Bluesky Facebook Reddit Email

Chinese researchers detail chest CT findings in coronavirus disease (COVID-19) pneumonia

03.03.20 | American Roentgen Ray Society

Apple Watch Series 11 (GPS, 46mm)

Apple Watch Series 11 (GPS, 46mm) tracks health metrics and safety alerts during long observing sessions, fieldwork, and remote expeditions.


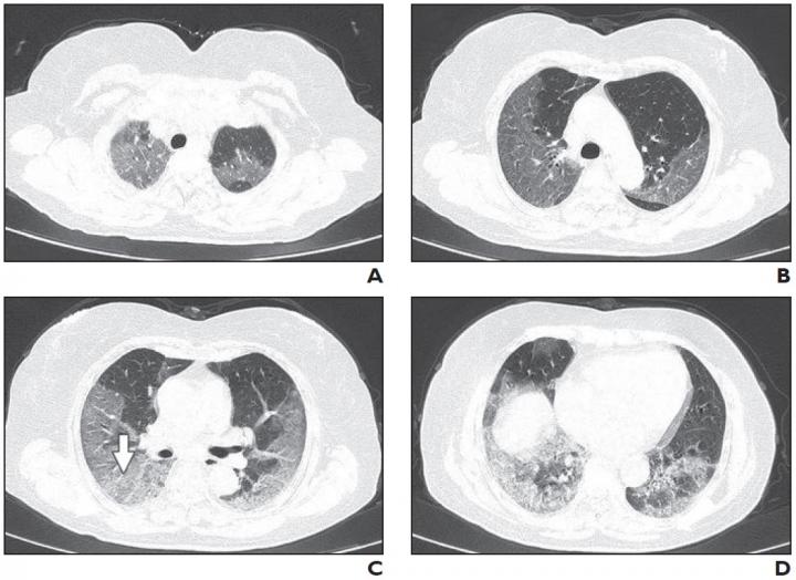
Leesburg, VA, March 3, 2020--A multi-center study (n=101) of the relationship between chest CT findings and the clinical conditions of coronavirus disease (COVID-19) pneumonia--published ahead-of-print and open-access in the American Journal of Roentgenology (AJR) --determined that most patients with COVID-19 pneumonia have ground-glass opacities (GGO) (86.1%) or mixed GGO and consolidation (64.4%) and vascular enlargement in the lesion (71.3%).

In addition, lead authors Wei Zhao, Zheng Zhong, and colleagues revealed that lesions present on CT images were more likely to have peripheral distribution (87.1%) and bilateral involvement (82.2%) and be lower lung predominant (54.5%) and multifocal (54.5%).

Zhao, Zhong, et al. collected their 101 cases of COVID-19 pneumonia across four institutions in China's Hunan province, comparing clinical characteristics and imaging features between two groups: nonemergency (mild or common disease) and emergency (severe or fatal disease).

Accordingly, most of the cohort (70.2%) were 21-50 years old, and most patients (78.2%) had fever as the onset symptom. Only five patients showed disease associated with a family outbreak.

While the emergency group patients were older than the patients in the nonemergency group, the rate of underlying disease was not significantly different in the two groups--suggesting that viral load could be a better reflection of the severity and extent of COVID-19 pneumonia.

As Zhao and Zhong explained further: "Architectural distortion, traction bronchiectasis, and pleural effusions, which may reflect the viral load and virulence of COVID-19, were statistically different between the two groups and may help us to identify the emergency type disease."

The authors of this AJR article also noted that CT involvement score can help evaluate the severity and extent of COVID-19 pneumonia.

###

Founded in 1900, the American Roentgen Ray Society (ARRS) is the first and oldest radiological society in North America, dedicated to the advancement of medicine through the profession of radiology and its allied sciences. An international forum for progress in medical imaging since the discovery of the x-ray, ARRS maintains its mission of improving health through a community committed to advancing knowledge and skills with an annual scientific meeting, monthly publication of the peer-reviewed American Journal of Roentgenology (AJR) , quarterly issues of InPractice magazine, AJR Live Webinars and Podcasts, topical symposia, print and online educational materials, as well as awarding scholarships via The Roentgen Fund®.

American Journal of Roentgenology

10.2214/AJR.20.22976

Keywords

Article Information

Contact Information

Logan Young
American Roentgen Ray Society
lyoung@arrs.org

Source

How to Cite This Article

APA:
American Roentgen Ray Society. (2020, March 3). Chinese researchers detail chest CT findings in coronavirus disease (COVID-19) pneumonia. Brightsurf News. https://www.brightsurf.com/news/LPE6MXV8/chinese-researchers-detail-chest-ct-findings-in-coronavirus-disease-covid-19-pneumonia.html
MLA:
"Chinese researchers detail chest CT findings in coronavirus disease (COVID-19) pneumonia." Brightsurf News, Mar. 3 2020, https://www.brightsurf.com/news/LPE6MXV8/chinese-researchers-detail-chest-ct-findings-in-coronavirus-disease-covid-19-pneumonia.html.