Bluesky Facebook Reddit Email

Monoclonal antibody targets, kills leukemia cells

03.25.13 | University of California - San Diego

SAMSUNG T9 Portable SSD 2TB

SAMSUNG T9 Portable SSD 2TB transfers large imagery and model outputs quickly between field laptops, lab workstations, and secure archives.


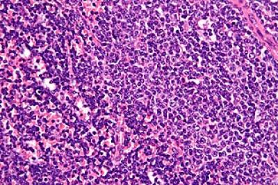
Researchers at the University of California, San Diego Moores Cancer Center have identified a humanized monoclonal antibody that targets and directly kills chronic lymphocytic leukemia (CLL) cells.

The findings, published in the online Early Edition of the Proceedings of the National Academy of Sciences on March 25, 2013 represent a potential new therapy for treating at least some patients with CLL, the most common type of blood cancer in the United States.

CLL cells express high levels of a cell-surface glycoprotein receptor called CD44. Principal investigator Thomas Kipps, MD, PhD, Evelyn and Edwin Tasch Chair in Cancer Research, and colleagues identified a monoclonal antibody called RG7356 that specifically targeted CD44 and was directly toxic to cancer cells, but had little effect on normal B cells.

Moreover, they found RG7356 induced CLL cells that expressed the protein ZAP-70 to undergo apoptosis or programmed cell death. Roughly half of CLL patients have leukemia cells that express ZAP-70. Such patients typically have a more aggressive form of the disease than patients with CLL cells that do not express that specific protein.

Previous research by Kipps and others has shown that CLL cells routinely undergo spontaneous or drug-induced cell death when removed from the body and cultured in the laboratory. They found that CLL cells receive survival signals from surrounding non-tumor cells that are present in the lymph nodes and bone marrow of patients with CLL. One of these survival signals appears to be transmitted through CD44. However, when CD44 is bound by the RG7356 monoclonal antibody, it seems to instead convey a death signal to the leukemia cell.

"By targeting CD44, it may be possible to kill CLL cells regardless of whether there are sufficient numbers of so-called 'effector cells,' which ordinarily are required by other monoclonal antibodies to kill tumor cells," said Kipps. "We plan to initiate clinical trials using this humanized anti-CD44 monoclonal antibody in the not-too-distant future."

Co-authors were Suping Zhang, Christina C.N. Wu, Jessie-Farah Fecteau, Bing Cui, Liguang Chen, Ling Zhang, Rongrong Wu, Laura Rassenti, and Fitzgerald S. Lao, Department of Medicine, UCSD Moores Cancer Center; and Stefan Weigand, Roche Diagnostics GmbH, Germany.

Funding for this study came, in part, from the National Institutes of Health (grant PO1-CA081534) and the UC San Diego Moores Cancer Blood Center Research Fund.

Proceedings of the National Academy of Sciences

Keywords

Article Information

Contact Information

Scott LaFee
University of California - San Diego
slafee@ucsd.edu

How to Cite This Article

APA:
University of California - San Diego. (2013, March 25). Monoclonal antibody targets, kills leukemia cells. Brightsurf News. https://www.brightsurf.com/news/8YWE0Z61/monoclonal-antibody-targets-kills-leukemia-cells.html
MLA:
"Monoclonal antibody targets, kills leukemia cells." Brightsurf News, Mar. 25 2013, https://www.brightsurf.com/news/8YWE0Z61/monoclonal-antibody-targets-kills-leukemia-cells.html.