Bluesky Facebook Reddit Email

Dual-energy CT metrics for differentiating adrenal adenomas

12.01.22 | American Roentgen Ray Society

Apple Watch Series 11 (GPS, 46mm)

Apple Watch Series 11 (GPS, 46mm) tracks health metrics and safety alerts during long observing sessions, fieldwork, and remote expeditions.


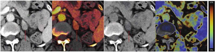
Leesburg, VA, December 1, 2022 According to an open-access Editor’s Choice accepted manuscript published in ARRS’ American Journal of Roentgenology ( AJR ) , for adrenal lesions evaluated by single-phase dual-energy CT (DECT), fat fraction had higher sensitivity than virtual noncontrast attenuation at both the clinically optimal threshold and at the traditional ≤10 HU threshold.

“DECT-based three-material decomposition algorithms can help definitively characterize adrenal lesions detected on routine abdominal imaging as adenomas, thereby reducing downstream follow-up testing,” wrote first author Anne-Sophie T. Loonis , MD from Brigham and Women’s Hospital in Boston, MA.

In this AJR accepted manuscript , 128 patients (82 women, 46 men; mean age, 64 years) who underwent portal-venous phase abdominopelvic CT between January 2016 and December 2019 showed a total of 139 adrenal lesions with a reference standard based on imaging, clinical, and pathologic records: 87 adenomas, 52 nonadenomas (48 metastases, 2 adrenal cortical carcinomas, 1 ganglioneuroma, 1 hematoma). Two radiologists located ROIs to determine virtual noncontrast attenuation, fat fraction, iodine density normalized to portal vein, and relative enhancement ratio—for masses with virtual noncontrast attenuation >10 HU.

Ultimately, for adrenal masses assessed by single-phase portal-venous phase DECT, when maintaining 100% specificity, sensitivity for adenoma was significantly higher for fat fraction [59% (95% CI: 48-69%)] than for virtual noncontrast attenuation at clinically optimal threshold [39% (95% CI: 29-50%)] or at traditional ≤10 HU threshold [28% (95% CI:19-38%)].

“The use of DECT-derived metrics to definitively diagnose incidental adrenal lesions as adenomas could help avoid the costs, radiation exposure, contrast media exposure, and patient anxiety associated with downstream imaging that may otherwise be performed for further lesion characterization,” the authors of this AJR accepted manuscript clarified .

An electronic supplement to this AJR accepted manuscript is available here .

North America’s first radiological society, the American Roentgen Ray Society (ARRS) remains dedicated to the advancement of medicine through the profession of medical imaging and its allied sciences. An international forum for progress in radiology since the discovery of the x-ray, ARRS maintains its mission of improving health through a community committed to advancing knowledge and skills with the world’s longest continuously published radiology journal— American Journal of Roentgenology —the ARRS Annual Meeting, InPractice magazine, topical symposia, myriad multimedia educational materials, as well as awarding scholarships via The Roentgen Fund ®.

MEDIA CONTACT :

Logan K. Young, PIO

44211 Slatestone Court

Leesburg, VA 20176

703-858-4332

lyoung@arrs.org

American Journal of Roentgenology

10.2214/AJR.22.28323

Imaging analysis

People

Dual Energy–Derived Metrics for Differentiating Adrenal Adenomas From Nonadenomas on Single-Phase Contrast-Enhanced CT

23-Nov-2022

Keywords

Article Information

Contact Information

Logan Young
American Roentgen Ray Society
lyoung@arrs.org

Source

How to Cite This Article

APA:
American Roentgen Ray Society. (2022, December 1). Dual-energy CT metrics for differentiating adrenal adenomas. Brightsurf News. https://www.brightsurf.com/news/L7V7EN08/dual-energy-ct-metrics-for-differentiating-adrenal-adenomas.html
MLA:
"Dual-energy CT metrics for differentiating adrenal adenomas." Brightsurf News, Dec. 1 2022, https://www.brightsurf.com/news/L7V7EN08/dual-energy-ct-metrics-for-differentiating-adrenal-adenomas.html.