Bluesky Facebook Reddit Email

Early recognition and surgical management key in necrotizing fasciitis of the head and neck

01.29.26 | Impact Journals LLC

Garmin GPSMAP 67i with inReach

Garmin GPSMAP 67i with inReach provides rugged GNSS navigation, satellite messaging, and SOS for backcountry geology and climate field teams.


“Necrotizing fasciitis (NF) of the head and neck is a rare but rapidly progressive and life-threatening soft tissue infection that constitutes a true surgical emergency.”

BUFFALO, NY — January 29, 2026 — A new research perspective was published in Volume 12 of Oncoscience on December 23, 2025, titled “ Necrotizing fasciitis of the head and neck – clinical features, diagnostics, and management strategies .”

Led by first author Anna Aydin, together with corresponding author Florian Dudde from the Army Hospital Hamburg , this expert perspective outlines key insights into the diagnosis and treatment of necrotizing fasciitis (NF) in the head and neck. It emphasizes the urgent need for early recognition, immediate surgery, and coordinated care to reduce the high mortality associated with this rare but fast-spreading infection. These recommendations are especially relevant for patients with cancer, diabetes, or weakened immune systems.

Necrotizing fasciitis is a soft tissue infection that spreads rapidly and can cause severe illness or death within hours. Although it typically affects the limbs or abdomen, cases involving the head and neck are rare but especially dangerous due to their proximity to the airway and other vital structures. The perspective warns that early symptoms such as pain, swelling, and fever can be mild or misleading, which often leads to delays in diagnosis and treatment. In cancer patients, for example, symptoms may be mistaken for tumor-related changes or side effects of therapy.

A narrative review of the available literature was conducted and complemented by clinical experience from a tertiary referral center.”

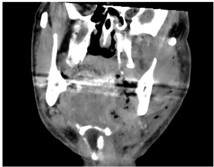
The authors highlight that contrast-enhanced CT scans are the most effective imaging tool for early diagnosis, as they help identify deep tissue damage and gas formation. Laboratory tools like the LRINEC score, often used to assess infection severity, are less reliable in head and neck cases and should not delay surgical action. The perspective reinforces that early and aggressive surgical removal of infected tissue, combined with broad-spectrum antibiotics and airway protection, is essential. Many patients require multiple surgeries and intensive care during the early stages of treatment.

The role of hyperbaric oxygen therapy (HBOT) is also discussed. This treatment delivers high-pressure oxygen to fight infection and promote healing. While some studies suggest that HBOT may lower mortality and reduce the number of surgeries in certain patients, particularly those with anaerobic infections, the evidence is limited and inconsistent. Access to HBOT is also restricted to specialized centers, and delays in transfer may reduce its potential benefits.

Despite medical advances, death rates for cervicofacial NF remain between 10% and 30%. Survivors often face long-term complications, including disfigurement, difficulty speaking or eating, and psychological distress. The authors call for more targeted research, especially for cancer patients, who may not present with typical symptoms.

This expert perspective encourages clinicians to act quickly when NF is suspected and highlights the need for better diagnostic tools and treatment strategies. Raising awareness among oncologists, surgeons, and emergency care providers is essential to improve outcomes in this dangerous but often overlooked condition.

DOI: https://doi.org/10.18632/oncoscience.639

Correspondence to: Florian Dudde – floriandudde@gmx.de

Keywords: cancer, oncology, necrotizing fasciitis, cervicofacial infection, surgical emergency, debridement, airway management

Click here to sign up for free Altmetric alerts about this article.

About Oncoscience :

Oncoscience is a peer-reviewed, open-access, traditional journal covering the rapidly growing field of cancer research, especially emergent topics not currently covered by other journals. This journal has a special mission: freeing oncology from publication costs. It is free to readers and authors.

Oncoscience is indexed and archived by PubMed, PubMed Central, Scopus, META (Chan Zuckerberg Initiative) (2018-2022), and Dimensions (Digital Science).

To learn more about Oncoscience , visit Oncoscience.us and connect with us on social media:

For media inquiries, please contact media@impactjournals.com .

Oncoscience

10.18632/oncoscience.639

News article

Not applicable

Necrotizing fasciitis of the head and neck – clinical features, diagnostics, and management strategies

23-Dec-2025

Authors have no conflicts of interest to declare.

Keywords

Article Information

Contact Information

Ryan Braithwaite
Impact Journals LLC
media@impactjournals.com

Source

How to Cite This Article

APA:
Impact Journals LLC. (2026, January 29). Early recognition and surgical management key in necrotizing fasciitis of the head and neck. Brightsurf News. https://www.brightsurf.com/news/1ZZGOER1/early-recognition-and-surgical-management-key-in-necrotizing-fasciitis-of-the-head-and-neck.html
MLA:
"Early recognition and surgical management key in necrotizing fasciitis of the head and neck." Brightsurf News, Jan. 29 2026, https://www.brightsurf.com/news/1ZZGOER1/early-recognition-and-surgical-management-key-in-necrotizing-fasciitis-of-the-head-and-neck.html.