Bluesky Facebook Reddit Email

Study explores impact of obesity on bone marrow cells

12.27.17 | Cincinnati Children's Hospital Medical Center

Rigol DP832 Triple-Output Bench Power Supply

Rigol DP832 Triple-Output Bench Power Supply powers sensors, microcontrollers, and test circuits with programmable rails and stable outputs.


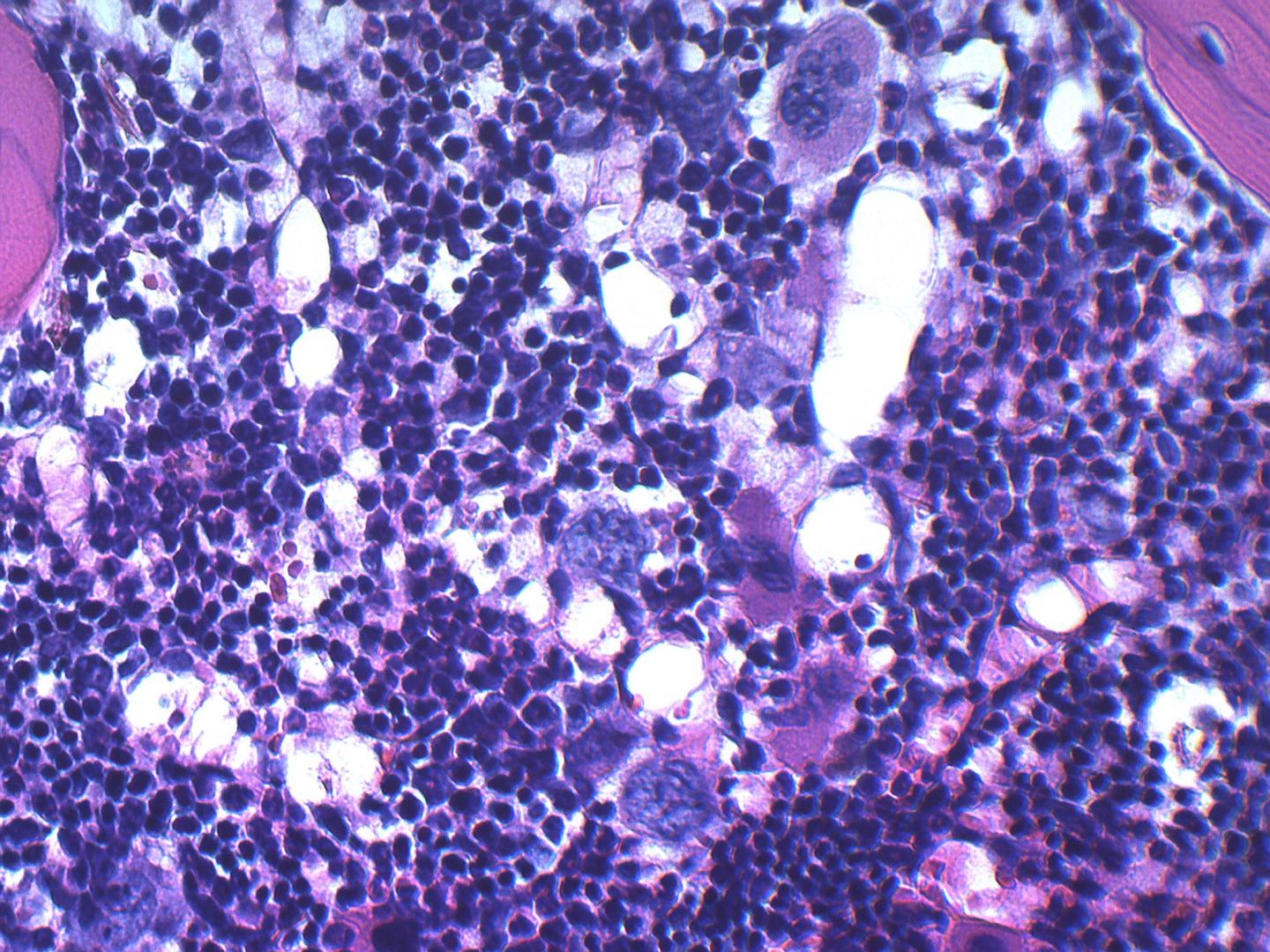
CINCINNATI -New research published in the Journal of Experimental Medicine highlights the pernicious effect of obesity on the long-term health of blood-making stem cells (hematopoietic stem cells).

Published Dec. 27, the study was led by researchers at the Cincinnati Children's Cancer and Blood Diseases Institute . Conducted largely in genetic models of obese mice, it shows obesity causes durable and harmful changes to the hematopoietic stem cell compartment - the blood-making factory in our bodies.

"There is now an understanding that the blood stem cell compartment is made up of numerous cell subsets," said Damien Reynaud, PhD , the study's principal investigator. "Keeping this compartment healthy is essential to human health. This includes maintaining the diverse pool of blood-making stem cells (hematopoietic stem cells) needed to produce blood cells the body needs to function properly."

Although still poorly understood, research is showing that age and environmental stresses can lessen the healthy diversity of cells in our blood-making machinery. This can include skewing blood cell formation toward myeloid cells and possibly promoting pre-leukemic fates, according to Reynaud and his collaborators.

Reynaud and collaborators, including first author and post-doctoral research fellow Jung-Mi Lee, show that obesity related stresses alter the cellular architecture of the hematopoietic stem cell compartment and reduce its long-term functional fitness. Tests in obese mice show these effects are progressive and that some of the harmful manifestations persist even after researchers normalize the animals' weight through dietary controls.

Mechanistically, Reynaud and colleagues report these alterations of the body's blood-making system appear to be linked to over-expression of a transcription factor called Gfi1 - a regulatory gene that tells other genes what to do. The researchers show that oxidative stresses in the body caused by obesity drive overexpression of Gfi1. When this happens, it produces a lasting alteration of hematopoietic stem cell compartment and molecular mayhem may ensues.

Looking at Lifestyle

Investigators say their study also provides groundwork to investigate how lifestyle choices, such as diet, can durably impact blood formation and may contribute to the development of blood cancer.

Hematopoietic stem cells are an important tool for treating leukemia and other blood diseases. The study raises questions about the use of hematopoietic stem cells isolated from obese people in therapeutic transplant procedures.

"Little is known about how obesity in marrow donors could affect the quality of the hematopoietic stem cell compartment," Reynaud explains. "We want to better understand the molecular alterations in obesity to predict potential risks associated with the therapeutic use of stem cells isolated from obese donors."

###

The study was funded in part by a Cincinnati Children's Hospital Medical Center Arnold W. Strauss Postdoctoral Fellowship Award to Dr. Lee; a Concern Foundation research award; the U.S. National Institutes of Health (R56 RHL131861A, R01HL122661) and a U.S. Department of Defense Peer Reviewed Cancer Research Program award (DOD#W81XWH-15-1-0344).

Journal of Experimental Medicine

10.1084/jem.20170690

Keywords

Article Information

Contact Information

How to Cite This Article

APA:
Cincinnati Children's Hospital Medical Center. (2017, December 27). Study explores impact of obesity on bone marrow cells. Brightsurf News. https://www.brightsurf.com/news/L763N2Z1/study-explores-impact-of-obesity-on-bone-marrow-cells.html
MLA:
"Study explores impact of obesity on bone marrow cells." Brightsurf News, Dec. 27 2017, https://www.brightsurf.com/news/L763N2Z1/study-explores-impact-of-obesity-on-bone-marrow-cells.html.