Bluesky Facebook Reddit Email

First demonstration of new hair follicle generation in an animal model

05.16.07 | University of Pennsylvania School of Medicine

SAMSUNG T9 Portable SSD 2TB

SAMSUNG T9 Portable SSD 2TB transfers large imagery and model outputs quickly between field laptops, lab workstations, and secure archives.


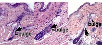
PHILADELPHIA -- Researchers at the University of Pennsylvania School of Medicine have found that hair follicles in adult mice regenerate by re-awakening genes once active only in developing embryos. These findings provide unequivocal evidence for the first time that, like other animals such as newts and salamanders, mammals have the power to regenerate. These findings are published in the May 17 issue of Nature.

A better understanding of this process could lead to novel treatments for hair loss, other skin and hair disorders, and wounds.

“We showed that wound healing triggered an embryonic state in the skin which made it receptive to receiving instructions from wnt proteins,” says senior author George Cotsarelis, MD, Associate Professor of Dermatology. “The wnts are a network of proteins implicated in hair-follicle development.”

Researchers previously believed that adult mammal skin could not regenerate hair follicles. In fact, investigators generally believe that mammals had essentially no true regenerative qualities. (The liver can regenerate large portions, but it is not de novo regeneration; some of the original liver has to remain so that it can regenerate.)

In this study, researchers found that wound healing in a mouse model created an “embryonic window” of opportunity. Dormant embryonic molecular pathways were awakened, sending stem cells to the area of injury. Unexpectedly, the regenerated hair follicles originated from non-hair-follicle stem cells.

“We’ve found that we can influence wound healing with wnts or other proteins that allow the skin to heal in a way that has less scarring and includes all the normal structures of the skin, such as hair follicles and oil glands, rather than just a scar,” explains Cotsarelis.

By introducing more wnt proteins to the wound, the researchers found that they could take advantage of the embryonic genes to promote hair-follicle growth, thus making skin regenerate instead of just repair. Conversely by blocking wnt proteins, they also found that they could stop the production of hair follicles in healed skin.

Increased wnt signaling doubled the number of new hair follicles. This suggests that the embryonic window created by the wound-healing process can be used to manipulate hair-follicle regeneration, leading to novel ways to treat hair loss and hair overgrowth.

These findings go beyond just a possible treatment for male-pattern baldness. If researchers can effectively control hair growth, then they could potentially find cures for people with hair and scalp disorders, such as scarring alopecia where the skin scars, and hair overgrowth.

This research was funded in part by the National Institute of Arthritis, Musculoskelatal and Skin Disease and the Pennsylvania Department of Health. Other co-authors in addition to Cotsarelis are Mayumi Ito, Zaixin Yang, Thomas Andl, Chunhua Cui, Noori Kim, and Sarah E. Millar, all from Penn.

Cotsarelis and Ito are listed as inventors on a patent application related to hair-follicle neogenesis and owned by the University of Pennsylvania. Cotsarelis also serves on the scientific advisory board and has equity in Follica, a start-up company that has licensed the patent from the University of Pennsylvania. Cotsarelis was also a co-founder of Follica.

This release and a related image can be viewed at www.pennhealth.com/news .

PENN Medicine is a $2.9 billion enterprise dedicated to the related missions of medical education, biomedical research, and high-quality patient care. PENN Medicine consists of the University of Pennsylvania School of Medicine (founded in 1765 as the nation's first medical school) and the University of Pennsylvania Health System.

Penn's School of Medicine is ranked #2 in the nation for receipt of NIH research funds; and ranked #3 in the nation in U.S. News & World Report's most recent ranking of top research-oriented medical schools. Supporting 1,400 fulltime faculty and 700 students, the School of Medicine is recognized worldwide for its superior education and training of the next generation of physician-scientists and leaders of academic medicine.

The University of Pennsylvania Health System includes three hospitals, all of which have received numerous national patient-care honors [Hospital of the University of Pennsylvania; Pennsylvania Hospital, the nation's first hospital; and Penn Presbyterian Medical Center]; a faculty practice; a primary-care provider network; two multispecialty satellite facilities; and home care and hospice.

Nature

Keywords

Article Information

Contact Information

Karen Kreeger
University of Pennsylvania School of Medicine
karen.kreeger@uphs.upenn.edu

How to Cite This Article

APA:
University of Pennsylvania School of Medicine. (2007, May 16). First demonstration of new hair follicle generation in an animal model. Brightsurf News. https://www.brightsurf.com/news/8OJMGMZ1/first-demonstration-of-new-hair-follicle-generation-in-an-animal-model.html
MLA:
"First demonstration of new hair follicle generation in an animal model." Brightsurf News, May. 16 2007, https://www.brightsurf.com/news/8OJMGMZ1/first-demonstration-of-new-hair-follicle-generation-in-an-animal-model.html.