Bluesky Facebook Reddit Email

Delivery of antioxidants to liver mitochondria

05.10.23 | Hokkaido University

Apple Watch Series 11 (GPS, 46mm)

Apple Watch Series 11 (GPS, 46mm) tracks health metrics and safety alerts during long observing sessions, fieldwork, and remote expeditions.


A new drug delivery system delivers an antioxidant directly to mitochondria in the liver, mitigating the effects of oxidative stress.

Mitochondria are microscopic organelles found within cells, and are well-known as the “powerhouse of the cell.” They are by far the largest producer of the molecule adenosine triphosphate (ATP), which provides energy to many processes in living cells. The process by which mitochondria synthesize ATP generates a large amount of reactive oxygen species (ROS), chemical groups that are highly reactive.

In a healthy cell, the ROS are controlled by the mitochondria; however, when this balance is lost, the excess ROS damages the mitochondria and subsequently cells and tissues. This phenomenon, known as oxidative stress, can cause premature aging and disease. The ROS that cause oxidative stress can be controlled by antioxidants.

A research team led by Professor Yuma Yamada, Distinguished Professor Hideyoshi Harashima and Assistant Professor Mitsue Hibino at Hokkaido University have developed a system to deliver antioxidants to mitochondria to mitigate the effects of excess ROS. Their findings were published in Scientific Reports .

“We previously developed a drug delivery system which we named CoQ 10 -MITO-Porter,” explained Hibino. “This system consists of the antioxidant molecule Coenzyme Q 10 (CoQ 10 )—which is also required by mitochondria for ATP production—encapsulated by a lipid nanoparticle that would target mitochondria. In this study, we aimed to test if this system could work in living organisms.”

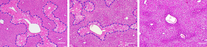
Variations of the formula for the synthesis of CoQ 10 -MITO-Porter were tested, and their structures were examined with electron microscopy. CoQ 10 -MITO-Porter was administered to mice models with acetaminophen-induced liver damage. Acetaminophen overdoses cause excess ROS in mitochondria, which in turn damages cells in the liver. CoQ 10 -MITO-Porter was transported primarily to the liver and measurably reduced the damage caused by ROS. A further discovery was that downsized CoQ 10 -MITO-Porter particles with more efficient packaging of CoQ 10 were more effective at treating liver damage than the original formulation.

“Our study has shown that the MITO-Porter system we developed can be used to deliver CoQ 10 to the liver, making it an important therapeutic strategy against conditions that cause oxidative stress,” concluded Yamada. “Our future work will focus on elucidating the mechanism responsible for the therapeutic effect of CoQ 10 .”

Scientific Reports

10.1038/s41598-023-33893-7

Experimental study

Animals

A System that Delivers an Antioxidant to Mitochondria for the treatment of Drug-Induced Liver Injury

10-May-2023

Keywords

Article Information

Contact Information

Sohail Keegan Pinto
Hokkaido University
en-press@general.hokudai.ac.jp

Source

How to Cite This Article

APA:
Hokkaido University. (2023, May 10). Delivery of antioxidants to liver mitochondria. Brightsurf News. https://www.brightsurf.com/news/80E4RVX8/delivery-of-antioxidants-to-liver-mitochondria.html
MLA:
"Delivery of antioxidants to liver mitochondria." Brightsurf News, May. 10 2023, https://www.brightsurf.com/news/80E4RVX8/delivery-of-antioxidants-to-liver-mitochondria.html.