Bluesky Facebook Reddit Email

Profiling approach to enable right lung cancer treatment match

05.05.15 | University of Manchester

Meta Quest 3 512GB

Meta Quest 3 512GB enables immersive mission planning, terrain rehearsal, and interactive STEM demos with high-resolution mixed-reality experiences.


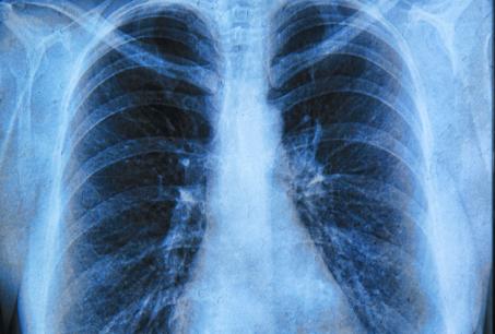
Manchester researchers have tested a new way to genetically profile lung cancer samples, potentially allowing doctors to more easily identify the most appropriate treatment for patients.

Non-small cell lung cancer (NSCLC) represents over 85% of lung cancer cases. The recent introduction of targeted therapies has led to improved patient survival, but only patients whose tumours have a specific genetic change are eligible for such treatments.

Identifying individual patients who may benefit from targeted therapy is becoming an essential part of treatment planning, but many current genetic analysis methods such as next generation sequencing require relatively large amounts of tumour material.

Dr Fiona Blackhall, a senior lecturer in The University of Manchester's Institute of Cancer Sciences and a consultant based at The Christie NHS Foundation Trust -- both part of the Manchester Cancer Research Centre -- said: "Unfortunately the biopsy samples we take from these patients are generally quite small. In this study we looked at an alternative genetic screen that utilises a much smaller tissue biopsy to see if it can detect a range of changes in 26 key genes."

The Lung Cancer research group working with the Manchester Centre for Genomic Medicine used the LungCarta platform to screen tumour samples from 90 NSCLC patients. They found that they could analyse over 95% of the samples and they detected genetic changes (mutations) that could be used for selection of treatment in around half of the biopsy samples.

"This type of genetic testing appears to be a clinically useful diagnostic screening test that can be used on small biopsy samples. This should allow us to better match lung cancer patients to the right treatment and we have now started to use this method of testing to identify suitable clinical trials for our patients," added Dr Blackhall.

Jonathan Bernstein, a co-author on the paper, said: "Delivery and effectiveness of chemotherapy appears to be better in tumours with higher blood flow. However, amongst those patients with lower measured tumour blood flow, more work is needed to determine those who will and won't respond."

###

Oral Oncology

Keywords

Article Information

Contact Information

How to Cite This Article

APA:
University of Manchester. (2015, May 5). Profiling approach to enable right lung cancer treatment match. Brightsurf News. https://www.brightsurf.com/news/LP24VPKL/profiling-approach-to-enable-right-lung-cancer-treatment-match.html
MLA:
"Profiling approach to enable right lung cancer treatment match." Brightsurf News, May. 5 2015, https://www.brightsurf.com/news/LP24VPKL/profiling-approach-to-enable-right-lung-cancer-treatment-match.html.