Bluesky Facebook Reddit Email

Study discovers link between celiac disease risk and a noncoding RNA

03.31.16 | Columbia University Irving Medical Center

SAMSUNG T9 Portable SSD 2TB

SAMSUNG T9 Portable SSD 2TB transfers large imagery and model outputs quickly between field laptops, lab workstations, and secure archives.


NEW YORK, NY (April 1, 2016) -- Researchers have identified a common variant in a non-coding RNA that may contribute to the intestinal inflammation that occurs in people with celiac disease. The findings point to a possible new risk factor for developing celiac disease in people with celiac disease risk genes.

The study was reported today in Science .

Celiac disease is an autoimmune digestive disorder in which genetically predisposed individuals develop an immune response to gluten, a protein found in cereal grains, wheat, rye, and barley. An estimated 40 percent of the population has the primary gene variant associated with celiac disease, but only 1 percent of people with these genes go on to develop intestinal inflammation and damage -- the hallmarks of the disease -- after ingesting gluten.

"We don't know why only a fraction of individuals with genetic risk factors for celiac disease actually become gluten intolerant," said Peter Green, MD, the Phyllis and Ivan Seidenberg Professor of Medicine at Columbia University Medical Center (CUMC), Director of the Celiac Disease Center at Columbia University and co-author on the study. "It is only through the dedicated work of translational scientists that we can begin to uncover the mechanisms that unleash the symptoms of celiac disease."

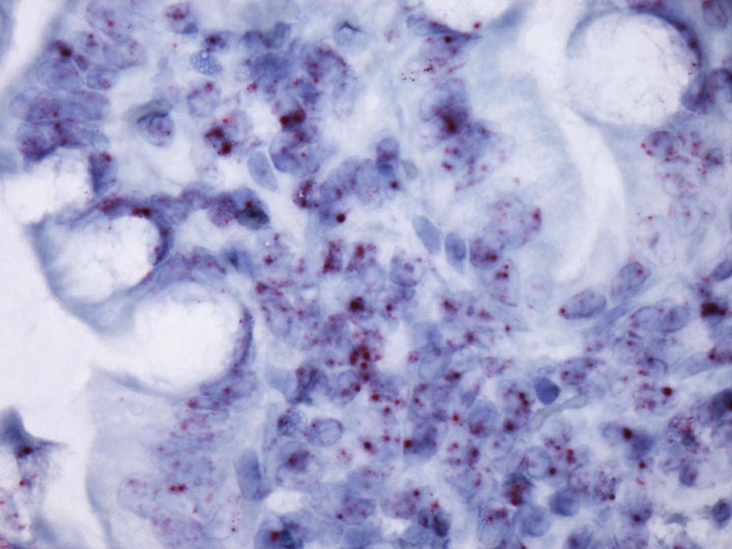
Recently, researchers have focused on the ability of noncoding RNA, the portion of our genome that does not encode for the production of proteins, to regulate a variety of biological processes. Long noncoding RNA (lncRNA), which contains more than 200 nucleotides, are thought to play a role in autoimmune diseases and cancers by interacting with other RNA, DNA, and proteins. However, it was not clear whether changes in lncRNA genes could put people at risk of developing complex diseases in the same way that changes in protein-coding genes do.

Through a variety of experiments, the researchers demonstrated that lnc13 dampens the expression of celiac-associated genes by binding to a common family of proteins. The celiac-associated variant of lnc13 binds poorly to these proteins, leading to increased expression of inflammatory genes. The researchers then discovered that patients with celiac disease had unusually low levels of lnc13 in their intestines, suggesting that downregulation of this gene may contribute to the inflammation seen in celiac disease.

"These findings add an important detail to our understanding about how celiac disease develops," said Sankar Ghosh, PhD, the Silverstein and Hutt Family Professor of Microbiology and Immunology, Chairman of the Department of Microbiology and Immunology at CUMC, lead author of the paper. "Given that the majority of the population consumes these grains, understanding the factors that put certain individuals at greater risk for the development of celiac disease will have a broad impact. In future studies, we hope to investigate factors that lead to suppression of lnc13, which may cause celiac disease in people who were previously able to tolerate gluten."

###

This study was supported by grants from the National Institutes of Health (RO1-GM067005, R37-AI33443, RO1-AI093985, and R01-DK102180), the Basque government (Spain), the Basque Department of Health (2011111034) and the Spanish Instituto de Salud Carlos III (PI10/00310).

The Celiac Disease Center at Columbia University Medical Center provides comprehensive medical care for adults and pediatric patients with celiac disease, including nutrition and attention to the multiple associated conditions that occur in celiac disease. The Center is involved in the care of thousands of patients with celiac disease and gluten sensitivity, providing better access to proper testing, diagnosis, treatment and follow-up care. Additional information is available online at celiacdiseasecenter.columbia.edu .

Columbia University Medical Center provides international leadership in basic, preclinical, and clinical research; medical and health sciences education; and patient care. The medical center trains future leaders and includes the dedicated work of many physicians, scientists, public health professionals, dentists, and nurses at the College of Physicians and Surgeons, the Mailman School of Public Health, the College of Dental Medicine, the School of Nursing, the biomedical departments of the Graduate School of Arts and Sciences, and allied research centers and institutions. Columbia University Medical Center is home to the largest medical research enterprise in New York City and State and one of the largest faculty medical practices in the Northeast. For more information, visit cumc.columbia.edu or columbiadoctors.org .

NOTE: VIDEO will be available soon before embargo. Please contact lucky.tran@columbia.edu

Science

Keywords

Article Information

Contact Information

Lucky Tran
Columbia University Irving Medical Center
lt2549@columbia.edu

How to Cite This Article

APA:
Columbia University Irving Medical Center. (2016, March 31). Study discovers link between celiac disease risk and a noncoding RNA. Brightsurf News. https://www.brightsurf.com/news/1EKQ2071/study-discovers-link-between-celiac-disease-risk-and-a-noncoding-rna.html
MLA:
"Study discovers link between celiac disease risk and a noncoding RNA." Brightsurf News, Mar. 31 2016, https://www.brightsurf.com/news/1EKQ2071/study-discovers-link-between-celiac-disease-risk-and-a-noncoding-rna.html.