Bluesky Facebook Reddit Email

High-tech CT scans: not a bad choice to test for clogged arteries

11.05.07 | Johns Hopkins Medicine

Sony Alpha a7 IV (Body Only)

Sony Alpha a7 IV (Body Only) delivers reliable low-light performance and rugged build for astrophotography, lab documentation, and field expeditions.


A study by an international team of cardiac imaging specialists, led by researchers at Johns Hopkins, concludes that sophisticated computed tomography (CT) scans of the heart and its surrounding arteries are almost as reliable and accurate as more invasive procedures to check for blockages.

Researchers say the newer, 64-slice CT scans, first introduced in the United States in 2005 and initially tested at Hopkins, won’t replace the need for inspecting arteries by cardiac catheterization, also known as coronary angiography, but the scans will help cardiologists more quickly rule out those who can skip the more invasive procedures. Studies suggest that as much as 25 percent of the 1.3 million cardiac catheterizations performed each year in the United States may be unnecessary.

The latest study also showed that early detection with 64-CT is a good predictor of who will need angioplasty or coronary bypass surgery to open up new blood supply routes to the heart.

Results showed that on average 91 percent of patients with blockages were detected by 64-CT and that the scans were able to diagnose 83 percent of patients without blockages. This reliability, researchers say, allows them to accurately identify patients who need angioplasty or bypass surgery. More than a quarter million Americans undergo coronary bypass surgery each year.

In the study, investigators selected 291 men and women over the age of 40 who were already scheduled to have cardiac catheterization to check for blocked arteries. Each underwent a 64-CT scan prior to catheterization. Participants were then monitored through regular check-ups to identify who developed or did not develop coronary artery disease and who required subsequent bypass surgery or did not need surgery.

After the first year of monitoring, to continue annually until 2009, researchers found that results from 64-CT scans matched up 90 percent of the time with results from invasive catheterization in detecting patients with blockages.

In other measures, researchers found that 64-CT scans were 83 percent to 90 percent accurate, while tests using older, 16-CT scans were in some instances only 20 percent to 30 percent as precise.

“This study is the first step to realizing the full potential of CT imaging in predicting coronary artery disease, and these scans complement the arsenal of diagnostic tests available to physicians to prevent heart attacks,” says cardiologist Julie Miller, M.D., who led the study at Hopkins.

The new study also suggests that the new scanners, four times quicker than the more widely used 16-CT, may be a good alternative to cardiac stress testing, which evaluates heart function by measuring the effects of hard exercising. Exercise stress testing generally cannot safely be performed on the weak and elderly.

“Use of 64-CT scans will dramatically improve our ability to detect and treat people with suspected coronary disease and chest pain much earlier in their disease,” says cardiologist João Lima, M.D., senior investigator to the team whose findings will be presented Nov. 5 at the American Heart Association’s (AHA) annual Scientific Sessions in Orlando, Fla. “Cardiac catheterization is still the gold standard for evaluating clogged arteries, but our results show that this test could easily be the best backup or alternative.”

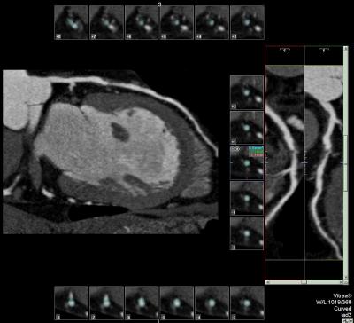
In cardiac catheterization, a thin tube is threaded into a blood vessel in the groin area to the heart’s arteries, where a dye is released to produce a clear X-ray image of the beating heart and its arterial blood supply. In CT imaging, computer-driven machinery passes X-rays through the body, producing digitized signals or “slices” that are detected and reconstructed for a precise picture.

Blocked arteries are the most frequent trigger of heart attack, says Lima, an associate professor of medicine and radiology at The Johns Hopkins University School of Medicine and its Heart Institute. The latest estimates from the AHA show that one in five deaths in the United States each year is due to coronary heart disease (653,000 deaths in 2004), including 157,000 who die from heart attack.

Miller, an assistant professor at Hopkins, says the advanced scanners are so good that physicians can for the first time measure blockages in blood vessels as small as 1.5 millimeters in diameter. Older 16-CT scanners, she says, are best suited for looking inside bigger arteries, those ranging in diameter from 2 millimeters to 4.5 millimeters, and to calculate the amount of calcium buildup in the arteries, also a predictor of the degree of blockage, “but now we have a more-advanced test that actually measures the amount and volume of blockage present.”

