Bluesky Facebook Reddit Email

Protect against aging and age-related disease with the MondoA protein

03.07.22 | Osaka University

Davis Instruments Vantage Pro2 Weather Station

Davis Instruments Vantage Pro2 Weather Station offers research-grade local weather data for networked stations, campuses, and community observatories.


Osaka, Japan – A step toward discovering the fountain of youth could involve protecting against the inevitable accumulation of “senescent” cells associated with aging and age-related diseases. Now, researchers from Japan have identified the Mondo A protein as key to protecting against the accumulation of senescent cells.

In a study published this month in Cell Reports , researchers led by Osaka University have shown that MondoA delays cellular senescence, and therefore promotes longevity, by activating autophagy. Autophagy is a process whereby cells undergo controlled breakdown and recycling of their components, which is important for maintaining stable conditions in the cellular environment and for enabling adaptation to stress. Activation of autophagy by MondoA partly involves suppressing a protein called Rubicon, which is a negative regulator of autophagy. Rubicon can increase with aging in various tissues and model organisms, which can cause the decline in autophagy seen with aging.

Furthermore, MondoA is also essential to maintaining stable conditions of parts of the cell called mitochondria, which are responsible for energy production. MondoA does this by regulating another molecule, Prdx3, which is involved in mitochondrial turnover. Mitochondria are constantly fusing and dividing, which is important for maintaining their health. Prdx3 is part of the process by which autophagy occurs in mitochondria, preventing senescence. The research team led by Osaka University concluded that MondoA plays a key role in the regulation of Prdx3 and therefore in maintaining mitochondrial stability.

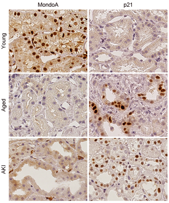
Particularly dense accumulation of senescent cells has been observed in the kidney. The researchers therefore looked at ischemic acute kidney injury (AKI) in mice. “Mice with ischemic AKI and reduced levels of MondoA showed increased senescence,” explains lead author Hitomi Yamamoto-Imoto. “We also found that decreased MondoA in the nucleus correlated with human aging and ischemic AKI. MondoA therefore counteracts cellular senescence in aging and ischemic AKI in both mice and humans.”

Drugs that eliminate senescent cells, called senolytics, are currently being considered as treatment for age-associated diseases. However, senescent cells play important roles, and their complete removal may have considerable side effects. “Our work shows that the transcriptional activation of MondoA can protect against cellular senescence, kidney injury associated with aging, and organismal aging,” explains senior author Tamotsu Yoshimori. “Activation of MondoA and therefore autophagy could be a potentially safe therapeutic strategy.” This work could well open new and safer avenues for the treatment of aging and age-related diseases.

###

The article, “Age-associated decline of MondoA drives cellular senescence through impaired autophagy and mitochondrial homeostasis,” was published in Cell Reports at DOI: https://doi.org/10.1016/j.celrep.2022.110444

About Osaka University

Osaka University was founded in 1931 as one of the seven imperial universities of Japan and is now one of Japan's leading comprehensive universities with a broad disciplinary spectrum. This strength is coupled with a singular drive for innovation that extends throughout the scientific process, from fundamental research to the creation of applied technology with positive economic impacts. Its commitment to innovation has been recognized in Japan and around the world, being named Japan's most innovative university in 2015 (Reuters 2015 Top 100) and one of the most innovative institutions in the world in 2017 (Innovative Universities and the Nature Index Innovation 2017). Now, Osaka University is leveraging its role as a Designated National University Corporation selected by the Ministry of Education, Culture, Sports, Science and Technology to contribute to innovation for human welfare, sustainable development of society, and social transformation.

Website: https://resou.osaka-u.ac.jp/en

Cell Reports

10.1016/j.celrep.2022.110444

News article

Cells

Age-associated decline of MondoA drives cellular senescence through impaired autophagy and mitochondrial homeostasis

1-Mar-2022

Keywords

Article Information

Contact Information

Saori Obayashi
Osaka University
gi-strategy@cgin.osaka-u.ac.jp

Source

How to Cite This Article

APA:
Osaka University. (2022, March 7). Protect against aging and age-related disease with the MondoA protein. Brightsurf News. https://www.brightsurf.com/news/1GR3R3R8/protect-against-aging-and-age-related-disease-with-the-mondoa-protein.html
MLA:
"Protect against aging and age-related disease with the MondoA protein." Brightsurf News, Mar. 7 2022, https://www.brightsurf.com/news/1GR3R3R8/protect-against-aging-and-age-related-disease-with-the-mondoa-protein.html.