Bluesky Facebook Reddit Email

Recreating a hallmark of Parkinson's disease in human neurons

10.08.24 | McGill University

Fluke 87V Industrial Digital Multimeter

Fluke 87V Industrial Digital Multimeter is a trusted meter for precise measurements during instrument integration, repairs, and field diagnostics.


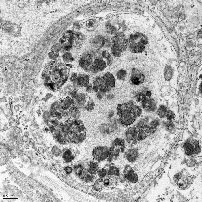
Lewy bodies are a hallmark of Parkinson's disease (PD) and other related neurological conditions. Understanding why and how they develop is critical to developing better treatments. A study from The Neuro (Montreal Neurological Institute-Hospital) of McGill University, in collaboration with its Early Drug Discovery Unit, has recreated the growth of Lewy bodies in human neurons and followed their formation to gain important insight into why and how they form. Critically, they find that immune challenge is important for this process, identifying a previously unknown link between the immune system and neurological disease.

Lewy bodies are thought to result from buildup of misfolded proteins in neurons. Previously, the only way to study them in human neurons was through brain autopsy, which is not ideal because cells break down quickly after death. In this study, neuroscientists used human stem cells to create Lewy bodies in living dopaminergic neurons, the kind of cells especially at risk in PD.

The scientists did this by incubating the neurons with a protein called alpha-synuclein, which is found in Lewy bodies, and coupling it to an immune reaction.

The results reveal that Lewy bodies develop only when dopaminergic neurons are exposed to both a rise in alpha-synuclein and an immune stimulation. Without the immune challenge, no Lewy bodies developed. Moreover, performing the same procedure on other cells, such as cortical neurons does not produce Lewy bodies, suggesting this effect is specific to dopaminergic neurons.

By following the development of Lewy bodies in real-time, the scientists discovered that in dopaminergic neurons, the immune response impairs autophagy—the removal of damaged cellular materials. They also found that in these cells, Lewy bodies are membrane-bound, and contain other organelles and membrane fragments, contradicting previous dogma that Lewy bodies were composed exclusively of misfolded proteins.

This study is the first to show that both alpha-synuclein and an immune response are needed for Lewy body formation and that this effect is specific to dopaminergic neurons. It also provides important insight into Lewy body formation and structure, information that could be important to future drug development.

“Replicating Lewy body formation in living neurons is a significant step forward to understanding key aspects of Parkinson’s and other neurological disease,” says Peter McPherson, a researcher at The Neuro and the study’s senior author. “These neurons came from stem cells of healthy patients, suggesting anyone can develop Parkinson’s if exposed to the right environment, and so a genetic predisposition to disease may not be necessary.”

“The results support previous research showing that an immune response plays an important role in Parkinson’s development,” says Armin Bayati, a PhD candidate in McPherson’s lab and the study’s first author. “Future studies should focus on understanding how inflammation caused by an overexcited immune system causes Lewy body formation when coupled with α-synuclein.”

The scientists published their results in the journal Nature Neuroscience on Oct. 8, 2024. The study was made possible by support from the Canada First Research Excellence Fund, Healthy Brain, Healthy Lives, the Canadian Institutes for Health Research, and Fonds de recherche du Québec- Santé.

Nature Neuroscience

10.1038/s41593-024-01775-4

Experimental study

Human tissue samples

Modeling Parkinson’s disease pathology in human dopaminergic neurons by sequential exposure to α-synuclein fibrils and proinflammatory cytokines

8-Oct-2024

Keywords

Article Information

Contact Information

shawn hayward
McGill University
shawn.hayward@mcgill.ca

How to Cite This Article

APA:
McGill University. (2024, October 8). Recreating a hallmark of Parkinson's disease in human neurons. Brightsurf News. https://www.brightsurf.com/news/L3R2XDZ8/recreating-a-hallmark-of-parkinsons-disease-in-human-neurons.html
MLA:
"Recreating a hallmark of Parkinson's disease in human neurons." Brightsurf News, Oct. 8 2024, https://www.brightsurf.com/news/L3R2XDZ8/recreating-a-hallmark-of-parkinsons-disease-in-human-neurons.html.