Bluesky Facebook Reddit Email

Columbia engineers grow functional human cartilage in lab

04.30.14 | Columbia University School of Engineering and Applied Science

Rigol DP832 Triple-Output Bench Power Supply

Rigol DP832 Triple-Output Bench Power Supply powers sensors, microcontrollers, and test circuits with programmable rails and stable outputs.


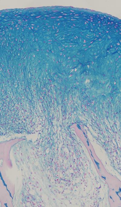
New York, NY—April 30, 2014—Researchers at Columbia Engineering announced today that they have successfully grown fully functional human cartilage in vitro from human stem cells derived from bone marrow tissue. Their study, which demonstrates new ways to better mimic the enormous complexity of tissue development, regeneration, and disease, is published in the April 28 Early Online edition of Proceedings of the National Academy of Sciences ( PNAS ).

"We've been able—for the first time—to generate fully functional human cartilage from mesenchymal stem cells by mimicking in vitro the developmental process of mesenchymal condensation," says Gordana Vunjak-Novakovic, who led the study and is the Mikati Foundation Professor of Biomedical Engineering at Columbia Engineering and professor of medical sciences. "This could have clinical impact, as this cartilage can be used to repair a cartilage defect, or in combination with bone in a composite graft grown in lab for more complex tissue reconstruction."

For more than 20 years, researchers have unofficially called cartilage the "official tissue of tissue engineering," Vunjak-Novakovic observes. Many groups studied cartilage as an apparently simple tissue: one single cell type, no blood vessels or nerves, a tissue built for bearing loads while protecting bone ends in the joints. While there has been great success in engineering pieces of cartilage using young animal cells, no one has, until now, been able to reproduce these results using adult human stem cells from bone marrow or fat, the most practical stem cell source. Vunjak-Novakovic's team succeeded in growing cartilage with physiologic architecture and strength by radically changing the tissue-engineering approach.

The general approach to cartilage tissue engineering has been to place cells into a hydrogel and culture them in the presence of nutrients and growth factors and sometimes also mechanical loading. But using this technique with adult human stem cells has invariably produced mechanically weak cartilage. So Vunjak-Novakovic and her team, who have had a longstanding interest in skeletal tissue engineering, wondered if a method resembling the normal development of the skeleton could lead to a higher quality of cartilage.

Sarindr Bhumiratana, postdoctoral fellow in Vunjak-Novakovic's Laboratory for Stem Cells and Tissue Engineering, came up with a new approach: inducing the mesenchymal stem cells to undergo a condensation stage as they do in the body before starting to make cartilage. He discovered that this simple but major departure from how things were usually being done resulted in a quality of human cartilage not seen before.

Gerard Ateshian, Andrew Walz Professor of Mechanical Engineering, professor of biomedical engineering, and chair of the Department of Mechanical Engineering, and his PhD student, Sevan Oungoulian, helped perform measurements showing that the lubricative property and compressive strength—the two important functional properties—of the tissue-engineered cartilage approached those of native cartilage. The researchers then used their method to regenerate large pieces of anatomically shaped and mechanically strong cartilage over the bone, and to repair defects in cartilage.

"Our whole approach to tissue engineering is biomimetic in nature, which means that our engineering designs are defined by biological principles," Vunjak-Novakovic notes. "This approach has been effective in improving the quality of many engineered tissues—from bone to heart. Still, we were really surprised to see that our cartilage, grown by mimicking some aspects of biological development, was as strong as 'normal' human cartilage."

The team plans next to test whether the engineered cartilage tissue maintains its structure and long-term function when implanted into a defect.

"This is a very exciting time for tissue engineers," says Vunjak-Novakovic. "Stem cells are transforming the future of medicine, offering ways to overcome some of the human body's fundamental limitations. We bioengineers are now working with stem cell scientists and clinicians to develop technologies that will make this dream possible. This project is a wonderful example that we need to 'think as a cell' to find out how exactly to coax the cells into making a functional human tissue of a specific kind. It's emblematic of the progress being driven by the exceptional young talent we have among our postdocs and students at Columbia Engineering."

The study was funded by the National Institutes of Health (National Institute for Biomedical Imaging and Bioengineering, National Institute for Dental and Craniofacial Research, and National Institute for Arthritis and Musculoskeletal Diseases).

Proceedings of the National Academy of Sciences

Keywords

Article Information

Contact Information

Holly Evarts
Columbia University School of Engineering and Applied Science
he2181@columbia.edu

How to Cite This Article

APA:
Columbia University School of Engineering and Applied Science. (2014, April 30). Columbia engineers grow functional human cartilage in lab. Brightsurf News. https://www.brightsurf.com/news/L3YGGR01/columbia-engineers-grow-functional-human-cartilage-in-lab.html
MLA:
"Columbia engineers grow functional human cartilage in lab." Brightsurf News, Apr. 30 2014, https://www.brightsurf.com/news/L3YGGR01/columbia-engineers-grow-functional-human-cartilage-in-lab.html.