Bluesky Facebook Reddit Email

COVID-19 vaccination axillary adenopathy detected during breast imaging

02.24.21 | American Roentgen Ray Society

Davis Instruments Vantage Pro2 Weather Station

Davis Instruments Vantage Pro2 Weather Station offers research-grade local weather data for networked stations, campuses, and community observatories.


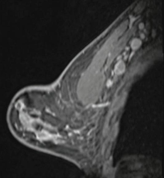
Leesburg, VA, February 24, 2021--An open-access article in ARRS' American Journal of Roentgenology ( AJR ) describes the clinical and imaging features of axillary adenopathy detected during screening or diagnostic breast imaging after recent coronavirus disease (COVID-19) vaccination to inform the development of follow-up recommendations.

Shabnam Mortazavi of the University of California at Los Angeles reviewed electronic medical records to identify women with post-COVID-19 vaccination adenopathy found from December 2020 to February 2021. For mammography, Mortazavi considered a node abnormal when its size, shape, or density was deemed disproportionate to other axillary nodes (ipsilateral or contralateral). On ultrasound, she deemed a node abnormal based on subjective assessment for cortical abnormalities, including focal or diffuse thickening greater than 3 mm, as well as nodal prominence compared to the contralateral axilla (when available). For MRI, Mortazavi considered a node abnormal when asymmetric in size and/or number to the contralateral axilla.

Twenty-three women exhibited axillary adenopathy ipsilateral to the vaccinated arm on screening or diagnostic breast imaging, and according to Mortazavi, "13% were symptomatic (axillary lump with possible tenderness)." Meanwhile, the adenopathy was detected incidentally on screening breast imaging in 43% (mammography, 5; ultrasound, 2; both mammography and ultrasound, 1; high-risk screening MRI, 2) and on diagnostic imaging for other reasons in 43% (BI-RADS 3 follow-up for breast finding, 3; screening callback for other reason, 2; non-axillary breast pain or lump, 5). Noting that the median interval between the first vaccine dose and imaging showing the abnormal node was 9.5 days, Mortazavi's results counted a total of 57% of women with one abnormal node. BI-RADS 2 was assigned in one woman, BI-RADS 3 in 21 (ultrasound in 4-24 weeks), and BI-RADS 4 in one.

"The largest sample to our knowledge of COVID-19 vaccine associated axillary adenopathy on imaging," Mortazavi also wrote, "this study highlights axillary adenopathy ipsilateral to the vaccinated arm with Pfizer-BioNTech or Moderna COVID-19 vaccine as a potential reactive process with which radiologists must be familiar." Ultimately, vaccination date and laterality are critical to optimize assessment and management of imaging-detected axillary adenopathy in women with otherwise normal breast imaging.

###

Founded in 1900, the American Roentgen Ray Society (ARRS) is the first and oldest radiological society in North America, dedicated to the advancement of medicine through the profession of radiology and its allied sciences. An international forum for progress in medical imaging since the discovery of the x-ray, ARRS maintains its mission of improving health through a community committed to advancing knowledge and skills with an annual scientific meeting, monthly publication of the peer-reviewed American Journal of Roentgenology ( AJR ), quarterly issues of InPractice magazine, AJR Live Webinars and Podcasts, topical symposia, print and online educational materials, as well as awarding scholarships via The Roentgen Fund®.

American Journal of Roentgenology

10.2214/AJR.21.25651

Keywords

Article Information

Contact Information

Logan Young
lyoung@arrs.org

Source

How to Cite This Article

APA:
American Roentgen Ray Society. (2021, February 24). COVID-19 vaccination axillary adenopathy detected during breast imaging. Brightsurf News. https://www.brightsurf.com/news/L3R9J0Z8/covid-19-vaccination-axillary-adenopathy-detected-during-breast-imaging.html
MLA:
"COVID-19 vaccination axillary adenopathy detected during breast imaging." Brightsurf News, Feb. 24 2021, https://www.brightsurf.com/news/L3R9J0Z8/covid-19-vaccination-axillary-adenopathy-detected-during-breast-imaging.html.