Bluesky Facebook Reddit Email

Application of cone-beam computed tomography in interventional therapies for liver malignancy: A consensus statement by the Chinese College of Interventionalists

02.24.25 | Xia & He Publishing Inc.

SAMSUNG T9 Portable SSD 2TB

SAMSUNG T9 Portable SSD 2TB transfers large imagery and model outputs quickly between field laptops, lab workstations, and secure archives.


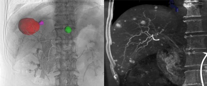
Interventional therapies, including transarterial chemoembolization (TACE), yttrium-90 selective internal radiation therapy ( 90 Y SIRT), and ablation, are pivotal in treating liver malignancies. These interventions are commonly guided by imaging techniques such as digital subtraction angiography (DSA), computed tomography (CT), ultrasonography, or magnetic resonance imaging. Nonetheless, each imaging modality has inherent limitations. DSA, for instance, provides two-dimensional images of blood vessels and tumor staining, which may fall short of specific procedures. Ultrasonography struggles with visualizing small lesions and those near the diaphragm, while CT lacks real-time imaging capabilities.

Cone-beam computed tomography (CBCT), a volumetric imaging technique utilizing a cone-shaped X-ray beam, offers a promising alternative. It facilitates automatic detection and navigation of target vessels, fluoroscopy, and post-TACE embolization assessment, potentially overcoming some limitations of traditional imaging methods. Despite its recognized importance in liver malignancy interventions, CBCT's integration into clinical practice faces challenges such as limited awareness among interventional radiologists, inconsistent parameter standardization, and restricted application areas. To address these issues, the Chinese College of Interventionalists has issued a consensus statement to standardize and promote CBCT use in liver malignancy therapies. This statement, grounded in evidence-based practices and clinical expertise, has been registered on the International Practice Guidelines Registration and Transparency Platform (http://www.guidelines-registry.cn/index, Registration number: PREPARE-2023CN980).

The consensus outlines CBCT scanning techniques, operational standards, and clinical applications while addressing its challenges, including limited soft tissue contrast, radiation exposure, image artifacts, resolution constraints, and a narrow field of view. Despite these hurdles, CBCT’s future is bright, with anticipated advancements in detector resolution, reconstruction algorithms, and multimodal imaging integration. Innovations aimed at reducing radiation doses, enhancing real-time imaging, and incorporating artificial intelligence are expected to refine CBCT’s accuracy and safety, solidifying its role in the interventional management of liver malignancies.

In summary, CBCT represents a significant advancement in imaging for liver malignancy interventions, offering solutions to some limitations of traditional modalities. Despite current challenges, ongoing technological innovations and the integration of artificial intelligence hold great promise for enhancing CBCT’s efficacy and safety in clinical practice.

Pregnancy-induced immunological changes may influence HBV infection outcomes, but their effects are unclear. Chronic HBV infection is linked to adverse pregnancy outcomes, such as preterm birth. Antiviral therapy may mitigate these risks, but optimal postpartum management, including whether to continue treatment, requires further study.

In conclusion, while progress has been made, further research is needed to optimize MTCT prevention strategies, including the use of tenofovir alafenamide, hepatitis B immunoglobulin-free regimens, and early antiviral therapy. Robust registries and long-term follow-up studies will be essential to achieving the goal of eliminating HBV by 2030.

Full text

https://www.xiahepublishing.com/2310-8819/JCTH-2024-00213

The study was recently published in the Journal of Clinical and Translational Hepatology .

The Journal of Clinical and Translational Hepatology (JCTH) is owned by the Second Affiliated Hospital of Chongqing Medical University and published by XIA & HE Publishing Inc. JCTH publishes high quality, peer reviewed studies in the translational and clinical human health sciences of liver diseases. JCTH has established high standards for publication of original research, which are characterized by a study’s novelty, quality, and ethical conduct in the scientific process as well as in the communication of the research findings. Each issue includes articles by leading authorities on topics in hepatology that are germane to the most current challenges in the field. Special features include reports on the latest advances in drug development and technology that are relevant to liver diseases. Regular features of JCTH also include editorials, correspondences and invited commentaries on rapidly progressing areas in hepatology. All articles published by JCTH, both solicited and unsolicited, must pass our rigorous peer review process.

Follow us on X: @xiahepublishing

Follow us on LinkedIn: Xia & He Publishing Inc.

Journal of Clinical and Translational Hepatology

10.14218/JCTH.2024.00213

Application of Cone-beam Computed Tomography in Interventional Therapies for Liver Malignancy: A Consensus Statement by the Chinese College of Interventionalists

12-Dec-2024

Keywords

Article Information

Contact Information

Shelly Zhang
Xia & He Publishing Inc.
shelly109@foxmail.com

Source

How to Cite This Article

APA:
Xia & He Publishing Inc.. (2025, February 24). Application of cone-beam computed tomography in interventional therapies for liver malignancy: A consensus statement by the Chinese College of Interventionalists. Brightsurf News. https://www.brightsurf.com/news/8Y4E62OL/application-of-cone-beam-computed-tomography-in-interventional-therapies-for-liver-malignancy-a-consensus-statement-by-the-chinese-college-of-interventionalists.html
MLA:
"Application of cone-beam computed tomography in interventional therapies for liver malignancy: A consensus statement by the Chinese College of Interventionalists." Brightsurf News, Feb. 24 2025, https://www.brightsurf.com/news/8Y4E62OL/application-of-cone-beam-computed-tomography-in-interventional-therapies-for-liver-malignancy-a-consensus-statement-by-the-chinese-college-of-interventionalists.html.