Bluesky Facebook Reddit Email

Study reveals cancer therapy's double-edged sword ... and how to blunt it

11.30.17 | Rockefeller University Press

Anker Laptop Power Bank 25,000mAh (Triple 100W USB-C)

Anker Laptop Power Bank 25,000mAh (Triple 100W USB-C) keeps Macs, tablets, and meters powered during extended observing runs and remote surveys.


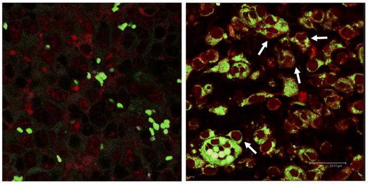
Researchers from Harvard Medical School and the Institute of Systems Biology have discovered that the remains of tumor cells killed by chemotherapy or other cancer treatments can actually stimulate tumor growth by inducing an inflammatory reaction. The study, which will be published November 30 in The Journal of Experimental Medicine , also reveals that a family of molecules called resolvins can suppress this unwanted inflammatory response, suggesting new ways to enhance the effectiveness of existing cancer therapies.

Conventional, radiation- and drug-based cancer therapies aim to kill as many tumor cells as possible, but the debris left behind by dead and dying cancer cells can stimulate the production of proinflammatory cytokines, signaling molecules that are known to promote tumor growth. "Dead and dying tumor cells are an underappreciated component of the tumor microenvironment that may promote tumor progression," explains Prof. Charles N. Serhan from Brigham and Women's Hospital, Harvard Medical School.

Serhan and colleagues therefore decided to investigate whether tumor cell debris can stimulate tumor growth. In addition to Serhan, the research team was led by Mark Kieran from the Dana-Farber Cancer Institute and Boston Children's Hospital, Harvard Medical School, Sui Huang from the Institute of Systems Biology in Seattle, and Dipak Panigrahy from the Beth Israel Deaconess Medical Center, Harvard Medical School. Megan Sulciner is the paper's lead author along with co-lead authors Molly Gilligan and Dayna Mudge.

Sulciner et al. began by killing laboratory-cultured cancer cells with a variety of cytotoxic or targeted drugs and found that the resulting debris stimulated tumor formation when co-injected into mice with a small number of living cancer cells unable to initiate tumor growth on their own. Similarly, treating mice with the chemotherapy drugs cisplatin and vincristine generated tumor cell debris in vivo that enhanced the ability of surviving cancer cells to form tumors.

"Cytotoxic cancer treatment designed to kill tumor cells may be a double-edged sword that directly contributes to tumor progression and relapse because tumor cell debris stimulates the survival and growth of living tumor cells," Panigrahy says.

The researchers discovered that tumor cell debris promotes tumor growth because a lipid called phosphatidylserine, which is exposed on the surface of dead and dying cells, stimulates the production of proinflammatory cytokines by immune cells known as macrophages.

"We reasoned that if drug-generated debris promotes tumor growth, clearance of debris may mitigate this effect," explains Kieran. "Resolvins are a family of endogenous lipid-derived mediators that stimulate the resolution of inflammation by countering proinflammatory cytokines and increasing the uptake of cell debris into macrophages."

Treating mice with small amounts of resolvins inhibited debris-stimulated tumor growth and prevented cancer cells from metastasizing. Moreover, resolvin treatment enhanced the activity of various cytotoxic therapies against several different types of tumors.

Resolvins are already in clinical development as potential therapeutic approaches for several inflammatory and neurodegenerative diseases. "Targeting the resolvin pathways provides an entirely new, non-toxic, and non-immunosuppressive approach to cancer therapy by increasing the body's natural production of endogenous pro-resolving and antiinflammatory mediators," says Huang.

"While generation of tumor cell debris throughout treatment may explain an inherent therapeutic limit to conventional cancer therapies, stimulating the clearance of such debris via specialized pro-resolving mediators, such as resolvins, represents a novel approach to preventing tumor growth and recurrence," Serhan adds.

###

Sulciner et al., 2018. J. Exp. Med. http://jem.rupress.org/cgi/doi/10.1084/jem.20170681?PR

About The Journal of Experimental Medicine

The Journal of Experimental Medicine (JEM) features peer-reviewed research on immunology, cancer biology, stem cell biology, microbial pathogenesis, vascular biology, and neurobiology. All editorial decisions are made by research-active scientists in conjunction with in-house scientific editors. JEM provides free online access to many article types from the date of publication and to all archival content. Established in 1896, JEM is published by The Rockefeller University Press. For more information, visit jem.org .

Visit our Newsroom , and sign up for a weekly preview of articles to be published. Embargoed media alerts are for journalists only.

Follow JEM on Twitter at @JExpMed and @RockUPress .

Journal of Experimental Medicine

10.1084/jem.20170681

Keywords

Article Information

Contact Information

Ben Short
Rockefeller University Press
bshort@rockefeller.edu

How to Cite This Article

APA:
Rockefeller University Press. (2017, November 30). Study reveals cancer therapy's double-edged sword ... and how to blunt it. Brightsurf News. https://www.brightsurf.com/news/1ZKM43D1/study-reveals-cancer-therapys-double-edged-sword-and-how-to-blunt-it.html
MLA:
"Study reveals cancer therapy's double-edged sword ... and how to blunt it." Brightsurf News, Nov. 30 2017, https://www.brightsurf.com/news/1ZKM43D1/study-reveals-cancer-therapys-double-edged-sword-and-how-to-blunt-it.html.