Bluesky Facebook Reddit Email

New radiation therapy reduces treatment of gynecologic cancers from 5 weeks to 3 days

04.17.12 | The Journal of Visualized Experiments

SAMSUNG T9 Portable SSD 2TB

SAMSUNG T9 Portable SSD 2TB transfers large imagery and model outputs quickly between field laptops, lab workstations, and secure archives.


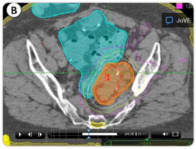
About 71,500 women in the United States are diagnosed with a gynecologic cancer every year, according to the Centers for Disease Control. Researchers from University Hospitals Case Medical Center have developed a more effective way to treat gynecologic cancers, shortening radiation treatment time from five weeks to three days. The method will be published in the Journal of Visualized Experiments ( JoVE ) on April 17.

The new method, stereotactic body radiotherapy (SBRT) has been used on other types of cancer, but Case Medical Center is the first treatment facility to apply it to gynecologic cancers. Dr. Charles Kunos, who co-authored the article, said the radiation therapy machine "looks like a robot you would make cars with, and targets specific cancer cells."

(To see the robot arm in action, follow the link to the full video article: http://www.jove.com/details.php?id=3793&access=bs3ynror )

Unlike traditional radiation therapy, SBRT uses focused radiation beams and targets well-defined tumors. In order to focus in on the region, the tumors need to be imaged and marked (using fiduciary markers) in advance. During treatment with the Cyberknife system from Accuray, patients need to be immobilized, and even the movement from the patient's breathing needs to be taken into account.

The highly specific nature of the procedure not only shortens treatment time, it limits the effect of the radiation on healthy tissues.

"SBRT holds great promise for treating persistent or recurrent gynecologic cancers," said JoVE Science Editor, Dr. Nandita Singh. "SBRT can deliver radiation with high precision and is particularly effective in delivering reduced radiation to cancer targets that are refractory to chemotherapy and conventional radiation."

Dr. Kunos said he chose to publish the method in JoVE , the only peer reviewed, PubMed-indexed academic journal to publish all of its content in both text and video format, because he felt it was critical that he and his team have a high-quality video of the protocol for people to see when he and his team launch a nationwide clinical trial.

To see the full video article, please click here: http://www.jove.com/details.php?id=3793&access=bs3ynror

About The Journal of Visualized Experiments :

The Journal of Visualized Experiments ( JoVE ) is the first and only Pubmed and Medline indexed academic journal devoted to publishing research in the biological sciences in video format. Using an international network of videographers, JoVE films and edits videos of researchers performing new experimental techniques at top universities, allowing students and scientists to learn them much more quickly. As of January 2012 JoVE has released 59 monthly issues including over 1500 video-protocols on experimental approaches in developmental biology, neuroscience, microbiology and other fields.

Journal of Visualized Experiments

Keywords

Article Information

Contact Information

How to Cite This Article

APA:
The Journal of Visualized Experiments. (2012, April 17). New radiation therapy reduces treatment of gynecologic cancers from 5 weeks to 3 days. Brightsurf News. https://www.brightsurf.com/news/8OJDOW31/new-radiation-therapy-reduces-treatment-of-gynecologic-cancers-from-5-weeks-to-3-days.html
MLA:
"New radiation therapy reduces treatment of gynecologic cancers from 5 weeks to 3 days." Brightsurf News, Apr. 17 2012, https://www.brightsurf.com/news/8OJDOW31/new-radiation-therapy-reduces-treatment-of-gynecologic-cancers-from-5-weeks-to-3-days.html.