She says older scanners were not as powerful, either, unable to image as much as 25 percent of the smaller blood vessels that branch out from the heart’s main arteries. However, the 64-CT scanner picks up as much as 98 percent of the heart’s arterial network (and lacks good images for only 2 percent.)

Miller points out that early detection of blockages is critical to pre-empting a heart attack, allowing time for drug therapy, angioplasty or heart bypass surgery to be used to keep arteries open. In coronary artery disease, hardened bits of fat and dead tissue, called plaque, build up along the inside wall of the blood vessels, impeding the body’s natural blood flow and leaving the narrowed opening more vulnerable to formation of blood clots.

The advanced CT scanners, she says, produce pictures within five to 10 seconds, while cardiac catheterization, which also checks the function of heart valves and muscle, takes between 30 minutes and 45 minutes to perform, and requires almost an hour for recovery. Potential complications from the invasive procedure include infection, heart attack and stroke, but they are rare.

“And we no longer need to wait until a patient is stabilized before performing this diagnostic test, as no anesthetic is needed for CT scanning,” says Miller.

According to researchers, nearly 5,000 64-CT scanners are installed worldwide, and about four-fifths of the centers are equipped to perform and read cardiac CTs. Miller notes that special training and certification are required by technicians and physicians to accurately perform, interpret and read the scanned images. The American Heart Association and the American College of Cardiology Foundation in 2005 jointly established training guidelines.

The CT scanner used in the study was an Aquilion 64 CFX multislice CT scanner, manufactured by Toshiba. Similar devices also are manufactured by Siemens and General Electric. Each machine costs between $1.5 million and $2 million. A single test costs approximately $700.

Toshiba also provided funding support for the study, called CORE-64, short for Coronary Artery Evaluation using 64-row Multidetector Computed Tomography.

In CT imaging, each X-ray measurement lasts just a fraction of a second and represents a “slice” of an organ or tissue. The greater the number of detectors - the device being used in this study has a total of 64 - the better the picture resolution. A computer then uses these slices to reconstruct highly detailed, 3-D images of the heart and surrounding arteries. In cardiac imaging, a patient is injected with a contrast solution to increase the visual detail.

Besides Lima and Miller, other Hopkins researchers involved in this study were Armin Zadeh, M.D.; Ilan Gottlieb, M.D.: Edward Shapiro, M.D.: Albert Lardo, Ph.D.; David Bush, M.D.; Christopher Cox, Ph.D.; and Jeffrey Brinker, M.D. Additional investigators included Carolos E. Rochitte, from the University of Sao Paolo in Brazil; Marc Dewey, from Humbolt University in Charite, Germany; Hiroyuki Niinuma, from Iwate Medical University in Japan; Narinder Paul, from the University of Toronto in Canada; Melvin Clouse, from Beth Israel Deaconess Hospital in Boston, Mass.; John Hoe, from Mount Elizabeth Hospital of Singapore; and Albert de Roos, from Leiden University in the Netherlands.

(Presentation title: Coronary artery evaluation using 64-row, multidetector computed tomography angiography (CORE-64), results of a multicenter trial to assess the diagnostic accuracy and predictive ability compared with conventional angiography.)

Note to Broadcasters: A video news release is also available.
Distribution time: 2:30 p.m. to 2:45 p.m. ET, Friday, Nov. 2, 2007
Via Satellite: Galaxy 25, C-band; Transponder: 14 H, channel 14, audio channels 6.2 and 6.8; Downlink frequency: 3980 Mhz
Contact at DWJ: Daniel Johnson, 1-800-766-1711 ext 212
Pathfire Information: This story is available on Pathfire DMG. Click on “binoculars,” select “advanced search tab,” highlight “DWJ archive,” use keywords HEART SCAN

(Late-Breaking Clinical Trials II, Plenary Session 03, West Hall D2, Orange County Convention Center)

Keywords

Contact Information

David March
dmarch1@jhmi.edu

How to Cite This Article

APA:
Johns Hopkins Medicine. (2007, November 5). High-tech CT scans: not a bad choice to test for clogged arteries. Brightsurf News. https://www.brightsurf.com/news/LQM9KR61/high-tech-ct-scans-not-a-bad-choice-to-test-for-clogged-arteries.html
MLA:
"High-tech CT scans: not a bad choice to test for clogged arteries." Brightsurf News, Nov. 5 2007, https://www.brightsurf.com/news/LQM9KR61/high-tech-ct-scans-not-a-bad-choice-to-test-for-clogged-arteries.html.