Bluesky Facebook Reddit Email

Adults stop anti-rejection drugs after stem-cell transplant reverses sickle cell disease

07.01.14 | NIH/National Institute of Diabetes and Digestive and Kidney Diseases

Garmin GPSMAP 67i with inReach

Garmin GPSMAP 67i with inReach provides rugged GNSS navigation, satellite messaging, and SOS for backcountry geology and climate field teams.


Adults stop anti-rejection drugs after stem-cell transplant reverses sickle cell disease NIH trial success suggests a new treatment option for older, sicker patients

Half of patients in a trial have safely stopped immunosuppressant medication following a modified blood stem-cell transplant for severe sickle cell disease, according to a study in the July 1 issue of the Journal of the American Medical Association . The trial was conducted at the National Institutes of Health's Clinical Center in Bethesda, Maryland, by researchers from NIH's National Institute of Diabetes and Digestive and Kidney Diseases (NIDDK) and the National Heart, Lung, and Blood Institute.

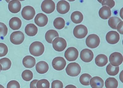
The transplant done in the study reversed sickle cell disease in nearly all the patients. Despite having both donor stem-cells and their own cells in their blood, the patients stopped the immunosuppressant medication without experiencing rejection or graft-versus-host disease, in which donor cells attack the recipient. Both are common, serious side effects of transplants.

"Typically, stem-cell recipients must take immunosuppressants all their lives," said Matthew Hsieh, M.D., lead author on the paper and staff clinician at NIH. "That the patients who discontinued this medication were able to do so safely points to the stability of the partial transplant regimen."

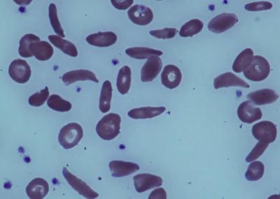
In sickle cell disease (SCD) sickle-shaped cells block blood flow. It can cause severe pain, organ damage and stroke. The only cure is a blood stem-cell, or bone marrow, transplant. The partial transplant performed in the study is much less toxic than the standard "full" transplant, which uses high doses of chemotherapy to kill all of the patient's marrow before replacing it with donor marrow. Several patients in the study had less than half of their marrow replaced.

Immunosuppressant medication reduces immune system strength and can cause serious side effects such as infection and joint swelling. In this study, 15 of 30 adults stopped taking the medication under careful supervision one year after transplant and still had not experienced rejection or graft-versus-host disease at a median follow up of 3.4 years.

"Side effects caused by immunosuppressants can endanger patients already weakened by years of organ damage from sickle cell disease," said John F. Tisdale, M.D., the paper's senior author and a senior investigator at NIH. "Not having to permanently rely on this medication, along with use of the relatively less-toxic partial stem-cell transplant, means that even older patients and those with severe sickle cell disease may be able to reverse their condition."

"One of the most debilitating effects of sickle cell disease is the often relentless pain," added Dr. Hsieh. "Following the transplant, we saw a significant decrease in hospitalizations and narcotics to control that pain."

The partial transplant used donor stem-cells from healthy siblings. It effectively reversed SCD in 26 of 30 patients and allowed them to achieve stable mixed donor chimerism, a condition in which a person has two genetically distinct cell types in the blood. The study includes patients from an NIH study reported in 2009, in which partial stem-cell transplants reversed SCD in 9 of 10 people.

In the United States, more than 90,000 people have SCD, a genetic disorder found mainly in people of African ancestry. Worldwide, millions of people have the disease.

"The devastating complications associated with sickle cell disease can deeply affect quality of life, ability to work and long-term well-being," said NIDDK Director Griffin P. Rodgers, M.D., a co-author on the paper. "This study represents an important advance in our efforts to make a potentially transformative treatment available to a wider range of people, especially those who could not tolerate a standard stem-cell transplant or long-term use of immunosuppressants."

People with sickle cell disease interested in joining NIH blood stem-cell transplant studies may call 1-800-411-1222 or visit http://www.clinicaltrials.gov for more information.

The NIDDK, part of the NIH, conducts and supports basic and clinical research and research training on some of the most common, severe and disabling conditions affecting Americans. The institute's research interests include: diabetes and other endocrine and metabolic diseases; digestive diseases, nutrition, and obesity; and kidney, urologic and hematologic diseases. For more information, visit http://www.niddk.nih.gov .

Part of the NIH, the National Heart, Lung, and Blood Institute (NHLBI) plans, conducts, and supports research related to the causes, prevention, diagnosis, and treatment of heart, blood vessel, lung, and blood diseases; and sleep disorders. The institute also administers national health education campaigns on women and heart disease, healthy weight for children, and other topics. NHLBI news releases and other materials are available online at: http://www.nhlbi.nih.gov .

The NIH Clinical Center (CC) provided clinical laboratory and transfusion medicine support and care for stem-cell donors and recipients. The CC is the clinical research hospital for the NIH. Through clinical research, physician-investigators translate laboratory discoveries into better treatments, therapies and interventions to improve the nation's health. For more information, visit http://clinicalcenter.nih.gov .

The Sidney Kimmel Cancer Center at Johns Hopkins Medical Institute provided input into trial design.

About the National Institutes of Health (NIH): NIH, the nation's medical research agency, includes 27 institutes and centers and is a component of the U.S. Department of Health and Human Services. NIH is the primary federal agency conducting and supporting basic, clinical, and translational medical research, and is investigating the causes, treatments, and cures for both common and rare diseases. For more information about NIH and its programs, visit http://www.nih.gov .

NIH…Turning Discovery Into Health

More information on sickle cell disease is available at:

http://www.nhlbi.nih.gov/health/dci/Diseases/Sca/SCA_WhatIs.html and

http://diabetes.niddk.nih.gov/dm/pubs/hemovari-A1C/ .

JAMA

Keywords

Article Information

Contact Information

How to Cite This Article

APA:
NIH/National Institute of Diabetes and Digestive and Kidney Diseases. (2014, July 1). Adults stop anti-rejection drugs after stem-cell transplant reverses sickle cell disease. Brightsurf News. https://www.brightsurf.com/news/LVWEP6Y8/adults-stop-anti-rejection-drugs-after-stem-cell-transplant-reverses-sickle-cell-disease.html
MLA:
"Adults stop anti-rejection drugs after stem-cell transplant reverses sickle cell disease." Brightsurf News, Jul. 1 2014, https://www.brightsurf.com/news/LVWEP6Y8/adults-stop-anti-rejection-drugs-after-stem-cell-transplant-reverses-sickle-cell-disease.html.