Bluesky Facebook Reddit Email

Researchers uncover novel amyloidosis

01.23.23 | Tokyo University of Agriculture and Technology

SAMSUNG T9 Portable SSD 2TB

SAMSUNG T9 Portable SSD 2TB transfers large imagery and model outputs quickly between field laptops, lab workstations, and secure archives.


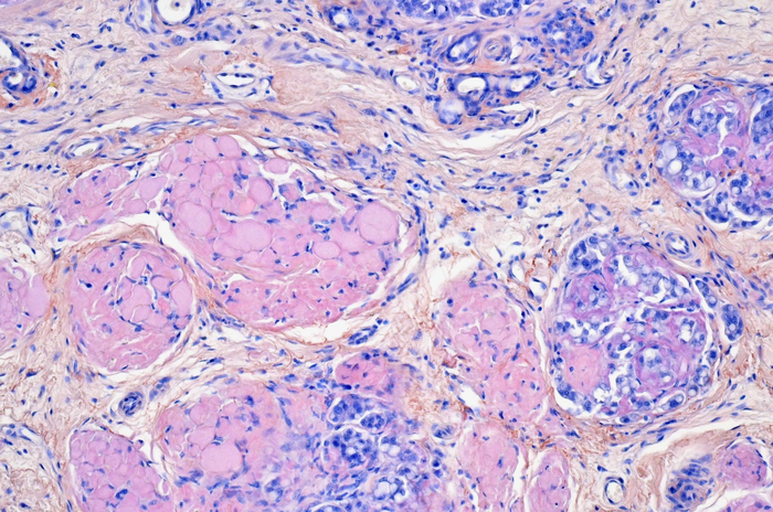
A collaboration led by scientists at Tokyo University of Agriculture and Technology (TUAT), Japan, has discovered a novel amyloid protein from canine mammary tumors. This amyloid protein, α-S1 casein, normally plays a vital role in the transport of calcium phosphate as a milk protein that provides infant nutrition, but its involvement in disease was unknown. In this study, they have shown for the first time that α-S1 casein can cause amyloidosis in vivo and clarified the detailed mechanism of amyloid formation.

The researchers published their results on Jan 21st in Veterinary Pathology .

Amyloidosis is a disease group in which amyloid, generated by misfolding of host proteins, deposits in several organs. To control the onset and progression of amyloidosis, it is necessary to understand the overall picture of the complex pathogenesis of the disease. However, an integrated understanding has not been established, and the development of definitive treatments has stalled.

"Amyloidosis associated with canine mammary tumors was first reported in Jul 1985, but the amyloid precursor protein was unknown. Since I was born in July 1985 and am the same age, I had a sense of familiarity with this disease," said Tomoaki Murakami, DVM, PhD, the first and corresponding author on the paper and Associate Professor in Laboratory of Veterinary Toxicology at TUAT. They first performed mass spectrometry-based proteomic analysis on five dogs with mammary tumor-associated amyloidosis and identified α-S1-casein as an amyloid precursor protein. "This discovery was a surprise because the amyloidogenicity of α-S1 casein has been unknown, and it was rather thought that its chaperone function regulated amyloid formation of other milk proteins, such as α-S2 casein and κ-casein."

Gene analysis revealed that expression of α-S1 casein was elevated dozens of times in individuals with amyloidosis than in those without amyloidosis. By further analysis using mass spectrometry, they noticed that N-terminal disordered region was lost in α-S1-casein in amyloid deposits. "These results clearly support that α-S1 casein acquires its amyloid-forming ability through overexpression and truncation of the N-terminal disordered region," said Murakami. They next cultured recombinant proteins of N-terminal-truncated α-S1-casein in vitro and found their amyloid formation.

"Since α-S1-casein is also expressed in the mammary glands of humans, we felt it was necessary to assess the risk in humans," said Murakami. They therefore confirmed that synthetic peptides derived from human α-S1-casein form amyloid in vitro and found that α-S1-casein-induced amyloidosis can occur in humans.

"Research on animal diseases is essential not only for maintaining the health of livestock and pets, but also for gaining a deeper understanding of human pathology. In this study, we discovered amyloidosis in dogs, which has not yet been discovered in humans, and also clarified the potential risk of the disease in humans based on in vitro experiments. We expect that our findings will provide useful information for predicting the possible occurrence of amyloidosis in humans," Murakami added.

###

For information about the Murakami laboratory, please visit http://web.tuat.ac.jp/~tatlvt/indexeng.html

About Tokyo University of Agriculture and Technology (TUAT):

TUAT is a distinguished university in Japan dedicated to science and technology. TUAT focuses on agriculture and engineering that form the foundation of industry, and promotes education and research fields that incorporate them. Boasting a history of over 140 years since our founding in 1874, TUAT continues to boldly take on new challenges and steadily promote fields. With high ethics, TUAT fulfills social responsibility in the capacity of transmitting science and technology information towards the construction of a sustainable society where both human beings and nature can thrive in a symbiotic relationship. For more information, please visit http://www.tuat.ac.jp/en/ .

Original Publication:

Identification of novel amyloidosis in dogs: α-S1-casein acquires amyloidogenicity in mammary tumor by overexpression and N-terminal truncation
Tomoaki Murakami, Toshisuke Kaku, Kaori Tsukakoshi, Susumu Iwaide, Yoshiyuki Itoh, Miki Hisada, Kohji Nomura, Rikako Kubo, Kazunori Ikebukuro, Yukiko Sassa-O’Brien, Fuyuki Kametani
Veterinary Pathology, 2023,
https://doi.org/10.1177/03009858221148511

Contact:

Tomoaki Murakami, DVM, PhD.
Associate Professor,
Laboratory of Veterinary Toxicology, Cooperative Department of Veterinary Medicine, TUAT, Japan
E-mail: mrkmt@cc.tuat.ac.jp

Veterinary Pathology

10.1177/03009858221148511

Identification of novel amyloidosis in dogs: α-S1-casein acquires amyloidogenicity in mammary tumor by overexpression and N-terminal truncation

21-Jan-2023

Keywords

Article Information

Contact Information

Ken-ichiro Saitoh
Tokyo University of Agriculture and Technology
ken-is@cc.tuat.ac.jp

Source

How to Cite This Article

APA:
Tokyo University of Agriculture and Technology. (2023, January 23). Researchers uncover novel amyloidosis. Brightsurf News. https://www.brightsurf.com/news/8Y4K2GYL/researchers-uncover-novel-amyloidosis.html
MLA:
"Researchers uncover novel amyloidosis." Brightsurf News, Jan. 23 2023, https://www.brightsurf.com/news/8Y4K2GYL/researchers-uncover-novel-amyloidosis.html.