Bluesky Facebook Reddit Email

Developmental protein plays role in spread of cancer

06.14.13 | University of California - San Diego

SAMSUNG T9 Portable SSD 2TB

SAMSUNG T9 Portable SSD 2TB transfers large imagery and model outputs quickly between field laptops, lab workstations, and secure archives.


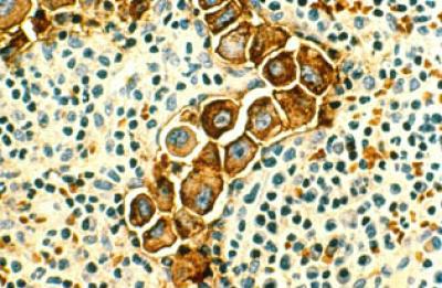
A protein used by embryo cells during early development, and recently found in many different types of cancer, apparently serves as a switch regulating the spread of cancer, known as metastasis, report researchers at the University of California, San Diego School of Medicine and UC San Diego Moores Cancer Center in the June 15, 2013 issue of the journal Cancer Research .

Metastasis is responsible for 90 percent of cancer-related deaths. More than 575,000 Americans die of cancer each year, the second leading cause of death in the United States after cardiovascular disease.

The scientists, led by principal investigator Thomas Kipps, MD, PhD, Evelyn and Edwin Tasch Chair in Cancer Research at UC San Diego, discovered an association between the protein, called Receptor-tyrosine-kinase-like Orphan Receptor 1 or ROR1, and the epithelial-mesenchymal transition (EMT), a process that occurs during embryogenesis when cells migrate and then grow into new organs during early development.

In research published in 2012, Kipps and colleagues reported for the first time that ROR1 is expressed during embryogenesis and by many different types of cancers, but not by normal post-partum tissues. They also discovered that silencing the protein impaired the growth and survival of human breast cancer cells.

In their latest work, the scientists found that high-level expression of ROR1 in breast cancer cells correlates to higher rates of relapse and metastasis in patients with breast adenocarcinoma, a type of cancer that originates in glandular tissue. Conversely, silencing expression of ROR1 reverses EMT and inhibits the metastatic spread of breast cancer cells in animal models. Moreover, the researchers found that treatment with a monoclonal antibody targeting ROR1 also could inhibit the growth and spread of highly metastatic tumors that express ROR1.

"We might think of ROR1 as an oncogene," said study co-author Bing Cui, PhD, a postdoctoral fellow in Kipps' lab. "This means ROR1 has some tumor initiation functions. However, ROR1 also appears to allow transformed cells to invade other tissues and to promote tumor expansion in both the primary tumor site and in distant organs."

Because ROR1 is expressed only in cancer cells, Kipps' team says it presents a singular, selective target for anti-cancer therapies that would leave normal cells unaffected. It's not yet clear how the monoclonal antibody approach, tested thus far only in culture and animal models, impacts primary tumors, said Cui, but it does offer promise for inhibiting the spread of cancer. The researchers are developing a humanized monoclonal antibody for potential clinical studies in patients with cancers that express ROR1.

Co-authors are Suping Zhang, Liguang Chen, Jianqiang Yu, George F. Widhopf II, Jessie F. Fecteau and Laura Z. Rassenti, all of UC San Diego Moores Cancer Center and the Department of Medicine, UCSD.

Funding for this research came, in part, from the National Institutes of Health (grant PO1-CA081534), the California Institute of Regenerative Medicine and the Blood Cancer Research Fund, UC San Diego Foundation.

Cancer Research

Keywords

Article Information

Contact Information

Scott LaFee
University of California - San Diego
slafee@ucsd.edu

How to Cite This Article

APA:
University of California - San Diego. (2013, June 14). Developmental protein plays role in spread of cancer. Brightsurf News. https://www.brightsurf.com/news/14GM7QNL/developmental-protein-plays-role-in-spread-of-cancer.html
MLA:
"Developmental protein plays role in spread of cancer." Brightsurf News, Jun. 14 2013, https://www.brightsurf.com/news/14GM7QNL/developmental-protein-plays-role-in-spread-of-cancer.html.