Bluesky Facebook Reddit Email

Fighting COVID-19 with a cancer drug

07.03.24 | University of California - San Diego

Celestron NexStar 8SE Computerized Telescope

Celestron NexStar 8SE Computerized Telescope combines portable Schmidt-Cassegrain optics with GoTo pointing for outreach nights and field campaigns.


Twelve years ago, cancer researchers at University of California San Diego identified a molecule that helps cancer cells survive by shuttling damaging inflammatory cells into tumor tissue. In new research, they show that the same molecule does the same thing in lung tissue infected with COVID-19 — and that the molecule can be suppressed with a repurposed cancer drug. The work, published in Science Translational Medicine , represents a new approach to preventing irreversible organ damage in infectious diseases like COVID-19 and methicillin-resistant Staphylococcus aureus (MRSA).

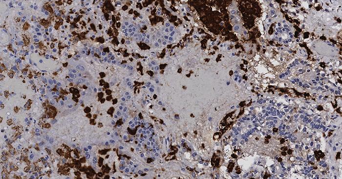
The two key players in this scenario are inflammatory cells called myeloid cells, and an enzyme called PI3K gamma (phosphatidylinositol 3,4,5-kinase gamma). Myeloid cells belong to our innate immune system — the immunity we’re born with before we’re exposed to pathogens in the environment — and work very quickly to kill deadly agents like SARS-CoV-2, the virus that causes COVID-19.

PI3K gamma promotes the movement of myeloid cells into cancerous tissues, as found in the team’s work with cancer twelve years ago. In the current work, they show that PI3K gamma also helps move myeloid cells into tissues infected with SARS-CoV-2. The scientists further reasoned that a cancer drug that inhibits PI3K gamma, called eganelisib, might be effective in suppressing inflammation in COVID-19 by suppressing PI3K gamma’s ability to move myeloid cells into infected tissue.

“Our work shows that drugs that can prevent the recruitment of damaging myeloid cells into tissues that are infected with severe agents like COVID-19 or MRSA have a significant benefit in preserving tissue function if given early enough in an infection,” says Judith Varner, Ph.D., professor in the Departments of Pathology and Medicine at UC San Diego School of Medicine, co-leader of the Solid Tumor Therapeutics program at UC San Diego Moores Cancer Center, and the study’s senior author.

Most other COVID-19 drugs target the virus, either preventing infection in the first place or preventing the virus from making more of itself after infection. The current approach targets the host, keeping the immune system from overreacting or fibers building up in the lungs.

Myeloid cells protect us, but they can also do a lot of damage, says Varner. “If you have a little infection, myeloid cells come in, kill bacteria, release alerts that recruit even more potent killer immune cells, and produce substances that can heal the damage. But if you get an infection that's too strong, you get overproduction of these alert signals, and the substances they release to kill these infective agents can also kill yourself. That's what happens in COVID-19.”

PI3K gamma promotes the movement of myeloid cells into cancerous tissues, as found in the team’s work with cancer twelve years ago. In the current work, they show that PI3K gamma also helps move myeloid cells into tissues infected with SARS-CoV-2. That led them to reason that a cancer drug that inhibits PI3K gamma, called eganelisib, might be effective in suppressing inflammation in COVID-19 by suppressing PI3K gamma’s ability to move myeloid cells into infected tissue.

Using a combination of bulk RNA sequencing and bioinformatics, the scientists analyzed tissues from humans and mice to see how SARS-CoV-2 changed the cellular and molecular makeup of infected tissues. They then treated the tissue with eganelisib to see if suppressing PI3K gamma made a difference. “We sequenced COVID-19 patient lung tissue and showed that when patients have COVID-19, a lot of their lung cells are killed and there's a huge increase in myeloid cells. We also found the same thing in infected mice,” said Varner. “When we treated with the drug, we showed that eganelisib prevents entry of myeloid cells into tissue so they can’t do all that damage. Further studies will determine if it can actually reverse damage.” The team also had the same results in mice infected with MRSA.

