Bluesky Facebook Reddit Email

Sense of justice built into the brain

05.04.11 | Karolinska Institutet

SAMSUNG T9 Portable SSD 2TB

SAMSUNG T9 Portable SSD 2TB transfers large imagery and model outputs quickly between field laptops, lab workstations, and secure archives.


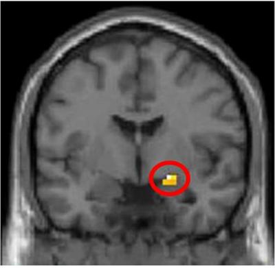
A new study from Karolinska Institutet in Sweden shows that the brain has built-in mechanisms that trigger an automatic reaction to someone who refuses to share. The reaction derives from the amygdala, an older part of the brain. The subjects' sense of justice was challenged in a two-player money-based fairness game, while their brain activity was registered by an MR scanner. When bidders made unfair suggestions as to how to share the money, they were often punished by their partners even if it cost them. A drug that inhibits amygdala activity subdued this reaction to unfairness.

The study, a collaboration between Karolinska Institutet and the Stockholm School of Economics, is published in PLoS Biology . It is based on the universal human behaviour to react aggressively when another person contravenes the norm of acting in the best interests of the group by behaving unfairly. The researchers had 35 subjects play a money-based fairness game (the Ultimate Game), whereby one player suggests to another how a fixed sum of money is to be shared between them; the other player can then either accept the suggestion and take the money, or reject it, in which case neither player receives anything.

"If the sum to be shared is 100 SEK kronor and the suggestion is 50 each, everyone accepts it as it is seen as fair," says Dr Katarina Gospic. "But if the suggestion is that you get 20 and I take 80, it's seen as unfair. In roughly half the cases it ends up with the player receiving the smaller share rejecting the suggestion, even though it costs them 20 SEK. Doing this, they punish the player making the unfair suggestion despite losing out themselves."

By registering the subjects' brain activity with an MR scanner during play, the researchers were able to see that the brain area controlling these financial decisions was located in the amygdala, an evolutionary old and therefore more primitive part of the brain that controls feelings of anger and fear. Previous research has suggested that the ability to analyse and make decisions of a financial nature is located in the prefrontal cortex.

In the present study, the subjects were either given the anti-anxiety tranquilliser Oxazepam or a sugar pill (placebo) while playing the Ultimate Game. The researchers found that those who had received the drug showed lower amygdala activity and a stronger tendency to accept an unfair distribution of the money – this despite the fact that when asked, they still considered the suggestion unfair.

In the control group, the tendency to react aggressively and punish the player who had suggested the unfair distribution of money was directly linked to an increase in activity in the amygdala. A gender difference was also observed, with men responding more aggressively to unfair suggestions than women and showing a correspondingly higher rate of amygdalic activity. This gender difference was not found in the group that received Oxazepam.

"This is an incredibly interesting result that shows that it isn't just processes in the prefrontal cortex that determine this kind of decision about financial equitability, as was previously thought," says Professor Martin Ingvar. "Our findings, however, can also have ethical implications since the use of certain drugs can clearly affect our everyday decision-making processes."

The work was funded by the Swedish Research Council, the Barbro and Bernard Osher Foundation, the Swedish Agency for Innovation Systems(VINNOVA), the Swedish Foundation for Strategic Research, the Jan Wallander and Tom Hedelius Foundation, the Swedish Council for Working Life and Social Research and the Knut and Alice Wallenberg Foundation.

Publication: 'Limbic Justice – Amygdala Involvement in Immediate Rejection in the Ultimate Game', Katarina Gospic, Erik Mohlin, Peter Fransson, Predrag Petrovic, Magnus Johannesson & Martin Ingvar, PLoS Biology 9(5): e1001054, online 3 may 2011, doi:10.1371/journal.pbio.1001054 (Open Access).

Read the article: http://www.plosbiology.org/article/info:doi/10.1371/journal.pbio.1001054

For further information, please contact:

Dr Katarina Gospic, doctoral student
Tel: +46 (0)8- 524 832 38 or +46 (0)73 97 44 026
Email: Katarina.gospic@ki.se

Martin Ingvar, professor
Tel: +46 (0)8-52483270 or +46 (0)70-4841247
Email: martin.ingvar@ki.se

Contact the KI Press Office and download photos: http://ki.se/pressroom

Karolinska Institutet is one of the world's leading medical universities. It accounts for over 40 per cent of the medical academic research conducted in Sweden and offers the country's broadest range of education in medicine and health sciences. Since 1901 the Nobel Assembly at Karolinska Institutet has selected the Nobel laureates in Physiology or Medicine. More information on ki.se

PLOS Biology

Keywords

Article Information

Contact Information

Katarina Sternudd
katarina.sternudd@ki.se

Source

How to Cite This Article

APA:
Karolinska Institutet. (2011, May 4). Sense of justice built into the brain. Brightsurf News. https://www.brightsurf.com/news/1EKZKWQ1/sense-of-justice-built-into-the-brain.html
MLA:
"Sense of justice built into the brain." Brightsurf News, May. 4 2011, https://www.brightsurf.com/news/1EKZKWQ1/sense-of-justice-built-into-the-brain.html.