Bluesky Facebook Reddit Email

Computer‐aided diagnosis improves breast ultrasound expertise in multicenter study

05.24.23 | American Roentgen Ray Society

SAMSUNG T9 Portable SSD 2TB

SAMSUNG T9 Portable SSD 2TB transfers large imagery and model outputs quickly between field laptops, lab workstations, and secure archives.


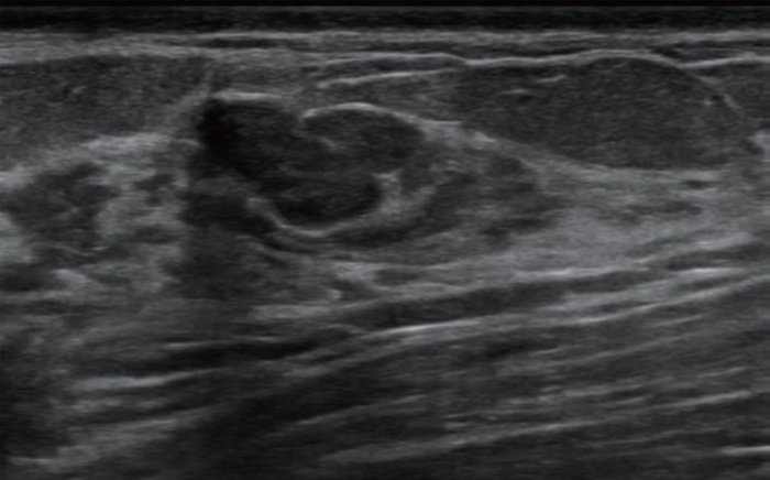
Leesburg, VA, May 17, 2023 According to an accepted manuscript published in ARRS’ own American Journal of Roentgenology ( AJR ) , deep learning–based computer-aided diagnosis (CAD) for breast lesion classification on ultrasound significantly improved radiologists’ diagnostic performance—particularly for reducing the frequency of benign breast biopsies.

Compared with the literature supporting CAD at tertiary and/or urban centers, results from this prospective multicenter study of radiologists without breast ultrasound expertise “support CAD in settings with incomplete access to breast imaging expertise,” wrote corresponding author Li-Gang Cui , MD, from Peking University Third Hospital in Beijing, China.

Cui et al.’s AJR study included patients scheduled to undergo biopsy or surgical resection of a breast lesion, classified as BI-RADS category 3-5 on prior breast ultrasound, at eight Chinese secondary or rural hospitals from November 2021 to September 2022. Patients underwent an additional investigational breast ultrasound, both performed and interpreted by a radiologist with no expertise in the modality. Hybrid body-breast imagers—radiologists lacking breast subspecialty training or in whom breast ultrasound accounted for less than 10% of their ultrasounds performed annually—then assigned a BI-RADS category. CAD results were used to upgrade reader-assigned BI-RADS category 3 lesions to category 4A, as well as for downgrading BI-RADS 4A lesions to 3. Histologic results of biopsy or resection served as the researchers’ reference standard.

Ultimately, application of CAD to interpretations by radiologists without breast ultrasound expertise resulted in upgrade of 6.0% (6/100) of BI-RADS category 3 assessments to category 4A, of which 16.7% (1/6) were malignant, and downgrade of 79.1% (87/110) of category 4A assessments to category 3, of which 4.6% (4/87) were malignant.

Because institutions lacking breast imaging expertise may also suffer from capacity issues to perform image-guided breast biopsies and pathologic evaluation of biopsy specimens, decreasing benign biopsies care of CAD “would be impactful,” the authors of this AJR accepted manuscript added .

North America’s first radiological society, the American Roentgen Ray Society (ARRS) remains dedicated to the advancement of medicine through the profession of medical imaging and its allied sciences. An international forum for progress in radiology since the discovery of the x-ray, ARRS maintains its mission of improving health through a community committed to advancing knowledge and skills with the world’s longest continuously published radiology journal— American Journal of Roentgenology —the ARRS Annual Meeting, InPractice magazine, topical symposia, myriad multimedia educational materials, as well as awarding scholarships via The Roentgen Fund ®.

American Journal of Roentgenology

10.2214/AJR.23.29328

Imaging analysis

People

Deep Learning–Based Computer‑Aided Diagnosis for Breast Lesion Classification on Ultrasound: A Prospective Multicenter Study of Radiologists Without Breast Ultrasound Expertise

24-May-2023

Keywords

Article Information

Contact Information

Logan Young
American Roentgen Ray Society
lyoung@arrs.org

Source

How to Cite This Article

APA:
American Roentgen Ray Society. (2023, May 24). Computer‐aided diagnosis improves breast ultrasound expertise in multicenter study. Brightsurf News. https://www.brightsurf.com/news/1GRZMVW8/computeraided-diagnosis-improves-breast-ultrasound-expertise-in-multicenter-study.html
MLA:
"Computer‐aided diagnosis improves breast ultrasound expertise in multicenter study." Brightsurf News, May. 24 2023, https://www.brightsurf.com/news/1GRZMVW8/computeraided-diagnosis-improves-breast-ultrasound-expertise-in-multicenter-study.html.