Bluesky Facebook Reddit Email

Positive oral CT contrast improves detection of malignant deposits in intraabdominal nonsolid organs

03.16.22 | American Roentgen Ray Society

SAMSUNG T9 Portable SSD 2TB

SAMSUNG T9 Portable SSD 2TB transfers large imagery and model outputs quickly between field laptops, lab workstations, and secure archives.


Leesburg, VA, March 16, 2022 According to ARRS’ American Journal of Roentgenology ( AJR ) , the selection of oral contrast agent and optimization of bowel preparation for oncologic CT could help avoid potentially severe clinical consequences of missed malignant deposits.

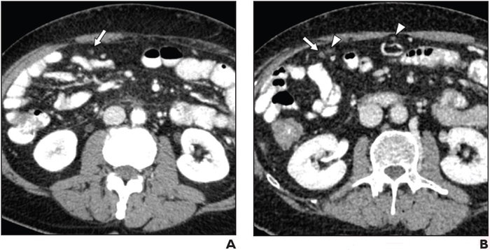
“CT has suboptimal NPV for malignant deposits in intraabdominal nonsolid organs,” wrote corresponding author Benjamin M. Yeh of the University of California, San Francisco. “Compared to neutral material, positive oral contrast material improves detection, particularly with adequate bowel filling.”

Yeh and team’s retrospective study included 265 patients (133 men, 132 women; median age, 61 years) who underwent an abdominopelvic CT examination where the report did not suggest presence of malignant deposits and subsequent CT examination within 6 months where the report indicated at least one unequivocal malignant deposit. Examinations used positive (iohexol; n=100) or neutral (water; n=165) oral agents. While reviewing images to assess visibility of deposits, a board-certified abdominal radiologist also assessed adequacy of bowel filling with oral contrast material.

NPV of CT for detection of malignant deposits in intraabdominal nonsolid organs was 65.8% for examinations using positive oral contrast material with adequate bowel filling, 45.2% for positive oral contrast material with inadequate bowel filling (p=.07), and 35.2% for neutral oral contrast material regardless of adequacy of bowel filling (p=.002).

“Results may differ when studying other types of contrast material regimens,” the authors of this AJR article noted , including barium-based, hyperosmolar iodine, sugar-alcohol neutral, or experimental dark oral agents.

An electronic supplement to this AJR article is available here .

North America’s first radiological society, the American Roentgen Ray Society (ARRS) remains dedicated to the advancement of medicine through the profession of medical imaging and its allied sciences. An international forum for progress in radiology since the discovery of the x-ray, ARRS maintains its mission of improving health through a community committed to advancing knowledge and skills with the world’s longest continuously published radiology journal— American Journal of Roentgenology —the ARRS Annual Meeting, InPractice magazine, topical symposia, myriad multimedia educational materials, as well as awarding scholarships via The Roentgen Fund ®.

MEDIA CONTACT :

Logan K. Young, PIO

44211 Slatestone Court

Leesburg, VA 20176

703-858-4332

lyoung@arrs.org

American Journal of Roentgenology

10.2214/AJR.21.27319

Observational study

People

Positive Versus Neutral Oral Contrast Material for Detection of Malignant Deposits in Intraabdominal Nonsolid Organs on CT

16-Mar-2022

Benjamin M. Yeh: Shareholder, Nextrast, Inc. Research grants: General Electric Healthcare, Philips Healthcare. Royalties: Oxford University Press, UCSF patents. Consultant: General Electric Healthcare, Canon Medical Systems. Speaker: General Electric Healthcare, Philips Healthcare, Canon Medical Systems.

Keywords

Article Information

Contact Information

Logan Young
American Roentgen Ray Society
lyoung@arrs.org

Source

How to Cite This Article

APA:
American Roentgen Ray Society. (2022, March 16). Positive oral CT contrast improves detection of malignant deposits in intraabdominal nonsolid organs. Brightsurf News. https://www.brightsurf.com/news/LKNQQDXL/positive-oral-ct-contrast-improves-detection-of-malignant-deposits-in-intraabdominal-nonsolid-organs.html
MLA:
"Positive oral CT contrast improves detection of malignant deposits in intraabdominal nonsolid organs." Brightsurf News, Mar. 16 2022, https://www.brightsurf.com/news/LKNQQDXL/positive-oral-ct-contrast-improves-detection-of-malignant-deposits-in-intraabdominal-nonsolid-organs.html.