Bluesky Facebook Reddit Email

Tiny change has big effects, reverses prediabetes in mice

07.04.19 | University of Utah Health

Apple AirPods Pro (2nd Generation, USB-C)

Apple AirPods Pro (2nd Generation, USB-C) provide clear calls and strong noise reduction for interviews, conferences, and noisy field environments.


A small chemical change — shifting the position of two hydrogen atoms — makes the difference between mice that are healthy and mice with insulin resistance and fatty liver, major risk factors for diabetes and heart disease. Making the change prevented the onset of these symptoms in mice fed a high-fat diet and reversed prediabetes in obese mice.

The scientists changed the trajectory of metabolic disease by deactivating an enzyme called dihydroceramide desaturase 1 (DES1). Doing so stopped the enzyme from removing the final hydrogens from a fatty lipid called ceramide, having an effect of lowering the total amount of ceramides in the body.

The finding highlights a role for ceramides in metabolic health and pinpoints DES1 as a “druggable” target that could be used to develop new therapies for metabolic disorders such as prediabetes, diabetes and heart disease — that affect the health of hundreds of millions of Americans. Scientists at University of Utah Health and Merck Research Laboratories led the research, published online in Science on July 4, 2019.

"We have identified a potential therapeutic strategy that is remarkably effective, and underscores how complex biological systems can be deeply affected by a subtle change in chemistry," says Scott Summers, Ph.D. , chair of Nutrition and Integrative Physiology at U of U Health, who was co-senior author on the study with David Kelley, M.D., formerly of Merck Research Laboratories.

"Our work shows that ceramides have an influential role in metabolic health," says Summers. "We're thinking of ceramides as the next cholesterol."

This isn't the first time that Summers' group has found that lowering ceramides could reverse signs of diabetes and metabolic disease. However, techniques used in previous experiments caused severe side effects, showing the approach would not be suitable for therapeutic applications.

This time, rather than taking a sledgehammer to the problem, they developed a fine scalpel. They wondered whether making the smallest change possible and at a precise time and place might yield better results.

To lower ceramides, the investigators blocked the final step of ceramide synthesis in two ways. Summers' group genetically engineered mice in which the gene coding for DES1 could be switched off during adulthood and deactivated the gene from tissues throughout the body, or alternatively from either liver or fat cells. Kelley's group injected short hairpin RNA into the adult liver, a method that selectively lowered production of DES1 by destroying the RNA precursor.

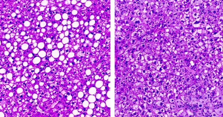
The scientists tested the new approaches first by placing adult mice on a high-fat diet - one that resembled cookie dough with plenty of sugar and six times the fat of a normal rodent diet. The mice gained two times their body weight within three months. Along with obesity came a strain on their metabolic health. They developed insulin resistance and fat accumulated in the liver, both signs of metabolic disease.

Within weeks after lowering ceramides using either technique, there were significant changes. Mice remained obese but their metabolic health improved. Fat cleared from the liver and they responded to both insulin and glucose like a healthy, skinny mouse. In contrast to previous interventions, mice remained healthy during the two-month investigation. Long-term effects on health are currently under investigation.

"Their weight didn't change but the way they handled nutrients did," says Summers. "The mice were fat but they were happy and healthy."

In another paradigm, lowering ceramides before putting the mice on a high-fat diet prevented weight gain and insulin resistance.

Although the impact of lowering ceramides in humans is still unknown, there is evidence that ceramides are linked to metabolic disease, says Summers. He points out that clinics are already performing ceramide screening tests to gauge an individual's risk for developing heart disease.

Summers and Kelley are now developing drugs that inhibit DES1 with a goal of making new therapeutics. "This project provides substantial validation that this is a discreet and highly effective point of intervention," says Kelley.

When the Good Goes Bad

If ceramides cause poor health, why do we have them in the first place? Summers' group addressed the question by measuring how the lipid affects metabolism. They found that ceramides trigger a number of mechanisms that promote the storage of fat in cells. They also impair cells' ability to use glucose, a type of sugar, as fuel.

The evidence for these effects includes activation of a molecular pathway, Akt/PKB, that inhibits both the ability of cells to synthesize sugars and to take them up from the bloodstream. At the same time, ceramides slow the turnover of fatty acids in part by causing cells in the liver to increase fatty acid storage and adipose tissue to burn less fat.

The shift in how cells use fuel is an advantage in the short-term, says Summers. This is because ceramides have another role in stiffening the cell membrane. Further, promoting fat storage increases production of ceramides. These data lead to a model suggesting that one benefit of ceramides is that they protect the cell. When food is plentiful and cells store lots of fat, the increase in ceramide levels strengthen the cells' outer membrane, preventing ruptures.

"Serving in this role is usually good but it can potentially be bad," explains Trevor Tippetts, a graduate student in Summers' lab. He, U of U Health research assistant professor Bhagirath Chaurasia, Ph.D., and two of their Merck colleagues, Rafael Mayoral Moñibas, Ph.D., and Jinqi Liu, Ph.D., share lead authorship.

Tippetts explains that problems arise in times of chronic overabundance, such as during obesity, when there are persistently high levels of ceramides. Summers' team speculate that sustained impairment of metabolic homeostasis leads to insulin resistance and fatty liver disease.

The results hint at ceramide's normal role. "We think that ceramides evolved to become a nutritional sensor," says Chaurasia. He says that ceramides serve as a signal, helping the body to cope when the amount of fat that is coming into cells is exceeding its energetic needs, and its storage capacity.

These findings are leading to a deep understanding of how cells in the body assess nutrient status and adapt accordingly. "To me, that's the really exciting result," Chaurasia says.

###

The research published as "Targeting a ceramide double bond improves insulin resistance and hepatic steatosis." in Science online on July 4, 2019, and was carried out as a collaboration between investigators at University of Utah Health, Merck Research Laboratories, Baker IDI Heart and Diabetes Institute, University of Brunei Darussalam, and SCIEX.

Researchers received support from the National Institutes of Health, American Diabetes Association, Juvenile Diabetes Research Foundation, American Heart Association, and the Margolis Foundation.

Summers and Kelley are shareholders and consultants with Centaurus Therapeutics.

About University of Utah Health

University of Utah Health provides leading-edge and compassionate medicine for a referral area that encompasses 10% of the U.S., including Idaho, Wyoming, Montana and much of Nevada. A hub for health sciences research and education in the region, U of U Health has a $356 million research enterprise and trains the majority of Utah's physicians and more than 1,250 health care providers each year at its Schools of Medicine and Dentistry and Colleges of Nursing, Pharmacy and Health. With more than 20,000 employees, the system includes 12 community clinics and four hospitals. For nine straight years, U of U Health has ranked among the top 10 U.S. academic medical centers in the rigorous Vizient Quality and Accountability Study, including reaching No. 1 in 2010 and 2016.

Science

10.1126/science.aav3722

Keywords

Article Information

Contact Information

Julie Kiefer
University of Utah Health
m_jkiefer_52414_2258_julie.kiefer@hsc.utah.edu

How to Cite This Article

APA:
University of Utah Health. (2019, July 4). Tiny change has big effects, reverses prediabetes in mice. Brightsurf News. https://www.brightsurf.com/news/LD57YKGL/tiny-change-has-big-effects-reverses-prediabetes-in-mice.html
MLA:
"Tiny change has big effects, reverses prediabetes in mice." Brightsurf News, Jul. 4 2019, https://www.brightsurf.com/news/LD57YKGL/tiny-change-has-big-effects-reverses-prediabetes-in-mice.html.