No similar approach has yet been approved for clinical use. “Other drugs were tested early during the COVID-19 crisis for similar effects, with only modest success. Our work is significant because this is the first time this particular approach of targeting the myeloid cells specifically has been shown to be effective in COVID,” said Varner.

The FDA fast-tracked eganelisib for development in 2020, but it has not yet been approved by the FDA. Varner hopes that publication of this work will inspire drug manufacturers to consider making other PI3Kgamma inhibitors to treat infectious diseases like COVID-19 and MRSA. but she’s also collaborating with the infectious disease experts who worked on this paper. “We hope that this research will help us obtain funding to continue investigating this approach in other disease settings,” she said.

This study was supported by National Institutes of Health grants (R01CA226909, R01CA167426, and R01DE027325 to J.A.V. and R01CA226909 subaward to L.C.M. and R01AI176554 to V.N.); the California Office of the President Emergency COVID-19 Research Seed Funding (R00RG2398 to J.A.V.); the Cowlin Family Foundation (to S.P.P.); Fast Grants, Emergent Ventures, Mercatus Center at George Mason University (to A.J.M.); and Cancer Research Institute/Irvington postdoctoral fellowships (to J.Z. and A.G.). This work was also supported by NIH UL1TR001442 and NIH S10 OD026929 to the UCSD Center for Computational Biology & Bioinformatics Shared Resource and Genomics Center), by NIH P30CA23100 to UCSD Moores Comprehensive Cancer Center, and Department of Health and Human Services Contract HHSN272201700041I/75N93021F00002 to J.D.M.

Co-authors include: Ryan M. Shepard, Anghesom Ghebremedhin, Jingjing Hu, Roman Sasik, Kathleen M. Fisch, Hui Chen, Marc Paradise, Jason Rivera, Mohammad Amjad, Satoshi Uchiyama, Hideya Seo, Soumita Das, Farnaz Hasteh, Hana Russo, Xin Sun, Le Xu, Laura Crotty E.Alexander, Jason M. Duran, Mazen Odish, Victor Pretorius, Alejandro D. Campos, Shao-ming Chin, Tami Von Schalscha, David Cheresh, Sandip P. Patel, and Victor Nizet of the University of California San Diego; Isaraphorn Pratumchai, Jaroslav Zak, and John R. Teijaro of Scripps Research Institute; Sally R. Robinson, Denise Ann Dayao, Saul Tzipori, Cesar Piedra-Mora, and Amanda J. Martinot of Tufts University; Courtney Betts, Nell C. Kirchberger, and Lisa M. Coussens of Oregon Health & Science University; John D. Morrey of Utah State University; Rossitza Alargova, Brenda O’Connell, and Theodore A. Martinot of Infinity Pharmaceuticals.

# # #

Science Translational Medicine

10.1126/scitranslmed.adi6887

R.A., B.O.’C., and T.A.M. were employees of and J.A.V. and A.J.M. were consultants for Infinity Pharmaceuticals. D.A.C. and J.A.V. are shareholders in Impact Biosciences and AlphaBeta Therapeutics. L.C.A. is a consultant for Regeneron. V.N. is a consultant for Cellics Therapeutics, I2 Pure Inc., Clarametyx BioTherapeutics, Iogen Inc., Staurus Therapeutics, and Aequor Inc. and received research funding from Micronbrane Inc. and Vaxcyte Inc. A.J.M. was a consultant for HistoWiz Inc. C.B. is currently an employee of, and holds equity in, Akoya Biosciences Inc.

Keywords

Article Information

Contact Information

Miles Martin
University of California - San Diego
milesmartin@ucsd.edu

How to Cite This Article

APA:
University of California - San Diego. (2024, July 3). Fighting COVID-19 with a cancer drug. Brightsurf News. https://www.brightsurf.com/news/L7VOZYN8/fighting-covid-19-with-a-cancer-drug.html
MLA:
"Fighting COVID-19 with a cancer drug." Brightsurf News, Jul. 3 2024, https://www.brightsurf.com/news/L7VOZYN8/fighting-covid-19-with-a-cancer-drug.html.