Bluesky Facebook Reddit Email

Sepsis: Cell therapy to repair muscle long-term impairment

12.15.15 | Institut Pasteur

Kestrel 3000 Pocket Weather Meter

Kestrel 3000 Pocket Weather Meter measures wind, temperature, and humidity in real time for site assessments, aviation checks, and safety briefings.


This news release is available in French .

Scientists from the Institut Pasteur, Paris Descartes University, Sainte-Anne Hospital and the CNRS have recently published a paper in Nature Communications in which they reveal mayor players in the severe muscle damage caused by sepsis, or septicemia, which explains why many patients suffer debilitating muscle impairment long-term after recovery. They propose a therapeutic approach based on mesenchymal stem cell transplantation, which has produced encouraging results and has proved successful in restoring muscle capacity in animals.

Sepsis is an inflammatory response by the entire body to severe infection. This disease, although poorly known by the general public, is actually quite common, affecting some 28 million people and claiming 8 million victims worldwide each year. In France, sepsis-related mortality stands at 27%, and for the more severe syndrome, septic shock, it can reach 50%. This rate is falling, however, as a result of progress in medicine, especially in intensive care - but surviving patients can suffer from severe impairment, particularly at neurological and muscular level, which can be highly debilitating and can prevent survivors from leading a normal active life in the long term. Estimations suggest that the number of cases of sepsis will double over the next fifty years, due in large part to population aging. Research into new therapeutic possibilities is therefore of major importance for public health.

To help shed further light on the significant loss of muscle capacity observed in patients, scientists from the Institut Pasteur's Human Histopathology and Animal Models Unit, directed by Prof. Fabrice Chrétien , working together with the research group led by Miria Ricchetti in the Stem Cells and Development Unit (Institut Pasteur/CNRS), investigated the consequences of sepsis on muscle stem cells - known as satellite cells - which develop into muscles, particularly in the limbs. They observed a drastic fall in the mitochondrial mass of these stem cells in mice. Mitochondria are organelles which serve as the cell's "powerhouse": they produce the energy-rich ATP molecules which are required for all chemical reactions. The scientists demonstrated that following sepsis, the few remaining mitochondria provide satellite cells with just enough energy for their basic survival, but not enough for dividing and differentiating into muscle cells when required for muscle growth, repair and maintenance. This damage, which occurs at an early stage and has a long-term impact, prevents the organism from fully restoring muscle function, hence the persistent muscle impairment observed in patients.

This research led the scientists to explore the possibility of using mesenchymal stem cell transplantation as a potential avenue for therapy. Mesenchymal stem cells can be easily cultured in the laboratory and are known for their immunomodulatory properties, which makes them an excellent option for cell therapy transplants that aim to repair degenerative or traumatic lesions. Using a mouse model, Fabrice Chrétien and his team demonstrated that an intramuscular mesenchymal stem cell transplant carried out after septic shock resulted in a drop in the level of overall inflammation and related symptoms: fever, atony (loss of muscle tone), circulation of cytokines, inflammatory molecules, etc. A histological analysis performed after the transplant showed that the mesenchymal stem cells provided support for the damaged satellite cells without actually replacing them. The mesenchymal stem cells were then eliminated by the organism, with the transplant having successfully repaired the mitochondrial dysfunction and fully restored the metabolic and division capability of the satellite cells.

After these encouraging results, the scientists hope to be able to continue their investigation in humans. The first stage of their research, which should confirm whether the same tissue damage is observed in human patients, is due to begin shortly.

###

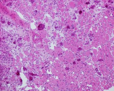
Image: muscle tissue after sepsis. Muscle fibers are shown in pink. The lighter spaces between the fibers indicate defects in muscle regeneration. © Institut Pasteur

Find out more

Read the sepsis fact sheet: http://www.pasteur.fr/en/institut-pasteur/press/fact-sheets/sepsis-septicemia

The website of TRIGGERSEP, a network of scientists, clinicians, statisticians and experts in the field of sepsis: http://www.fcrin.org/en/support-tools/triggersep-sepsis

Source

Sepsis induces long-term metabolic and mitochondrial muscle stem cell dysfunction amenable by mesenchymal stem cell therapy, Nature Communications , December 15th, 2015.

P. Rocheteau †(1), L. Chatre †(2,3), D. Briand (1), M. Mebarki (1), G. Jouvion (1), J. Bardon (1), C. Crochemore (2,3), P. Serrani (1), P. P. Lecci (1), M. Latil (1), B. Matot (4,5), P. G. Carlier (4,5), N. Latronico (6), C. Huchet (7), A. Lafoux (7), T. Sharshar (1,8,9,10), M. Ricchetti (2,3) and F. Chrétien* (1,10,11,12)

† These authors contributed equally to this study.

(1) Institut Pasteur Human Histopathology and Animal Models Unit, Infection and Epidemiology Department, Paris, France

(2) Institut Pasteur, Stem Cells and Development, Dept. of Developmental and Stem Cell Biology, Paris, France

(3) CNRS UMR 3525, Team Stability of Nuclear and Mitochondrial DNA

(4) Institute of Myology, NMR Laboratory, Paris France

(5) CEA, I2BM, MIRCen, NMR Laboratory, Paris, France

(6) Anesthesia and reanimation department, Department of surgery, University of Brescia, Italy

(7) INSERM UMR1087/ CNRS UMR6291, Thorax Institute, Therassay, University of Nantes, Faculty of Science and Technology, Nantes, F44322, France

(8) Medical and surgical intensive care unit, Raymond Poincaré Hospital, Garches, France

(9) Versailles Saint Quentin University, France

(10) TRIGGERSEP, F-CRIN Network, France

(11) Neuropathology laboratory, Sainte-Anne Hospital, Paris, France

(12) Paris Descartes University, Sorbonne Paris Cité, Paris France

Nature Communications

Keywords

Article Information

Contact Information

Source

How to Cite This Article

APA:
Institut Pasteur. (2015, December 15). Sepsis: Cell therapy to repair muscle long-term impairment. Brightsurf News. https://www.brightsurf.com/news/12V3W4O1/sepsis-cell-therapy-to-repair-muscle-long-term-impairment.html
MLA:
"Sepsis: Cell therapy to repair muscle long-term impairment." Brightsurf News, Dec. 15 2015, https://www.brightsurf.com/news/12V3W4O1/sepsis-cell-therapy-to-repair-muscle-long-term-impairment.html.