Bluesky Facebook Reddit Email

How to identify inflammatory demyelinating pseudotumor in the spinal cord?

11.03.13 | Neural Regeneration Research

AmScope B120C-5M Compound Microscope

AmScope B120C-5M Compound Microscope supports teaching labs and QA checks with LED illumination, mechanical stage, and included 5MP camera.


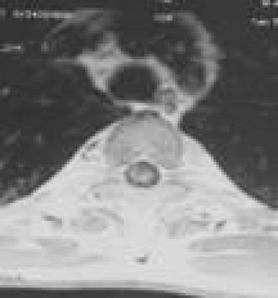
Inflammatory demyelinating pseudotumor usually occurs in the brain and rarely occurs in the spinal cord. On imaging, inflammatory demyelinating pseudotumor appears very similar to intramedullary tumors such as gliomas. It is often misdiagnosed as intramedullary tumor and surgically resected. In view of this, the clinical and magnetic resonance imaging manifestations and the pathological features of 36 cases of inflammatory demyelinating pseudotumor in the spinal cord were retrospectively analyzed and summarized by Ying Wang and colleagues from Department of Neurology, Yantai Shan Hospital, China. They found that tumor-like inflammatory demyelinating disease in the spinal cord is a kind of special demyelinating disease that can be categorized as inflammatory pseudotumor. These solitary lesions are easily confused with intramedullary neoplasms. Patchy or non-closed reinforcement (open-ring sign) on magnetic resonance imaging is the predominant property of inflammatory demyelinating pseudotumor, and inflammatory cell infiltration and demyelination are additional pathological properties. This study, published in the Neural Regeneration Research (Vol. 8, No. 26, 2013), summarizes the clinical and imaging properties of inflammatory demyelinating pseudotumor in the spinal cord, aiming to decrease the misdiagnosis rate in the clinic and improve patients' quality of life.

Article: " Imaging and clinical properties of inflammatory demyelinating pseudotumor in the spinal cord," by Ying Wang, Min Wang, Hui Liang, Quntao Yu, Zhihui Yan, Min Kong (Department of Neurology, Yantai Shan Hospital, Yantai 264000, Shandong Province, China)

Wang Y, Wang M, Liang H, Yu QT, Yan ZH, Kong M. Imaging and clinical properties of inflammatory demyelinating pseudotumor in the spinal cord. Neural Regen Res. 2013;8(26):2484-2494.

Contact: Meng Zhao
eic@nrren.org
86-138-049-98773
Neural Regeneration Research
http://www.nrronline.org/

Full text: http://www.sjzsyj.org/CN/article/downloadArticleFile.do?attachType=PDF&id=722

Neural Regeneration Research

Keywords

Article Information

Contact Information

Meng Zhao
eic@nrren.org

How to Cite This Article

APA:
Neural Regeneration Research. (2013, November 3). How to identify inflammatory demyelinating pseudotumor in the spinal cord?. Brightsurf News. https://www.brightsurf.com/news/L76MRRN1/how-to-identify-inflammatory-demyelinating-pseudotumor-in-the-spinal-cord.html
MLA:
"How to identify inflammatory demyelinating pseudotumor in the spinal cord?." Brightsurf News, Nov. 3 2013, https://www.brightsurf.com/news/L76MRRN1/how-to-identify-inflammatory-demyelinating-pseudotumor-in-the-spinal-cord.html.