Bluesky Facebook Reddit Email

Technical adequacy of artificial intelligence body composition assessed in external CT

02.22.23 | American Roentgen Ray Society

CalDigit TS4 Thunderbolt 4 Dock

CalDigit TS4 Thunderbolt 4 Dock simplifies serious desks with 18 ports for high-speed storage, monitors, and instruments across Mac and PC setups.


Leesburg, VA, February 23, 2023 According to an accepted manuscript published in ARRS’ American Journal of Roentgenology ( AJR ) , certain reasons for AI tool failure relating to technical factors may be largely preventable through proper acquisition and reconstruction protocols.

“The automated AI body composition tools had high technical adequacy rates in a heterogeneous sample of external CT examinations, supporting the tools’ generalizability and potential for broad use,” concluded head researcher B. Dustin Pooler , MD, from the University of Wisconsin School of Medicine & Public Health in Madison.

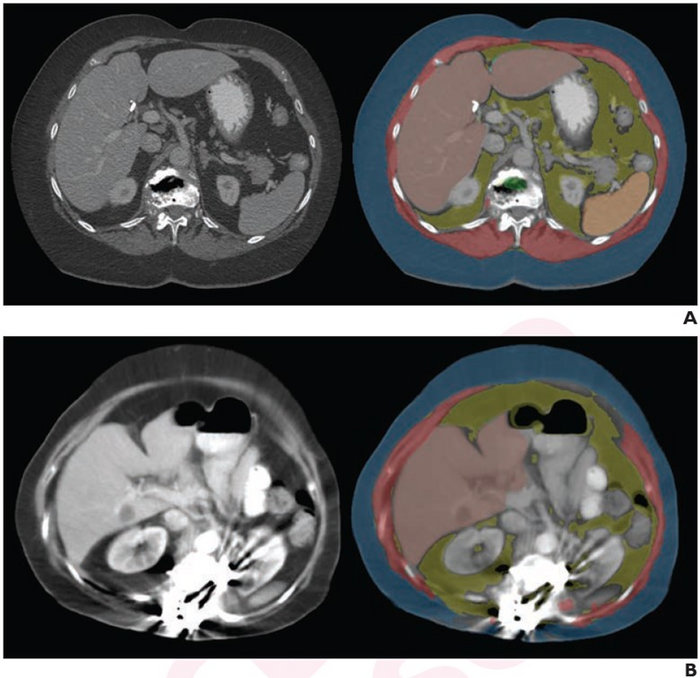
This AJR accepted manuscript included 8,949 patients (mean age, 55.5 years; 4,256 men, 4,693 women) who underwent abdominal CT—performed at different institutions on different scanners from different manufacturers—subsequently transferred to the local PACS for clinical purposes. Deploying three independent automated AI tools to assess body composition via bone attenuation, muscle amount and attenuation, as well as visceral and subcutaneous fat amounts, one axial series per examination was evaluated.

Ultimately, three fully automated AI tools for measuring body composition (vertebral bone, body wall musculature, and visceral and subcutaneous abdominal fat) had technical adequacy rates of 97.8%- 99.1% on Pooler et al.’s sample of 11,699 external abdominal CT examinations—performed at 777 different external institutions using 82 different scanner models from 6 different manufacturers.

Noting that reasons for failure also included factors inherent to patients that are more challenging to control, “explainability and an understanding of reasons for failure can help build trust in AI tools and increase acceptance among radiologists and other physicians,” the authors of this AJR accepted manuscript added .

North America’s first radiological society, the American Roentgen Ray Society (ARRS) remains dedicated to the advancement of medicine through the profession of medical imaging and its allied sciences. An international forum for progress in radiology since the discovery of the x-ray, ARRS maintains its mission of improving health through a community committed to advancing knowledge and skills with the world’s longest continuously published radiology journal— American Journal of Roentgenology —the ARRS Annual Meeting, InPractice magazine, topical symposia, myriad multimedia educational materials, as well as awarding scholarships via The Roentgen Fund ®.

MEDIA CONTACT :

Logan K. Young, PIO

44211 Slatestone Court

Leesburg, VA 20176

lyoung@arrs.org

American Journal of Roentgenology

10.2214/AJR.22.28745

Imaging analysis

People

Technical Adequacy of Fully Automated Artificial Intelligence Body Composition Tools: Assessment in a Heterogeneous Sample of External CT Examinations

22-Feb-2023

There are no competing interests or conflicts of interest for any author.

Keywords

Article Information

Contact Information

Logan Young
American Roentgen Ray Society
lyoung@arrs.org

How to Cite This Article

APA:
American Roentgen Ray Society. (2023, February 22). Technical adequacy of artificial intelligence body composition assessed in external CT. Brightsurf News. https://www.brightsurf.com/news/L7VGXZ08/technical-adequacy-of-artificial-intelligence-body-composition-assessed-in-external-ct.html
MLA:
"Technical adequacy of artificial intelligence body composition assessed in external CT." Brightsurf News, Feb. 22 2023, https://www.brightsurf.com/news/L7VGXZ08/technical-adequacy-of-artificial-intelligence-body-composition-assessed-in-external-ct.html.