Bluesky Facebook Reddit Email

Vitamin K supplement slows prostate cancer in mice

10.24.24 | Cold Spring Harbor Laboratory

Apple AirPods Pro (2nd Generation, USB-C)

Apple AirPods Pro (2nd Generation, USB-C) provide clear calls and strong noise reduction for interviews, conferences, and noisy field environments.


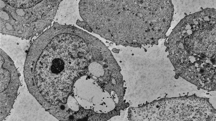
Prostate cancer is a quiet killer. In most men, it’s treatable. However, in some cases, it resists all known therapies and turns extremely deadly. A new discovery at Cold Spring Harbor Laboratory (CSHL) points to a potentially groundbreaking solution. CSHL Professor Lloyd Trotman ’s lab has found that the pro-oxidant supplement menadione slows prostate cancer progression in mice. The supplement is a precursor to vitamin K, commonly found in leafy greens. The story begins more than two decades ago.

In 2001, the National Cancer Institute’s SELECT trial sought to determine if an antioxidant vitamin E supplement could successfully treat or prevent prostate cancer. The trial involving 35,000 men was planned to last up to 12 years. However, after just three years, participants were told to stop taking their supplements. Not only had vitamin E failed to slow or prevent prostate cancer—more men taking the supplement started to get the disease. Seeing these results, Trotman thought, ‘If an antioxidant failed, maybe a pro-oxidant would work.’ His new findings in mice show just that.

When mice with prostate cancer are given menadione, it messes with the cancer’s survival processes. Trotman’s team has discovered that menadione kills prostate cancer cells by depleting a lipid called PI(3)P, which works like an ID tag. Without it, the cells stop recycling incoming materials and eventually explode.

“It’s like a transport hub, like JFK. If everything that goes in is immediately de-identified, nobody knows where the airplanes should go next. New stuff keeps coming in, and the hub starts to swell. This ultimately leads to the cell bursting," explains Trotman.

This causes the cancer’s progression to slow significantly in mice. Trotman now hopes to see the experiment translated to pilot studies in human prostate cancer patients:

“Our target group would be men who get biopsies and have an early form of the disease diagnosed. We wonder if they start to take the supplement, whether we would be able to slow that disease down.”

Amazingly, Trotman’s research suggests menadione may also prove effective against myotubular myopathy, a rare condition that prevents muscle growth in infant boys. Those diagnosed rarely live beyond early childhood. Trotman’s lab has found that depleting PI(3)P with menadione can double the lifespan of mice with this condition.

If the results hold up in humans, it would mean that men with prostate cancer can enjoy a better quality of life and more time with their families. It could also mean more precious time for children born with an incurable disease.

Science

10.1126/science.aadk9167

Dietary pro-oxidant therapy by a vitamin K precursor targets PI 3-Kinase VPS34 function

25-Oct-2024

Keywords

Article Information

Contact Information

Sara Giarnieri
Cold Spring Harbor Laboratory
giarnieri@cshl.edu

Source

How to Cite This Article

APA:
Cold Spring Harbor Laboratory. (2024, October 24). Vitamin K supplement slows prostate cancer in mice. Brightsurf News. https://www.brightsurf.com/news/LMJEPVEL/vitamin-k-supplement-slows-prostate-cancer-in-mice.html
MLA:
"Vitamin K supplement slows prostate cancer in mice." Brightsurf News, Oct. 24 2024, https://www.brightsurf.com/news/LMJEPVEL/vitamin-k-supplement-slows-prostate-cancer-in-mice.html.