Bluesky Facebook Reddit Email

The media is the message: How stem cells grow depends on what they grow up in

05.05.15 | University of California - San Diego

Apple Watch Series 11 (GPS, 46mm)

Apple Watch Series 11 (GPS, 46mm) tracks health metrics and safety alerts during long observing sessions, fieldwork, and remote expeditions.


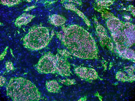
Human pluripotent stem cells (hPSCs) possess the ability to grow into almost any kind of cell, which has made them dynamic tools for studying early human development and disease, but much depends upon what they grow up in.

Writing in the May 4 online issue of the journal Scientific Reports , researchers at University of California, San Diego School of Medicine used a powerful statistical tool called "design of experiments" or DOE to determine the optimal cell culture formula to grow and produce hPSCs.

"Currently, there are different culture methods and media that are not optimized or even chemically defined. There are several factors that may affect the growth of stem cells based on batch-to-batch media variation," said Alysson Muotri, PhD, associate professor in the UC San Diego departments of Pediatrics and Cellular and Molecular Medicine. "This affects science in many ways. For example, it slows down progress because conditions may not be pristine. It also makes it difficult for other labs to validate data because the media they use will likely not be the same as in the original experiments."

Muotri and colleagues used DOE to measure two critical growth factors used in hPSC media: basic fibroblast growth factor (bFGF) and neuregulin-1 beta 1 (NRG-1 beta 1). DOE is often used in scientific endeavors to measure and account for variations in data, but not so much in biology, said Muotri.

"If you ask a biology student what is the ideal temperature and pH for an enzyme, he/she will try to determine the best temperature in one experiment and the best pH in another experiment. Then, the student will erroneously conclude that these represent the optimal temperature and pH," said Muotri. "What is missing is the interaction between temperature and pH. The best working temperature may not be the most optimal pH condition. DOE takes into account positive, negative or neutral interactions between multiple factors at the same time."

Building upon earlier work, which had analyzed hundreds of other factors in hPSC media, the researchers determined the best formulations for bFGF and NRG-1 beta 1. They noted, however, that their findings are not fixed. "If science discovers a new factor that affects hPSC proliferation, we can add it into our DOE matrix to quickly test and re-formulate the media," said Muotri.

The researchers hope their findings will lead to a new standard for hPSC cultures. "Any lab in the world can have access to the same formulation, with no variability," said Muotri. "We also think this method could be applied towards the development of culture conditions during differentiation of human stem cells. Ideally, we want to create transition media formulations that subtly change during cell type specialization, mimicking the human embryo."

Muotri said his team is working with the UC San Diego Technology Transfer Office to find industry partners to assist in making the new technology accessible to all laboratories using hPSCs.

###

Co-authors include Paulo A. Marinho and Thanathom Chailangkarn, UCSD Department of Pediatrics/Rady Children's Hospital-San Diego, Department of Cellular and Molecular Medicine and UCSD Stem Cell Program.

Funding for this research came, in part, from the California Institute for Regenerative Medicine and the National Institutes of Health (1-DP2-OD006495-1).

Scientific Reports

Keywords

Article Information

Contact Information

Scott LaFee
University of California - San Diego
slafee@ucsd.edu

How to Cite This Article

APA:
University of California - San Diego. (2015, May 5). The media is the message: How stem cells grow depends on what they grow up in. Brightsurf News. https://www.brightsurf.com/news/8XGR7YE1/the-media-is-the-message-how-stem-cells-grow-depends-on-what-they-grow-up-in.html
MLA:
"The media is the message: How stem cells grow depends on what they grow up in." Brightsurf News, May. 5 2015, https://www.brightsurf.com/news/8XGR7YE1/the-media-is-the-message-how-stem-cells-grow-depends-on-what-they-grow-up-in.html.