Bluesky Facebook Reddit Email

Research suggests vapers are vulnerable to pneumonia

02.07.18 | European Respiratory Society

SAMSUNG T9 Portable SSD 2TB

SAMSUNG T9 Portable SSD 2TB transfers large imagery and model outputs quickly between field laptops, lab workstations, and secure archives.


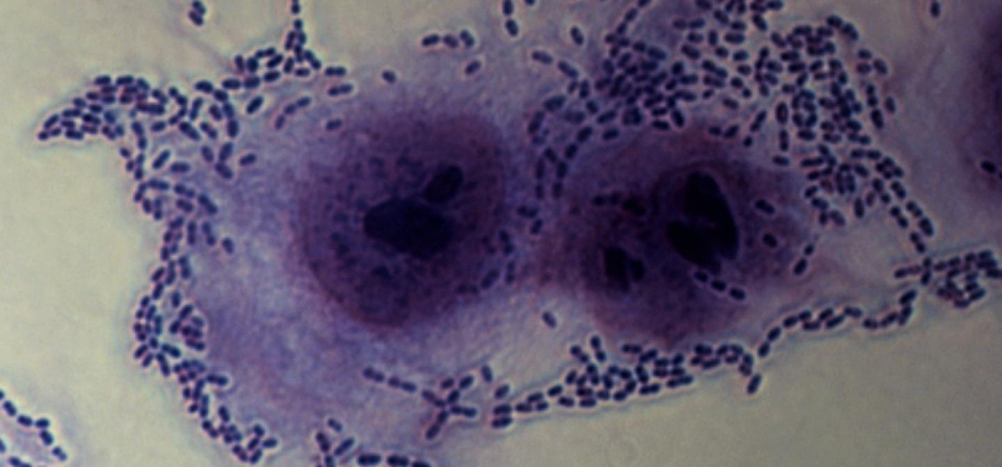
The vapour from e-cigarettes seems to help pneumonia-causing bacteria stick to the cells that line the airways, according to research published in the European Respiratory Journal [1] .

The study included experiments with cells, mice and humans. It showed that e-cigarette vapour had an effect similar to the reported effects of traditional cigarette smoke or particulate matter from fossil-fuel pollution, both of which are known to increase susceptibility to lung infection with pneumococcal bacteria.

Lead researcher, Jonathan Grigg, Professor of Paediatric Respiratory and Environmental Medicine at Queen Mary University of London, said the study indicates that vaping, especially in the long term, could raise the risk of bacterial lung infection.

He explained: "Pneumococcal bacteria can exist in our airways without causing illness. However, in some cases, they can invade the lining cells causing pneumonia or septicaemia. We know that exposure to traditional cigarette smoke helps these bacteria stick to airway lining cells, increasing the risk of infection. We wanted to see whether or not e-cigarettes might have the same effect."

The research examined the effects of e-cigarette vapour on a molecule produced by the cells that line the airways, called platelet-activating factor receptor (PAFR). Previous research by Professor Grigg's group has shown that pneumococcal bacteria use PAFR to help them stick to airway cells, which in turn increases the ability of bacteria to invade body tissues and cause disease. Research has also shown that PAFR levels increase in response to smoking, passive smoking, pollution and welding fumes.

Professor Grigg and his team began by looking at human nose lining cells in the lab. They exposed some cells to e-cigarette vapour, some containing nicotine and some without, while other cells were not exposed. Cells exposed to either nicotine-containing or nicotine-free vapour produced levels of PAFR that were three times higher. When researchers introduced pneumococcal bacteria to these cells, they found that exposure to either nicotine-containing or nicotine-free vapour doubled the amount of bacteria that stuck to airway cells.

Aras Kadioglu, Professor of Bacterial Pathogenesis at the University of Liverpool, and his team then tested the effect of e-cigarette vapour in mice. They found that inhaled exposure to e-cigarette vapour also increased levels of PAFR on airway lining cells and increased the number of pneumococcal bacteria in the respiratory tract after infection, making mice more susceptible to disease.

Finally, the team studied PAFR levels in cells lining the nose of 17 people. Of these, ten were regular users of nicotine-containing e-cigarettes, one used nicotine-free e-cigarettes, and six were not vapers. First, PAFR levels in the airways of all 17 volunteers were measured. Then, vapers were asked to take at least ten puffs on their e-cigarettes over five minutes. One hour after vaping, PAFR levels on airway cells increased three-fold.

Professor Grigg added: "Together, these results suggest that vaping makes the airways more vulnerable to bacteria sticking to airway lining cells. If this occurs when a vaper gets exposed to the pneumococcal bacterium, this could increase the risk of infection.

"Some people may be vaping because they think it is totally safe, or in an attempt to quit smoking, but this study adds to growing evidence that inhaling vapour has the potential to cause adverse health effects. By contrast, other aids to quitting such as patches or gum do not result in airway cells being exposed to high concentrations of potentially toxic compounds."

Professor Grigg and his team hope to continue to study vaping and infections in humans and to look at the effects of using newly launched 'heat-not-burn' e-cigarettes.

Professor Mina Gaga is President of the European Respiratory Society, and Medical Director and Head of the Respiratory Department of Athens Chest Hospital. She said: "E-cigarettes are still very new and we don't have enough evidence on how they affect the human body. Studies like this one give us early warning of what the risks might be. The adverse effects of tobacco smoking are not evident immediately, they usually develop after years of exposure, so we need to do more research and follow users over time to see what the long-term health effects may be."

###

European Respiratory Journal

10.1183/13993003.01592-2017

Keywords

Article Information

Contact Information

How to Cite This Article

APA:
European Respiratory Society. (2018, February 7). Research suggests vapers are vulnerable to pneumonia. Brightsurf News. https://www.brightsurf.com/news/LVWQ9W58/research-suggests-vapers-are-vulnerable-to-pneumonia.html
MLA:
"Research suggests vapers are vulnerable to pneumonia." Brightsurf News, Feb. 7 2018, https://www.brightsurf.com/news/LVWQ9W58/research-suggests-vapers-are-vulnerable-to-pneumonia.html.