Bluesky Facebook Reddit Email

Pediatric coronavirus disease (COVID-19) x-ray, CT in review of new lung disorders

05.08.20 | American Roentgen Ray Society

AmScope B120C-5M Compound Microscope

AmScope B120C-5M Compound Microscope supports teaching labs and QA checks with LED illumination, mechanical stage, and included 5MP camera.


Leesburg, VA, May 8, 2020--Although the clinical symptoms of new pediatric lung disorders such as severe acute respiratory syndrome (SARS), swine-origin influenza A (H1N1), Middle East respiratory syndrome (MERS), e-cigarette or vaping product use-associated lung injury (EVALI), and coronavirus disease (COVID-19) pneumonia may be nonspecific, some characteristic imaging findings "have emerged or are currently emerging," according to an open-access article in the American Journal of Roentgenology (AJR).

"Although there are some overlapping imaging features of these disorders," wrote first author Alexandra M. Foust of Boston Children's Hospital and Harvard Medical School, "careful evaluation of the distribution, lung zone preference, and symmetry of the abnormalities with an eye for a few unique differentiating imaging features, such as the halo sign seen in COVID-19 and subpleural sparing and the atoll sign seen in EVALI, can allow the radiologist to offer a narrower differential diagnosis in pediatric patients, leading to optimal patient care."

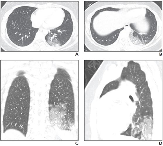
At most institutions, whereas the first imaging study performed in patients with clinically suspected COVID-19 is chest radiography, Foust and colleagues' review of the clinical literature found that studies on chest radiography findings in patients with COVID-19 were relatively scarce.

Regarding the limited studies of pediatric patients with COVID-19, Foust et al. noted chest radiography "may show normal findings; patchy bilateral ground-glass opacity (GGO), consolidation, or both; peripheral and lower lung zone predominance."

Similarly, while the literature describing chest CT findings in patients with COVID-19 are more robust than those describing chest radiography findings, only a few articles have reported CT findings of COVID-19 in children.

A study of 20 pediatric patients with COVID-19 reported that the most frequently observed abnormalities on CT were subpleural lesions (100% of patients), unilateral (30%) or bilateral (50%) pulmonary lesions, GGO (60%), and consolidation with a rim of GGO surrounding it, also known as the halo sign (50%).

The authors of this AJR article also pointed to a smaller study of five pediatric patients with COVID-19, where investigators reported modest patchy GGO, one with peripheral subpleural involvement, in three patients that resolved on follow-up CT examination.

###

Founded in 1900, the American Roentgen Ray Society (ARRS) is the first and oldest radiological society in North America, dedicated to the advancement of medicine through the profession of radiology and its allied sciences. An international forum for progress in medical imaging since the discovery of the x-ray, ARRS maintains its mission of improving health through a community committed to advancing knowledge and skills with an annual scientific meeting, monthly publication of the peer-reviewed American Journal of Roentgenology (AJR), quarterly issues of InPractice magazine, AJR Live Webinars and Podcasts, topical symposia, print and online educational materials, as well as awarding scholarships via The Roentgen Fund®.

American Journal of Roentgenology

10.2214/AJR.20.23267

Keywords

Article Information

Contact Information

Logan Young
lyoung@arrs.org

Source

How to Cite This Article

APA:
American Roentgen Ray Society. (2020, May 8). Pediatric coronavirus disease (COVID-19) x-ray, CT in review of new lung disorders. Brightsurf News. https://www.brightsurf.com/news/1WRY7D2L/pediatric-coronavirus-disease-covid-19-x-ray-ct-in-review-of-new-lung-disorders.html
MLA:
"Pediatric coronavirus disease (COVID-19) x-ray, CT in review of new lung disorders." Brightsurf News, May. 8 2020, https://www.brightsurf.com/news/1WRY7D2L/pediatric-coronavirus-disease-covid-19-x-ray-ct-in-review-of-new-lung-disorders.html.