Bluesky Facebook Reddit Email

CT, MRI for pediatric pancreatitis—interobserver agreement with INSPPIRE

03.08.22 | American Roentgen Ray Society

GoPro HERO13 Black

GoPro HERO13 Black records stabilized 5.3K video for instrument deployments, field notes, and outreach, even in harsh weather and underwater conditions.


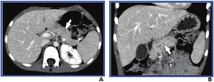
Leesburg, VA, March 8, 2022 According to an open-access Editor’s Choice article in ARRS’ American Journal of Roentgenology ( AJR ) , interobserver agreement proved generally fair to moderate for most CT and MRI findings of chronic pancreatitis in children.

“This study highlights challenges for the imaging diagnosis of pediatric chronic pancreatitis,” wrote first author Andrew T. Trout of Cincinnati Children's Hospital Medical Center in Ohio. “Standardized and/or objective criteria are needed, given the importance of imaging in diagnosis.”

In Trout et al.’s retrospective study, CT or MRI examinations performed in children with chronic pancreatitis were submitted by six sites participating in the INternational Study Group of Pediatric Pancreatitis: In search for a cuRE (INSPPIRE) consortium. One board-certified pediatric radiologist from each of the six sites participated in independent image review. Three radiologists independently reviewed only CT examinations, whereas three other radiologists independently reviewed just MRI examinations. While measuring pancreas thickness and duct diameter, reviewers evaluated 13 categorical subjective features: 12 on both CT and MRI, 1 on CT only, 1 on MRI only.

In this study of six sites in the INSPPIRE consortium, interobserver agreement for findings of chronic pancreatitis in children was relatively high for CT for the presence of parenchymal calcifications (κ=0.81), pancreatic duct dilation (κ=0.63), and atrophy (κ=0.52); and for MRI for main and side branch pancreatic duct findings (κ=0.64-0.74).

Noting that duct findings showed the highest levels of agreement for both modalities, “agreement for subjective findings of atrophy was moderate, and agreement for parenchymal thickness (a quantitative measure of atrophy) depended on the location of measurement, with the best agreement observed in the pancreatic body,” the authors of this AJR article concluded .

An electronic supplement to this AJR article is available here .

Please see the AJR Editorial Comment by Simon C. Kao discussing this article, too.

North America’s first radiological society, the American Roentgen Ray Society (ARRS) remains dedicated to the advancement of medicine through the profession of medical imaging and its allied sciences. An international forum for progress in radiology since the discovery of the x-ray, ARRS maintains its mission of improving health through a community committed to advancing knowledge and skills with the world’s longest continuously published radiology journal— American Journal of Roentgenology —the ARRS Annual Meeting, InPractice magazine, topical symposia, myriad multimedia educational materials, as well as awarding scholarships via The Roentgen Fund ®.

MEDIA CONTACT :

Logan K. Young, PIO

44211 Slatestone Court

Leesburg, VA 20176

703-858-4332

lyoung@arrs.org

American Journal of Roentgenology

10.2214/AJR.21.27234

Observational study

People

Interobserver agreement for CT and MRI findings of chronic pancreatitis in children: A multicenter ancillary study under the INSPPIRE consortium

23-Feb-2022

No relevant disclosures

Keywords

Article Information

Contact Information

Logan Young
American Roentgen Ray Society
lyoung@arrs.org

Source

How to Cite This Article

APA:
American Roentgen Ray Society. (2022, March 8). CT, MRI for pediatric pancreatitis—interobserver agreement with INSPPIRE. Brightsurf News. https://www.brightsurf.com/news/80EZE7Y8/ct-mri-for-pediatric-pancreatitisinterobserver-agreement-with-insppire.html
MLA:
"CT, MRI for pediatric pancreatitis—interobserver agreement with INSPPIRE." Brightsurf News, Mar. 8 2022, https://www.brightsurf.com/news/80EZE7Y8/ct-mri-for-pediatric-pancreatitisinterobserver-agreement-with-insppire.html.