Bluesky Facebook Reddit Email

Study reveals new role for Hippo pathway in suppressing cancer immunity

12.01.16 | University of California - San Diego

Kestrel 3000 Pocket Weather Meter

Kestrel 3000 Pocket Weather Meter measures wind, temperature, and humidity in real time for site assessments, aviation checks, and safety briefings.


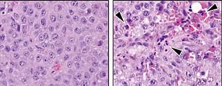
Previous studies identified the Hippo pathway kinases LATS1/2 as a tumor suppressor, but new research led by University of California San Diego School of Medicine scientists reveals a surprising role for these enzymes in subduing cancer immunity. The findings, published in Cell on December 1, could have a clinical role in improving efficiency of immunotherapy drugs.

"Before our study, no one knew that the Hippo pathway was regulating immunogenicity," said first author Toshiro Moroishi, MD, PhD, postdoctoral researcher at UC San Diego Moores Cancer Center. "LATS1/2 deletion in cancer cells improves tumor immunogenicity, leading to the destruction of cancerous cells by enhancing anti-tumor immune responses."

Hippo pathway signaling regulates organ size by moderating cell growth, apoptosis and stem cell renewal, but dysregulation contributes to cancer development. In vitro studies of Hippo pathway kinases LATS1/2 showed that the loss of these enzymes promoted cell proliferation and tumor survival. In vivo research using immune-compromised mouse models also supports a tumor suppressor function of the Hippo pathway.

However, when Moroishi and team deleted LATS1/2 from mouse cancer cells and examined tumor growth in models with healthy immune systems researchers found that immunogenicity -- the ability to stimulate an immune response -- improved, destroying cancer cells. Researchers caution that immune systems of mouse models are different from the human immune system so the response might be different and further studies are needed.

If the outcome proves to be the same, using a LATS1/2 inhibitor alone or in combination with an immune checkpoint inhibitor may stimulate the immune system of patients that previously did not respond to immunotherapy treatments.

Currently, most immunotherapy research focuses on targeting the immune system, but the new findings reveal that tumor cells may also be vulnerable to inhibitors.

"Inhibiting LATS1/2 could be an attractive approach to treat cancer," said Kun-Liang Guan, PhD, Distinguished Professor of Pharmacology at Moores Cancer Center and senior author of the study. "LATS is an ideal target because there are many kinase inhibitors that have been successfully developed as cancer drugs."

###

This study focused on breast cancer, melanoma and squamous cell carcinoma but the same could be applied to other cancers, said Moroishi.

Study co-authors include: Tomoko Hayashi, Yu Fujita, Dennis A. Carson, UC San Diego; Wei-Wei Pan, UC San Diego and Jiaxing University; Matthew V. Holt, and Jun Qin, Baylor College of Medicine.

Disclosure: Kun-Liang Guan is co-founder of Vivace Therapeutics and holds equity interest.

Cell

10.1016/j.cell.2016.11.005

Keywords

Article Information

Contact Information

Yadira Galindo
University of California - San Diego
ygalindo@ucsd.edu

How to Cite This Article

APA:
University of California - San Diego. (2016, December 1). Study reveals new role for Hippo pathway in suppressing cancer immunity. Brightsurf News. https://www.brightsurf.com/news/12VK4JY1/study-reveals-new-role-for-hippo-pathway-in-suppressing-cancer-immunity.html
MLA:
"Study reveals new role for Hippo pathway in suppressing cancer immunity." Brightsurf News, Dec. 1 2016, https://www.brightsurf.com/news/12VK4JY1/study-reveals-new-role-for-hippo-pathway-in-suppressing-cancer-immunity.html.