Bluesky Facebook Reddit Email

Meniscus regenerated with 3-D printed implant

12.10.14 | Columbia University Irving Medical Center

Kestrel 3000 Pocket Weather Meter

Kestrel 3000 Pocket Weather Meter measures wind, temperature, and humidity in real time for site assessments, aviation checks, and safety briefings.


NEW YORK, NY (December 10, 2014)--Columbia University Medical Center researchers have devised a way to replace the knee's protective lining, called the meniscus, using a personalized 3D-printed implant, or scaffold, infused with human growth factors that prompt the body to regenerate the lining on its own. The therapy, successfully tested in sheep, could provide the first effective and long-lasting repair of damaged menisci, which occur in millions of Americans each year and can lead to debilitating arthritis. The paper was published today in the online edition of Science Translational Medicine .

"At present, there's little that orthopedists can do to regenerate a torn knee meniscus," said study leader Jeremy Mao, DDS, PhD, the Edwin S. Robinson Professor of Dentistry (in Orthopedic Surgery) at the Medical Center. "Some small tears can be sewn back in place, but larger tears have to be surgically removed. While removal helps reduce pain and swelling, it leaves the knee without the natural shock absorber between the femur and tibia, which greatly increases the risk of arthritis."

A damaged meniscus can be replaced with a meniscal transplant, using tissue from other parts of the body or from cadavers. That procedure, however, has a low success rate and carries significant risks. Approximately one million meniscus surgeries are performed in the United States each year.

Dr. Mao's approach starts with MRI scans of the intact meniscus in the undamaged knee. The scans are converted into a 3D image. Data from the image are then used to drive a 3D printer, which produces a scaffold in the exact shape of the meniscus, down to a resolution of 10 microns (less than the width of a human hair). The scaffold, which takes about 30 minutes to print, is made of polycaprolactone, a biodegradable polymer that is also used to make surgical sutures.

The scaffold is infused with two recombinant human proteins: connective growth factor (CTGF) and transforming growth factor β3 (TGFβ3). Dr. Mao's team found that sequential delivery of these two proteins attracts existing stem cells from the body and induces them to form meniscal tissue.

For a meniscus to properly form, however, the proteins must be released in specific areas of the scaffold in a specific order. This is accomplished by encapsulating the proteins in two types of slow-dissolving polymeric microspheres, first releasing CTGF (to stimulate production of the outer meniscus) and then TGFβ3 (to stimulate production of the inner meniscus). Finally, the protein-infused scaffold is inserted into the knee. In sheep, the meniscus regenerates in about four to six weeks. Eventually, the scaffold dissolves and is eliminated by the body.

"This is a departure from classic tissue engineering, in which stems cells are harvested from the body, manipulated in the laboratory, and then returned to the patient--an approach that has met with limited success," said Dr. Mao. "In contrast, we're jumpstarting the process within the body, using factors that promote endogenous stem cells for tissue regeneration."

"This research, although preliminary, demonstrates the potential for an innovative approach to meniscus regeneration," said co-author Scott Rodeo, MD, sports medicine orthopedic surgeon and researcher at Hospital for Special Surgery in New York City. "This would potentially be applicable to the many patients who undergo meniscus removal each year."

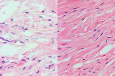
The process was tested in 11 sheep (whose knee closely resembles that of humans). The animals were randomized to have part of their knee meniscus replaced with a protein-infused 3D scaffold (the treatment group) or a 3D scaffold without protein (the nontreatment group). After three months, treated animals were walking normally. In a postmortem analysis, the researchers found that the regenerated meniscus in the treatment group had structural and mechanical properties very similar to those of natural meniscus. They are now conducting studies to determine whether the regenerated tissue is long-lasting.

"We envision that personalized meniscus scaffolds, from initial MRI to 3D printing, could be completed within days," said Dr. Mao. The personalized scaffolds will then be shipped to clinics and hospitals within a week. The researchers hope to begin clinical trials once funding is in place.

"These studies provide clinically valuable information on the use of meniscal regeneration in the knees of patients with torn or degenerate menisci," said co-author Lisa Ann Fortier, DVM, professor of large animal surgery at Cornell University College of Veterinary Medicine in Ithaca, N.Y. "As a veterinary orthopedic surgeon-scientist on this multi-disciplinary team, I foresee the added bonus of having new techniques for treating veterinary patients with torn knee meniscus."

###

The article is titled, "Protein-Releasing Polymeric Scaffolds Induce Fibrochondrocytic Differentiation of Endogenous Cells for Knee Meniscus Regeneration in Sheep." The other contributors are Chang H. Lee, Chuanyong Lu, and Cevat Erisken, all at CUMC. Scott Rodeo of the Hospital for Special Surgery and Lisa Fortier of Cornell University are two significant collaborators. The authors declare no financial or other conflicts of interest.

Video:

The study was funded by grants from the National Institutes of Health (AR065023 and EB009663) jointly to Jeremy Mao, Scott Rodeo, and Lisa Fortier; the Arthroscopy Association of North America; the American Orthopaedic Society for Sports Medicine; and the Harry M. Zweig Foundation.

Columbia University Medical Center provides international leadership in basic, preclinical, and clinical research; medical and health sciences education; and patient care. The medical center trains future leaders and includes the dedicated work of many physicians, scientists, public health professionals, dentists, and nurses at the College of Physicians and Surgeons, the Mailman School of Public Health, the College of Dental Medicine, the School of Nursing, the biomedical departments of the Graduate School of Arts and Sciences, and allied research centers and institutions. Columbia University Medical Center is home to the largest medical research enterprise in New York City and State and one of the largest faculty medical practices in the Northeast. For more information, visit cumc.columbia.edu or columbiadoctors.org .

Science Translational Medicine

Keywords

Article Information

Contact Information

Karin Eskenazi
Columbia University Irving Medical Center
ket2116@columbia.edu

Source

How to Cite This Article

APA:
Columbia University Irving Medical Center. (2014, December 10). Meniscus regenerated with 3-D printed implant. Brightsurf News. https://www.brightsurf.com/news/LVWJJ5E8/meniscus-regenerated-with-3-d-printed-implant.html
MLA:
"Meniscus regenerated with 3-D printed implant." Brightsurf News, Dec. 10 2014, https://www.brightsurf.com/news/LVWJJ5E8/meniscus-regenerated-with-3-d-printed-implant.html.