Bluesky Facebook Reddit Email

'JAKing' up blood cancers, one cell at a time

10.06.14 | Rockefeller University Press

Davis Instruments Vantage Pro2 Weather Station

Davis Instruments Vantage Pro2 Weather Station offers research-grade local weather data for networked stations, campuses, and community observatories.


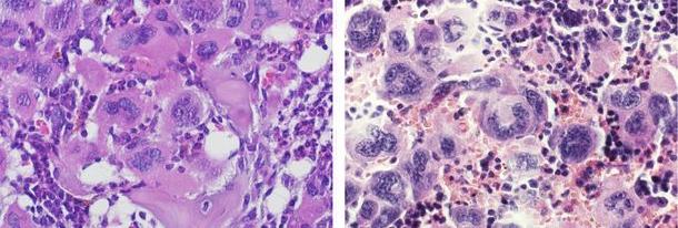
A solitary cell containing a unique abnormality can result in certain types of blood cancers known as myeloproliferative neoplasms (MPN), according to a study published in The Journal of Experimental Medicine .

MPNs are rare types of cancer where the bone marrow makes too many cells that clog up the works and thicken the blood, potentially causing bleeding problems, heart attack, or even stroke. In 80% of MPNs, there is a mutation in a protein called JAK2, an important molecule that triggers other proteins and facilitates many cellular functions. This is one altered protein, referred to as JAK2-V617F that—among others—appears to be responsible for causing cancer cells to propagate.

By taking a single blood-generating stem cell isolated from malignant MPNs and transplanting it into healthy mice, researchers in Switzerland show that this lone cell with the mutated JAK2 protein can develop into a full-blown MPN. The resulting MPNs, in turn, also bear the JAK2 mutation. In addition, this group of scientists showed that cells in the MPNs with JAK2-V617F have the ability to renew themselves and increase their numbers.

Attempts to recapitulate this type of single-cell MPN initiation in mice have not been successful in the past. The results from this study open up exciting new opportunities to examine single JAK2-V617F mutant cells and follow tumor initiation and progression of human MPN cancers.

###

Lundberg, P., et al. 2014. J. Exp. Med. doi:10.1084/jem.20131371

About The Journal of Experimental Medicine

The Journal of Experimental Medicine ( JEM ) is published by The Rockefeller University Press. All editorial decisions on manuscripts submitted are made by active scientists in conjunction with our in-house scientific editors. JEM content is posted to PubMed Central, where it is available to the public for free six months after publication. Authors retain copyright of their published works and third parties may reuse the content for non-commercial purposes under a creative commons license. For more information, please visit http://www.jem.org .

Research reported in the press release was supported by the Swiss National Science Foundation and the Swiss Cancer League.

Journal of Experimental Medicine

Keywords

Article Information

Contact Information

How to Cite This Article

APA:
Rockefeller University Press. (2014, October 6). 'JAKing' up blood cancers, one cell at a time. Brightsurf News. https://www.brightsurf.com/news/LNMG7WY1/jaking-up-blood-cancers-one-cell-at-a-time.html
MLA:
"'JAKing' up blood cancers, one cell at a time." Brightsurf News, Oct. 6 2014, https://www.brightsurf.com/news/LNMG7WY1/jaking-up-blood-cancers-one-cell-at-a-time.html.