Bluesky Facebook Reddit Email

Immune cells that fight obesity

11.02.15 | Weizmann Institute of Science

Fluke 87V Industrial Digital Multimeter

Fluke 87V Industrial Digital Multimeter is a trusted meter for precise measurements during instrument integration, repairs, and field diagnostics.


We tend to think of the immune system as guarding us against bacteria, viruses and assorted foreign invaders, but this system has some other surprising roles. Weizmann Institute researchers have now identified a small subtype of immune cells that appears to prevent metabolic syndrome: obesity, high blood pressure, and high levels of blood sugar and cholesterol.

Past studies have shown that the immune system plays a role in obesity, but those studies were performed on mice deliberately fed a high-fat diet. The new Weizmann study, published recently in Immunity , was performed on mice fed a regular diet. It showed that immunological mechanisms can play a role in obesity and the other components of metabolic syndrome without any connection to dietary fat.

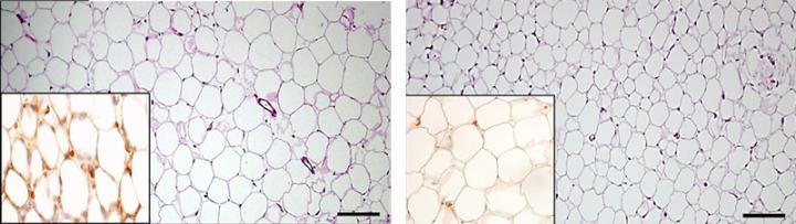
The study originally focused on dendritic cells, cells that serve as the immune system's sentinels, alerting other immune mechanisms to various dangers. The emphasis was on a rare subtype of dendritic cells possessing a killing protein called perforin that enables them to eliminate other cells on demand. To reveal the function of these cells in the body, researchers headed by Prof. Yair Reisner of the Immunology Department created mice that lacked perforin-rich dendritic cells. To their surprise, the scientists discovered that these mice became overweight and then developed symptoms of metabolic syndrome.

Investigating these mice further, the researchers found that their fat tissue had abnormally high levels of inflammation-causing immune T cells. When these cells were removed from the fat tissue of the mice lacking perforin-rich dendritic cells, the mice did not grow obese. These findings suggest that perforin-rich dendritic cells regulate the levels of certain T cells, and by keeping these T cells in check, they apparently prevent metabolic syndrome.

In addition to providing new insights into metabolic syndrome, the study may also shed new light on autoimmunity: the mice lacking perforin-rich dendritic cells were more prone than usual to develop an autoimmune disease equivalent to multiple sclerosis in humans. It now remains to be investigated whether patients with autoimmune disease lack these regulatory cells.

###

The study was performed by members of Reisner's team, in collaboration with Institute colleagues, all of whom are from the Immunology Department: Dr. Yael Zlotnikov-Klionsky, Bar Nathansohn-Levi, Dr. Elias Shezen, Dr. Chava Rosen, Dr. Sivan Kagan, Dr. Liat Bar-On, Prof. Steffen Jung, Dr. Eric Shifrut, Dr. Shlomit Reich-Zeliger, Dr. Nir Friedman, Dr. Rina Aharoni, Prof. Ruth Arnon, Oren Yifa and Dr. Anna Aronovich.

Prof. Yair Reisner's research is supported by the Leona M. and Harry B. Helmsley Charitable Trust; the Steven and Beverly Rubenstein Charitable Foundation; and Roberto and Renata Ruhman, Brazil. Prof. Reisner is the incumbent of the Henry H. Drake Professorial Chair of Immunology.

The Weizmann Institute of Science in Rehovot, Israel, is one of the world's top-ranking multidisciplinary research institutions. Noted for its wide-ranging exploration of the natural and exact sciences, the Institute is home to scientists, students, technicians and supporting staff. Institute research efforts include the search for new ways of fighting disease and hunger, examining leading questions in mathematics and computer science, probing the physics of matter and the universe, creating novel materials and developing new strategies for protecting the environment.

Immunity

Keywords

Article Information

Contact Information

Source

How to Cite This Article

APA:
Weizmann Institute of Science. (2015, November 2). Immune cells that fight obesity. Brightsurf News. https://www.brightsurf.com/news/LVW4VPN8/immune-cells-that-fight-obesity.html
MLA:
"Immune cells that fight obesity." Brightsurf News, Nov. 2 2015, https://www.brightsurf.com/news/LVW4VPN8/immune-cells-that-fight-obesity.html.