Bluesky Facebook Reddit Email

Marathon bombing victims aided by rapid response, imaging of injuries

08.19.13 | Wiley

Apple MacBook Pro 14-inch (M4 Pro)

Apple MacBook Pro 14-inch (M4 Pro) powers local ML workloads, large datasets, and multi-display analysis for field and lab teams.


The Boston Marathon bombing brought international attention back to the devastating effects of terrorism. There were numerous victims with severe injuries that needed immediate attention. A novel study in Arthritis Care & Researc h, a journal published by Wiley on behalf of the American College of Rheumatology (ACR), presents cases from Boston-area hospitals where victims were treated, examining the medical response and imaging technologies used to save lives and limbs.

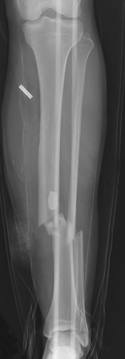
On April 15, 2013, at approximately 2:49 p.m. two pressure-cooker bombs exploded one after the other at the Boston Marathon finish line. As a result of the bombings, there were three fatalities and 264 casualties, with the most severe injuries involving lower extremities of those located closest to the blasts. Shrapnel disbursed by the bombs included pieces of metal, nails and ball bearings. Injuries resulting from the Marathon bombing are relevant to the fields of rheumatology, rehabilitation, orthopedics and musculoskeletal imaging.

"In an era of terrorism, even clinicians serving non-military patients need to understand the spectrum of injuries caused by bomb explosions," explains lead author Dr. Ali Guermazi, Professor of Radiology at Boston University School of Medicine and one of the many specialists treating bombing victims at Boston Medical Center. "Critically ill bomb-blast patients needed quick assessments of their injuries, which had the most devastating effects to the lower limbs."

According to the Centers for Disease Control and Prevention (CDC), bombing survivors have the highest incidence of injury to soft tissue and musculoskeletal systems with the most extreme injury being traumatic amputation, which is reported in up to 3% of cases. The CDC defines primary blast injuries as those caused by the blast wave—extremely compressed air moving away from the explosion—that can damage the lungs, bowel and ears. As the wave moves from the site of the explosion it creates a vacuum, which pulls materials and debris back toward the source of the bomb blast—the refilling of this void is known as the blast wind.

Victims from the Boston Marathon bombing were subject to blast waves and blast wind resulting in soft tissue damage (1), limb fractures (1), and amputations. The study demonstrates the systematic need to exam each extremity for musculoskeletal, neurological and vascular damage. In accordance with previous evidence, radiography (X-ray) and computed tomography (CT-scan) should be used liberally to detect foreign objects, to define basic penetration patterns, and assess bony and soft tissue injuries.

Dr. Guermazi concludes, "While blast injuries within civilian populations are rare in the U.S., when they do occur it challenges the medical community to rapidly respond to concurrent evaluation and treatment of many victims. We suggest that in urgent situations, like the Boston Marathon bombing, radiology resources be used liberally to save the lives and limbs of patients."

(1) Photos available upon request.

This study is published in Arthritis Care & Researc h. Media wishing to receive a PDF of this article may contact sciencenewsroom@wiley.com .

Full citation: "Imaging of Blast Injuries to the Lower Extremities Sustained in The Boston Marathon Bombing." Ali Guermazi, Daichi Hayashi, Stacy E. Smith, William Palmer and Jeffrey N. Katz. Arthritis Care and Research ; Published Online: August 19, 2013 (DOI: 10.1002/acr.22113).

URL Upon Publication: http://doi.wiley.com/10.1002/acr.22113

Author Contact: To arrange an interview with Dr. Guermazi, please contact Maria Pantages Ober with Boston University School of Medicine and Boston Medical Center at maria.ober@bmc.org .

About the Journal

Arthritis Care & Researc h is an official journal of the American College of Rheumatology (ACR), and the Association of Rheumatology Health Professionals (ARHP), a division of the College. Arthritis Care & Researc h is a peer-reviewed journal that publishes both original research and review articles that promote excellence in the clinical practice of rheumatology. Relevant to the care of individuals with arthritis and related disorders, major topics are evidence-based practice studies, clinical problems, practice guidelines, health care economics, health care policy, educational, social, and public health issues, and future trends in rheumatology practice. The journal is published by Wiley on behalf of the ACR. For more information, please visit the journal home page at http://wileyonlinelibrary.com/journal/acr .

About Wiley

Wiley is a global provider of content-enabled solutions that improve outcomes in research, education, and professional practice. Our core businesses produce scientific, technical, medical, and scholarly journals, reference works, books, database services, and advertising; professional books, subscription products, certification and training services and online applications; and education content and services including integrated online teaching and learning resources for undergraduate and graduate students and lifelong learners.

Founded in 1807, John Wiley & Sons, Inc. (NYSE: JWa, JWb), has been a valued source of information and understanding for more than 200 years, helping people around the world meet their needs and fulfill their aspirations. Wiley and its acquired companies have published the works of more than 450 Nobel laureates in all categories: Literature, Economics, Physiology or Medicine, Physics, Chemistry, and Peace. Wiley's global headquarters are located in Hoboken, New Jersey, with operations in the U.S., Europe, Asia, Canada, and Australia. The Company's website can be accessed at http://www.wiley.com .

Arthritis Care & Research

Keywords

Article Information

Contact Information

How to Cite This Article

APA:
Wiley. (2013, August 19). Marathon bombing victims aided by rapid response, imaging of injuries. Brightsurf News. https://www.brightsurf.com/news/8XGZOXO1/marathon-bombing-victims-aided-by-rapid-response-imaging-of-injuries.html
MLA:
"Marathon bombing victims aided by rapid response, imaging of injuries." Brightsurf News, Aug. 19 2013, https://www.brightsurf.com/news/8XGZOXO1/marathon-bombing-victims-aided-by-rapid-response-imaging-of-injuries.html.