, M.D., Ph.D., and Rebecca A. Hubbard, Ph.D.

Radiology is edited by David A. Bluemke, M.D., Ph.D., University of Wisconsin School of Medicine and Public Health, Madison, Wisconsin, and owned and published by the Radiological Society of North America, Inc. ( https://pubs.rsna.org/journal/radiology )

RSNA is an association of radiologists, radiation oncologists, medical physicists and related scientists promoting excellence in patient care and health care delivery through education, research and technologic innovation. The Society is based in Oak Brook, Illinois. ( RSNA.org )

For patient-friendly information on breast imaging, visit RadiologyInfo.org .

Radiology

Keywords

Article Information

Contact Information

Linda Brooks
lbrooks@rsna.org

How to Cite This Article

APA:
Radiological Society of North America. (2020, March 10). Tomosynthesis outperforms digital mammography in five-year study. Brightsurf News. https://www.brightsurf.com/news/19NGM2Q1/tomosynthesis-outperforms-digital-mammography-in-five-year-study.html
MLA:
"Tomosynthesis outperforms digital mammography in five-year study." Brightsurf News, Mar. 10 2020, https://www.brightsurf.com/news/19NGM2Q1/tomosynthesis-outperforms-digital-mammography-in-five-year-study.html.