Bluesky Facebook Reddit Email

Trichomonosis: A conundrum in cats

03.20.17 | SAGE

Apple iPhone 17 Pro

Apple iPhone 17 Pro delivers top performance and advanced cameras for field documentation, data collection, and secure research communications.


Over the past two decades, the protozoan Tritrichomonas foetus has come to be recognised as a cause of chronic colitis in cats in many countries worldwide. Today trichomonosis is regarded as one of the most common infectious causes of large bowel diarrhea. Affected cats are usually young (median age 1 year), and maintain good health and body condition, but they exhibit a waxing and waning diarrhea. Characteristically, faeces are 'cow pie' in consistency and often contain mucus and/or blood. In many cats, the diarrhea will spontaneously resolve without treatment after several months, but in some cases it continues to wax and wane for many years.

The culprit, T. foetus , a tear-drop shaped, highly motile flagellate, is thought to be transmitted from cat to cat via the faecal-oral route; cats acquired from breeding catteries and shelters are at increased risk of infection, as dense housing conditions favour this route of transmission. T. foetus also infects cattle, in which it is sexually transmitted and a potential cause of abortion and infertility. The economic impact of the disease for the cattle industry around the world has given rise to a rapidly developing field of research into trichomonads. Frustratingly for veterinarians, however, the more that has been learnt about trichomonosis in cats, the trickier it has become.

The complications and controversies surrounding feline trichomonosis are explored in a state-of-the-art review article published this month in the Journal of Feline Medicine and Surgery. The authors, Dr Jody Gookin and colleagues at the College of Veterinary Medicine, North Carolina State University explain that one of the most pressing challenges is that feline trichomonosis is resistant to all commonly used antiprotozoals. Currently, the only drug that has been demonstrated to be effective in cats is ronidazole, but this agent has a narrow safety margin and clinical resistance is increasingly recognized. A cat treated with the drug may indeed go on to show complete, or almost complete, resolution of their diarrhea, but it can be very difficult to determine whether the treatment has truly eradicated the infection or simply concealed the clinical signs. This, in turn, raises the specific question of what risk a treated cat may pose to other cats if, say, being reintroduced into a breeding cattery. More broadly, given these difficulties, and the spontaneous resolution of diarrhea seen in many cats, the controversial question has arisen: should veterinarians even bother treating the infection in cats?

The authors conclude that, while research has come a long way in advancing understanding of this infection, there remain many unanswered questions that are pivotal to future progress. Are feline and bovine T. foetus genotypes truly biologically distinct, residing in separate hosts, or is there the potential for cross-infection between cattle and cats? Should all cats in contact with a Tritrichomonas species infected cat also be treated? What is the long-term effect of Tritrichomonas species infection on feline gastrointestinal health, and can safer and more effective drugs for treatment of the infection be identified?

###

*The conundrum of feline trichomonsis. The more we learn the 'trickier' it gets. J Feline Med Surg 2017; 19: 261-274.

The article is free to read here

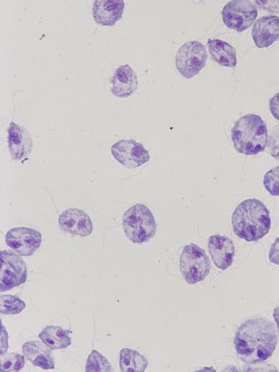
Picture: Appearance of feline Tritrichomonas species at x100 magnification. These tear-drop shaped, highly motile flagellates lack many of their own biosynthetic pathways and rely on the salvage of nutrients from their host for survival. Image courtesy of Jody Gookin

Press enquiries: Margaret Melling, margaret.melling@icatcare.org , +44 (0)1747 871872

Notes to editors:

About the Journal of Feline Medicine and Surgery

The Journal of Feline Medicine and Surgery is the official journal of the International Society of Feline Medicine (ISFM) and the American Association of Feline Practitioners (AAFP), and is published by SAGE Publishing.

Journal of Feline Medicine and Surgery

Keywords

Article Information

Contact Information

How to Cite This Article

APA:
SAGE. (2017, March 20). Trichomonosis: A conundrum in cats. Brightsurf News. https://www.brightsurf.com/news/1EKVMJ51/trichomonosis-a-conundrum-in-cats.html
MLA:
"Trichomonosis: A conundrum in cats." Brightsurf News, Mar. 20 2017, https://www.brightsurf.com/news/1EKVMJ51/trichomonosis-a-conundrum-in-cats.html.